식도 협착과 다발성 내분비종 1형을 동반한 졸링거-엘리슨 증후군 1예

A case of Zollinger-Ellison syndrome with MEN-1

Article information

Korean J Med. 2010;79(3):289-294
Publication date (electronic) : 2010 September 1
1Departments of Internal Medicine, University of Ulsan College of Medicine, Gangneung Asan Hospital, Gangneung, Korea
2Departments of General Surgery, University of Ulsan College of Medicine, Gangneung Asan Hospital, Gangneung, Korea
공윤호1, 김영돈1, 한군희1, 이세형1, 정우진1, 장혁재2, 천갑진1
1울산대학교 의과대학 강릉아산병원 내과학교실
2울산대학교 의과대학 강릉아산병원 일반외과학교실
Correspondence to Gab Jin Cheon, M.D.,   Department of Internal Medicine, Ulsan University College of Medicine, 415 Bangdong-ri, Sacheon-myeon, Gangneung 210-711,   Korea E-mail: gi@gnah.co.kr
Received 2009 July 29; Revised 2009 August 27; Accepted 2009 September 25.

Abstract

56세 남자가 내원 2주 전부터 시작된 상복부 통증, 구토 그리고 설사를 주로로 내원하였으며 상부위장관 내시경 검사에서 역류성 식도염과 십이지장의 다발성 궤양을 보이고, 공복 혈청 가스트린 수치가 1,263 pg/mL 이상으로 정상의 10배 이상으로 상승되어 있어 Zollinger-Ellison 증후군으로 진단하였다. 복부 전산화단층촬영과 SRS를 통해 종양의 위치 파악을 하고 수술적 절제를 하였으며, 부갑상선종이 동반되어 다발성내분비종 1형으로 진단하였다. 이후 PPI로 치료하였으나 식도 협착 소견이 반복되어 풍선확장술 및 식도 도관 삽입을 시행한 1예를 경험하여 보고한다.

Trans Abstract

Zollinger-Ellison syndrome (ZES) is a clinical syndrome caused by excessive gastric acid secretion by gastrinoma, characteristically causing peptic disease and/or gastroesophageal reflux disease. Approximately one third of patients with gastrinoma have multiple endocrine neoplasia type 1 (MEN-1). A 56-year-old man was admitted for abdominal pain and diarrhea lasting for 2 weeks. The endoscopic findings revealed severe reflux esophagitis and multiple ulcers at the bulb and second portion of the duodenum. He was diagnosed as ZES based on typical clinical features such as markedly elevated fasting gastrin level (≥1,263 pg/mL) and findings from a CT scan and somatostatin receptor scan. Pathologic findings after the operation revealed malignant gastrinoma. He was confirmed to have parathyroid adenoma and MEN-1. Despite antisecretory therapy with proton pump inhibitors, an esophageal stricture developed, and we performed esophageal balloon dilatation and stent insertion. (Korean J Med 79:289-294, 2010)

서 론

Zollinger-Ellison 증후군은 가스트린을 분비하는 종양에 의한 과도한 위산 분비와 이로 인한 소화성 궤양과 역류성 식도 질환 등을 특징으로 하는 질환이다. 가장 흔한 임상증상은 소화성 궤양에 의한 복통으로 환자의 90% 이상에서 발생하며, 이외에 역류성 식도염 증상과 설사가 동반된다. 그리고 역류성 식도염의 약 8~10% 정도에서 협착을 동반한다1). 그러나 Zollinger-Ellison 증후군 환자에서의 위산 과다분비는 양성자펌프억제제(proton pump inhibitors, PPI)의 사용으로, 정기적으로 약물을 복용할 수 없거나 복용하지 않는 경우를 제외하고 급성과 장기적 관점에서 거의 모든 환자에서 조절할 수 있으며2), 또한 다발성 내분비종 1형을 동반한 가스트린종 환자에서는 부갑상선항진증의 수술적 교정으로 공복 혈중 가스트린을 낮추고 투여되는 위산 억제제의 민감도를 높여 내과적 치료를 수월하게 할 수 있다3).

저자들은 가스트린종과 부갑상선 선종의 수술적 제거 후 고용량의 PPI 치료에도 불구하고 재발되는 식도 협착을 보이는 다발성 내분비종 1형을 동반한 가스트린종 1예를 경험하여 문헌고찰과 함께 보고한다.

