서 론
클라인펠터증후군이란 1942년 klinefelter 등에 의해 처음 보고된 가장 흔한 형태의 남성성선기능저하증으로, Bojesen 등의 보고에 따르면 대략 660명 중 한 명 꼴로 발생하게 되며 하나 혹은 그 이상의 추가 X 염색체를 갖게 되고 그 중 가장 흔한 염색 형으로는 47, XXY이다1,2). 이 유전 질환은 종종 당뇨병이 동반되어 나타나는데 그 기전은 뚜렷이 밝혀지지 않았으나 인슐린저항성을 비롯하여 성호르몬 결핍과 관련된다고 알려져 있다3,4). 그러나 실제 임상에서는 성호르몬 결핍과 당뇨병 및 인슐린저항성과의 상호연관성에 대한 인식이 부족하여 두 가지 병이 합병된 사례에 있어서 진단을 놓치거나 진단이 지연되는 경우가 종종 있다. 이에 저자들은 제2형 당뇨병 환자가 경구 혈당강하제로 불규칙적인 치료를 해오던 중 뒤늦게 성선기능저하증이 발견되어 클라인펠터증후군을 진단받았던 증례를 보고하는 바이다.
증 례
환 자: 임〇호 남자 18세
주 소: 혈당조절
현병력: 환자는 15세 때 우연히 측정한 혈당검사에서 당뇨병을 진단받았고, 그 후 Glimepiride를 하루 2 mg 복용하였으나 평소 식후 혈당수치는 300 mg/dL 이상으로 당뇨병은 조절되지 않는 상태였다. 최근 5 kg의 체중 감소가 있었고 다음, 다뇨, 다갈의 증상이 있었으나 별다른 조치 없이 지내던 중 혈당조절을 위해 내분비내과에 내원하였다.
과거력: 15세 때 당뇨병으로 진단받고 경구 혈당강하제를 복용 중이었다.
가족력: 외할머니와 외할아버지의 당뇨 병력이 있었다.
진찰 소견: 내원 시 체온은 36.2℃ 맥박 수는 분당 80회, 호흡수는 분당 18회, 혈압은 120/80 mmHg이었으며 신체계측에서 신장 177 cm 체중 78 kg이었고, 외관의 특징으로 몸통에 비하여 팔다리가 가늘고 길었으며 허리둘레는 86 cm이었고, 턱수염 및 치모는 없었으며 복부는 특이소견이 없었다. 고환은 초음파 검사에서 0.9 cm으로 작은 크기였고, 목소리는 불완전하게 변성된 상태로 여성스러운 목소리였다.
검사 소견: 입원 당시 시행한 기본혈액 검사는 정상이었고, 생화학검사 및 호르몬 검사 소견은 트리글리세리드 1.2 mmol/L (참고치 0.6~1.7 mmol/L), 고밀도지단백 0.8 mmol/L (참고치 0.8~1.8 mmol/L), 저밀도지단백 2.6 mmol/L (참고치 0~3.1 mmol/L), HbA1c 13.8% (참고치 4.4~6.4%), 공복혈당 14.2 mmol/L (참고치 3.4~6.2 mmol/L), 공복 인슐린 25.1 pmol/L (참고치 18.7~178.7 pmol/L), 난포자극호르몬 37.9 U/L (참고치 1.5~12.4 U/L), 황체형성호르몬 26.8 IU/L (참고치 1.7~8.6 IU/L), 24시간 소변 17-ketosterone 14.2 µmol/day (참고치 34.7~86.8 µmol/day), 혈청 테스토스테론 0.01 ng/mL (참고치 0.10~0.28 nmol/L) 혈청 유리 테스토스테론 5 pmol/L (참고치 33~156 pmol/L), 부신피질자극호르몬 12.8 pmol/L (참고치 0~13.0 pmol/L), 혈청 코티솔 433 nmol/L (참고치 138~690 nmol/L), insulin Ab 5.5% (참고치 0~7%), Glutamic acid decarboxylase 0.26 kU/L, 이자 섬항체(-)였다.
방사선 소견: 흉부 방사선 검사는 정상이었으며 고환 초음파 검사에서 고환의 크기는 0.9 cm로 작은 크기였다.
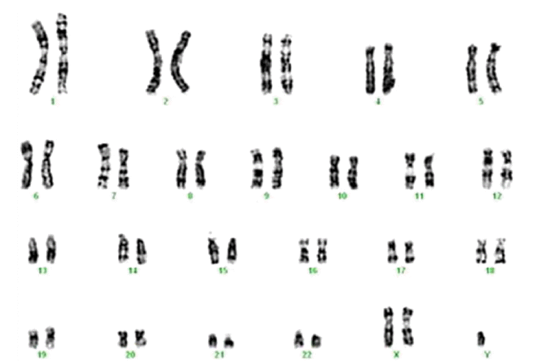
염색체 검사: 47, XXY (그림 1)
치료 및 경과: 성선기능저하증이 의심되어 시행한 염색체 검사 및 호르몬 검사결과 클라인펠터증후군으로 진단되었고, 이후 당뇨병에 대해서는 Metformin 500 mg bid와 Insulin lispro/Insulin lispro protamine suspension 25/75 mix pen 20단위/10단위로 혈당이 잘 조절되었으며, 클라인펠터증후군에 대해 테스토스테론 보충요법을 시작하였다.