증 례

56세 남자 환자가 내원 2주 전부터 발병된 상복부 통증과 구토, 하루에 10여 차례의 수양성 설사로 이에 대한 치료받았으나 증상이 지속되어 응급실에 내원하였다. 내원 7년 전부터 상복부 통증과 설사 증상으로 인근 개인의원에서 간헐적으로 약물을 복용하였고, 3년 전 위와 같은 증상으로 본원에 내원하여 시행한 상부위장관 내시경검사에서 십이지장 궤양으로 진단받아 약물 치료를 받은 적이 있었으며, 1년 전 다른 병원에서 식도 협착으로 인해 식도확장술을 시행받은 적이 있었다. 30년 동안 매일 소주 2병씩 마셨으며 최근 3년전부터 금주하였다고 한다.

내원 당시 혈압은 136/90 mmHg, 맥박수 90회/분, 호흡수 20회/분, 체온은 36.1℃였다. 이학적 검사에서 상복부에 약간의 압통이 있었으나, 그 외 특이소견은 관찰되지 않았다. 일반혈액검사에서 백혈구 11,500/mm3, 혈색소 15.3 g/dL, 혈소판 315,000/mm3이었다. 생화학적 검사에서 크레아티닌 1.3 mg/dL, 총 단백 8.0 g/dL, 알부민 4.3 g/dL, AST 15 IU/L, ALT 9 IU/L, 알카리성 포스파타제 272 IU/L, 총 빌리루빈 0.6 mg/dL, 나트륨 142 mEq/L, 칼륨 3.1 mE/L, 칼슘 10.5 mg/dL, 인 2.0 mg/dL, 아밀라제 169 U/L, 리파제 47 U/L이었다. 상부 위장관 내시경 검사에서 하부 식도에 백태로 덮여 있는 종주형의 다발성궤양들과 이로 인한 협착이 관찰되었으며, 십이지장에 다발성 미란들과 궤양들이 동반되었다(그림 1).

Figure 1.

Esophagogastroduodenoscopy. (A) The esophagus. There are multiple exudative ulcer and swelling at lower esophagus. (B) The duodenum. Multiple erosion and ulcer on bulb and 2nd portion of duodenum.

장기간의 설사를 동반한 복통, 재발성의 소화성 궤양 및 식도 협착 등을 근거로 가스트린종에 대한 확진을 위하여 시행한 공복시 혈중 가스트린은 1,263 pg/mL으로(정상치 90 pg/mL) 증가되어 있었고, 복부 전산화단층촬영에서 십이지장 제2부와 췌장 두부의 경계부 그리고 췌장 미부에 각각 1.4 cm와 0.8 cm의 결절들이 관찰되었다(그림 2). 정확한 진단 및 병소 파악을 위하여 somatostatin receptor scan (SRS)을 시행하였다. 소마토스타틴 유사체인 옥트레오타이드에 111Indium을 표지자로 사용하여 4 mCi를 정주하였고, 주입 후 4시간 및 24시간 경과 후의 영상을 얻었다. SRS를 전산화단층촬영의 영상과 비교하였을 때 전산화단층촬영에서 관찰되던 췌장 두부 경계부 병변은 열결절로 나타났으나, 췌장 미부의 병변은 뚜렷이 관찰되지 않았다(그림 3). 가스트린종과 동반될 수 있는 다발성 내분비 종양 제 1형을 배제하기 위해 시행한 혈액검사에서 혈청 칼슘 10.2 mg/dL, 부갑상선 호르몬 66.5 pg/mL로 약간 증가되어 있었으며, 경부 초음파검사에서 왼쪽 갑상선 기저부에 약 0.6 cm의 결절이 관찰되어 부갑상선종이 의심되었다. 부갑상선 병변을 확인하기 위해 부갑상선 스캔(99 mTc MIBI 20 mCi)을 실시하였고, 초음파 소견과 일치되는 부위에 열결절이 관찰되었다(그림 4). 뇌하수체 병변을 검사하기 위해 자기공명영상을 실시하였으나 병변은 관찰되지 않았다.

Figure 2.

(A & B) Contrast-enhanced abdominal CT. About 1.4 cm sized enhancing nodule in gastrinoma triangle (arrow) and small enhancing lesion in pancreas tail (arrow head).

Figure 3.

Somatostatin receptor scintigraphy. Hot uptake lesion consistent with CT scan are noted around the pancreatic head.

Figure 4.

Parathyroid scan. Arrow show focal hot uptake in left thyroid bed.

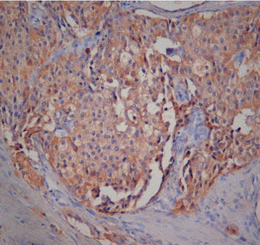
이후 수술을 시행하였고, 담낭 바로 아래 총담관 옆으로 약 1.5 cm의 종괴 관찰되어 종괴 절제 및 담낭 절제를 시행하였고, 수술 중 초음파검사에서 췌장 미부에 0.6 cm의 병변이 관찰되어 췌장 미부 절제를 시행하였다. 종괴의 동결조직 검사에서 악성 유무 확실히 알기 어려웠으며 이후 절제조직의 면역조직화학적 검사에서 가스트린에 양성을 보였고(그림 5), 시냅토피신, 크로모그라닌에 국소 양성 반응을 보이는 고분화 내분비성 종양이 두 병변 모두에서 관찰되어 추가적인 담도절제 및 임파선 곽청술을 시행하였고, 1개의 국소 림프절 전이 소견이 보여 악성 가스트린종에 합당한 소견이었다. 부갑상선 병변에 대해 부갑상선절제술 시행하였으며, 병리검사에서 부갑상선종 소견을 보였다. 수술 1주일 후 시행한 공복 혈중 가스트린 수치는 51 pg/mL으로 정상화되었다. 이후 고용량의 PPI (란소프라졸 하루 60 mg)로 지속적인 치료하였으나 식도 협착 악화되어 풍선확장술 2차례 시행하였다.

Figure 5.

Histologic findings of the resected specimen. The tumor cells show brownish discoloration in immunohistochemical staining for gastrin (×400).

수술 후 3달째에 환자 연하곤란 다시 호소하여 이번에는 식도 도관을 2주간 거치 후 제거하였다. 식도 도관 제거 2달 후에 시행한 상부위장관 내시경검사에서 이전 협착 부위의 부분적인 재협착이 관찰되었으나 환자가 심한 증상을 호소하지 않아 추가적 시술 없이 외래 추적관찰 중이다.

고 찰

Zollinger-Ellison 증후군은 내과적 치료에 반응하지 않는 상부 위장관의 소화성 궤양, 설사 그리고 췌장의 비베타성 종양과 관련된 과도한 위산분비로 특징지어지는 질환으로 처음 기술되었고, 이후에 가스트린종이라고 불리는 췌종양에서 가스트린의 분비에 의한 것으로 밝혀졌다4). Zollinger-Ellison 증후군은 종양 자체보다는 주로 증가된 위산 분비에 의한 이차적인 증상들이 나타난다. 소화성 궤양에 의한 복통이 가장 흔하며, 90% 이상에서 나타난다. 환자의 36%에서 궤양이 다발성으로 나타나거나 혹은 흔치 않은 곳에 발생하지만, 일부에서는 진단 당시에 궤양이 발견되지 않기도 한다. 그러나 환자의 75%에서 궤양이 십이지장 구부에서 관찰되고, 1 cm 이하의 단일 병변으로 나타나기 때문에 일반적인 소화성 궤양과 구분이 힘들다. 그 다음으로 환자의 2/3에서 역류성 식도염 증상들이 관찰되는데 약 8~10%에서는 이로 인한 식도 협착이 동반되며, 식도 협착은 다발성 내분비종 1형을 동반한 경우가 동반하지 않은 경우에 비해 약 3배의 높은 빈도를 보인다5). Zollinger-Ellison 증후군 환자에서 식도 협착이 있을 수 있고, 위산 과다분비가 치료되지 않으면 식도 협착이 빠르게 발생할 수 있으며, 또한 식도 협착이 있는 환자에서는 좀 더 고용량의 위산억제 치료와 정기적인 식도 확장이 필요할 수 있기 때문에 조기에 인식하여 PPI를 사용하는 것이 필요하다.

가스트린종의 30~38%에서 다발성 내분비종 1형이 진단되며, 반대로 다발성 내분비종 1형의 20~61%에서 가스트린종이 발견된다6). 다발성 내분비종 1형은 부갑상선, 췌장 그리고 뇌하수체에 발생하는 종양으로 구성되며, 이때 가스트린종은 대개 십이지장에 위치하고 작고 종종 다중심성으로 발생하기 때문에 기존의 영상 방법이나 수술시에 발견이 힘 들 수 있다7). 그리고 다발성 내분비종 1형을 동반한 Zollinger-Ellison 증후군 환자에서 부갑상선항진증은 보통 진단 당시 동반되는 경우가 많기 때문에 고칼슘혈증 환자에서는 부갑상선절제술을 시행한다. 부갑상선절제술은 공복 혈중 가스트린과 기저 위산 분비를 줄여서 위산억제 치료에 대한 반응을 향상시킨다. 본 증례에서는 담낭 바로 아래 총담관 옆과 췌장 미부에 가스트린종이 위치하고 있었으며, 부갑상선종이 보여 부갑상선절제술을 시행하였다.

가스트린종의 80% 이상이 소위 가스트린종 삼각지라고 불리는 지역에 위치하며, 췌장에 약 25%가 그리고 췌장 외 부위로는 십이지장이 가장 흔한 것으로 알려져 있다8). 그 외 난소, 장간막, 간, 총담관, 위 유문부, 신장 피막, 공장 등에서도 발생할 수 있다. 가스트린종은 림프절 혹은 간 전이를 동반할 수 있으며, 약 60~90%에서 악성화 경향을 보고하고 있어9,10), 모든 가스트린종은 악성으로 치료하여야 한다. 최근 발표에 의하면 20~30%는 급격한 성장 양상을 나머지에서는 완만한 성장 양상을 보인다고 한다11).

가스트린종의 악성화 경향으로 종양의 완전한 제거가 필요하나, 그 크기가 작고 다발성이므로 통상적인 영상 진단 방법으로는 병소를 발견하기가 어렵다12).

현재 가장 중요한 영상 진단 방법은 111In-pentetreotide를 이용한 somatostatin receptor scan (SRS)으로, 원발 종양과 원격 전이 및 간 전이를 동시에 발견할 수 있고 전산화단층촬영, 자기공명영상촬영, 그리고 초음파와 같은 기존의 영상 방법보다 원발 종양 및 원격 전이의 국소화에 있어서도 높은 민감도를 보인다13). 또한 간편하고 비침습적이면서 발견율이 79~91%로 높아, 수술 전 가스트린종의 국소화에 가장 좋은 진단 방법이다. 그러나 1 cm 이하의 가스트린종에 대해서는 민감도가 30~75%로 낮다는 제한점이 있다14). 초음파 내시경 검사는 79~81% 정도로 높은 민감도를 보이며, 최근 전향적 연구에서 췌장병변에 대해서는 93%의 민감도와 95%의 특이도를 나타내기도 하였으나, 십이지장의 가스트린종인 경우는 50%에서 병변을 찾기가 어려웠으며, 가스트린을 분비하는 종양인지의 여부에 대해서는 알 수 없다는 단점이 있다15). 본 증례에서는 췌장 미부 병변과 림프절이 SRS에서 관찰되지 않았고, 수술 중 초음파와 촉진에 의해 발견되어 췌장 미부 절제와 림프절 곽청술 시행하였다. 현재까지 가스트린종의 원발 종양과 전이 진단에 있어서 SRS가 가장 좋은 방법으로 알려져 있지만, 크기가 작은 병변에 대해서는 발견되지 않는 경우가 있으므로 수술 중 초음파 검사가 도움이 될 수 있으며, 수술자의 주의깊은 시진 및 촉진이 필요하다.

Zollinger-Ellison 증후군에서 수술의 역할은 초기에는 목표 장기로부터 가스트린을 제거하기 위해 위 전절제술을 시행하였으나, PPI로 인해 Zollinger-Ellison 증후군 환자에서 적절한 증상 조절이 가능해짐에 따라 최근에는 간 전이를 예방하는 것이 수술의 주요한 목적이다. 그러나 다발성 내분비종과 동반된 Zollinger-Ellison 증후군의 치료에 있어서 수술에 의한 완치가 드물었기 때문에 수술적 절제의 역할은 명확하지 않은 상태이다. 그러나 최근 이러한 환자에서도 공격적인 수술적 절제가 바람직하다는 연구들이 보고되고 있다16).

본 증례는 임상양상과 공복 혈중 가스트린의 증가로 Zollinger-Ellison 증후군을 진단 후 복부 전산화단층촬영과 SRS를 통해 병소 파악을 하여 수술로 병변 절제를 하였고, 부갑상선 초음파검사와 스캔 상 부갑상선 병변이 보여 수술적 절제 후 병리검사에서 부갑상선종으로 밝혀져 다발성 내분비종 1형으로 진단된 경우이다. 이후 혈중 가스트린 수치는 정상화되었고, 지속적으로 고용량의 PPI를 복용하였으나 이전의 식도 협착이 재발되어, 풍선확장술 및 식도 도관 삽입을 시행한 예이다.

References

1. Roy PK, Venzon DJ, Shojamanesh H, Abou-Saif A, Peghini P, Doppman JL, Gibril F, Jensen RT. Zollinger-Ellison syndrome: clinical presentation in 261 patients. Medicine 79:379–411. 2000;
2. Jensen RT. In : Olbe L, ed. Use of omeprazole and other proton pump inhibitors in the Zollinger-Ellison syndrome. Milestones in drug therapy 10th edth ed. p. 205. Basel: Birkhauser Verlag AG; 1999.
3. Mignon M, Cadiot G, Rigaud D, Ruszniewski PH, Jais P, Lehy T, Lewin MJ. Management of islet cell tumors in patients with multiple endocrine neoplasia type 1. In : Mignon M, Jensen RT, eds. Endocrine tumors of the pancreas: recent advances in research and management p. 342–359. Basel: Karger; 1995.
4. Zollinger RM, Ellison EH. Primary peptic ulcerations of the jejunum associated with islet cell tumors of the pancreas. Ann Surg 142:709–723. 1955;
5. Hoffmann KM, Gibril F, Entsuah LK, Serrano J, Jensen RT. Patients with multiple endocrine neoplasia type 1 with gastrinomas have an increased risk of severe esophageal disease including stricture and the premalignant condition, Barrett's esophagus. J Clin Endocrinol Metab 91:204–212. 2006;
6. Gibril F, Schumann M, Pace A, Jensen RT. Multiple endocrine neoplasia type 1 and Zollinger-Ellison syndrome: a prospective study of 107 cases and comparison with 1009 cases from the literature. Medicine 83:43–83. 2004;
7. Jensen RT. Gastrointestinal endocrine tumours: gastrinoma. Baillieres Clin Gastroenterol 10:603–643. 1996;
8. Stabile BE, Morrow DJ, Passaro E Jr. The gastrinoma triangle: operative implication. Am J Surg 147:25–31. 1984;
9. Ellison EH, Wilson SD. The Zollinger-Ellison syndrome: reappraisal and evaluation of 260 registered cases. Ann Surg 160:512–530. 1964;
10. Creutzfeldt W, Arnold R, Creutzfeldt C, Track NS. Pathomorphologic, biochemical and diagnostic aspects of gastrinomas (zollinger-Ellison syndrome). Hum Pathol 6:47–76. 1975;
11. Norton JA, Fraker DL, Alexander HR, Venzon DJ, Doppman JL, Serrano J, Goebel SU, Peghini PL, Roy PK, Gibril F, Jensen RT. Surgery to cure the Zollinger-Ellison syndrome. N Engl J Med 341:635–644. 1999;
12. Orloff SL, Debas HT. Advances in management of patients with Zollinger-Ellison syndrome. Surg Clin North Am 75:511–524. 1995;
13. Gibril F, Reynolds JC, Doppman JL, Chen CC, Venzon DJ, Termanini B, Weber HC, Stewart CA, Jensen RT. Somatostatin receptor scintigraphy: its sensitivity compared with that of other imaging methods in detecting primary and metastatic gastrinomas: a prospective study. Ann Intern Med 125:26–34. 1996;
14. van Eijck CH, Lamberts SW, Lemaire LC, Jeekel H, Bosman FT, Reubi JC, Bruining HA, Krenning EP. The use of somatostatin receptor scintigraphy in the differential diagnosis of pancreatic duct cancers and islet cell tumors. Ann Surg 224:119–124. 1996;
15. Anderson MA, Carpenter S, Thompson NW, Nostrant TT, Elta GH, Scheiman JM. Endoscopic ultrasound is highly accurate and directs management in patients with neuroendocrine tumors of the pancreas. Am J Gastroenterol 95:2271–2277. 2000;
16. Akerstrom G, Hessman O, Skogseid B. Timing and extent of surgery in symptomatic and asymptomatic neuroendocrine tumors of the pancreas in MEN 1. Langenbecks Arch Surg 386:558–569. 2002;

Article information Continued

Figure 1.

Esophagogastroduodenoscopy. (A) The esophagus. There are multiple exudative ulcer and swelling at lower esophagus. (B) The duodenum. Multiple erosion and ulcer on bulb and 2nd portion of duodenum.

Figure 2.

(A & B) Contrast-enhanced abdominal CT. About 1.4 cm sized enhancing nodule in gastrinoma triangle (arrow) and small enhancing lesion in pancreas tail (arrow head).

Figure 3.

Somatostatin receptor scintigraphy. Hot uptake lesion consistent with CT scan are noted around the pancreatic head.

Figure 4.

Parathyroid scan. Arrow show focal hot uptake in left thyroid bed.

Figure 5.

Histologic findings of the resected specimen. The tumor cells show brownish discoloration in immunohistochemical staining for gastrin (×400).