고 찰
클라인펠터증후군에서 당뇨병은 약 15~50%에서 발병한다고 알려져 있으며 이 증후군에서 당뇨병이나 당 불내성이 발생되는 기전은 임상적으로 유전적 요인, 자가 면역학적 요인과 내분비적 요인으로 나뉘어 여러 가지 인자가 관여하는 것으로 알려져 있다5-7). Jackson 등8)은 성 염색체 이상 그 자체가 당대사에 영향을 미친다고 하였고, Takeuchi 등은 당뇨병이 동반된 클라인펠터증후군 환자에서 이자 섬항체가 존재하거나 혹은 다른 자가 면역질환이 동반됨을 보고하여 자가 면역학적 관련성을 설명하였다9-11). 이러한 여러 가지 알려진 기전 중에서도 가장 주된 원인으로 꼽히는 것은 인슐린저항성의 증가로, 1998년 이 등12)도 정상혈당클램프 검사를 통해서 내당능 장애의 기전이 인슐린저항성에 의한 것임을 밝힌 바 있다. 이는 Spark3), Kalyani와 Dobs가4) 보고한 바에 따르면 테스토스테론의 결핍과 관련이 되며 인슐린저항성의 증가뿐 아니라 중심성 비만, 고혈압, 이상지질증 등 대사성 증후군의 발생과 아주 밀접한 연관이 있다. 본 증례의 경우는 공복혈당이 100 mg/dL 이상이며 고밀도지단백 수치가 40 mg/dL 미만이었으나, 다른 기준은 만족되지 않아 대사성 증후군의 진단기준에는 부합되지 않았다. 인슐린저항성 여부를 판단하는 지표인 Homeostasis model assessment of insulin resistance (HOMA-IR) 수치가 20.4 (254 mg/dL×1.81 uU/mL/22.5), Quantitative insulin sensitivity check index (QUICKI)수치가 0.37 (1/[log254 mg/dL+log1.81 µU/mL])이었고, 허리둘레 86 cm로 중심성 복부 비만의 기준치인 90 cm에는 못 미쳤으나 복부에 비해 상대적으로 사지가 가느다란 신체소견으로 볼때 중심성 비만 소견을 보이고 있다고 생각되어 본 증례의 경우 인슐린저항성이 있다고 판단되었다. 성호르몬결합글로블린과 유리 테스토스테론의 혈중 수치 감소와 인슐린저항성의 증가와 관련된 기전은 정확히 밝혀져 있지 않지만 고려되는 기전으로는 신체 구성비율의 변화, 안드로겐 수용체의 다형태, 당대사장애, 항산화영향의 감소 등이 있고, 그 외에도 복잡한 대사성 장애 기전이 기여하는 것은 분명하다3,4,13). 반대로 당뇨병이 있는 남성 환자에서 테스토스테론의 수치가 낮음을 발견할 수 있는데 이는 또한 역으로 인슐린저항성이 성호르몬의 수치 감소에 일부 기여하기 때문이다14).
이처럼 성호르몬 결핍과, 당뇨병 혹은 당 불내증과는 상호 연관성이 높음에도 불구하고 실제 임상에서는 그 관련성에 대한 개념의 인지가 부족하여, 진단이 지연되거나 진단을 놓치는 경우가 많다. 환자의 외모가 병을 의심할 만큼 특징적이지 않는 경우도 있기 때문에 늘 자세한 병력청취와 신체검진을 하지 않는다면 진단을 놓치기 쉽고, 환자의 대부분도 사춘기 이전에는 증상을 인지하지 못하며 지내다가 2차 성징 출현 지연이나 불임 등으로 인한 성적인 기능상실을 인지하게 될 때쯤 의료진을 찾기 때문에15) 더욱 그러하다. 본 증례의 경우는 신장 177 cm으로 현대 남성 평균키에 비해 아주 큰 키도 아니었고, 상대적인 중심성 복부 비만으로 전형적인 유환관의 외모가 아녀서 더욱이 진단을 놓치기 쉬운 사례였다. 국내에서 1990년까지의 클라인펠터증후군 87예에 대한 분석 보고15)에서도 환자들의 평균 신장이 174.6±6.5 cm으로 그 당시 정상 남성 평균 신장 170.2±5.2 cm에 비해서는 크긴 하나, 외관상 환자로 인지할 수 있을 만큼의 아주 큰 키가 아니었고, 그 이후 국내에서 보고된 클라인펠터증후군 몇 예를 살펴볼 때 환자의 신장이 173 cm1), 176 cm12), 175 cm16)으로 역시나 아주 큰 키는 아니었다. 일본에서 Ota 등17)이 보고한 증례에서도 환자의 신장이 163 cm, 경도의 비만소견으로 전형적인 유환관의 외모가 아니었고, 이 환자 역시 본 증례의 경우와 마찬가지로 당뇨병을 진단받고 18년 후 48세에 뒤늦게 클라인펠터증후군으로 진단되었다. 이와 같은 증례들로 미루어 생각해볼 때 클라인펠터증후군의 경우, 병을 의심할 수 있을 만큼 큰 키가 아닌 경우도 많고, 키가 크다고 할지라도 여성스러운 외모로 인해 소위 꽃미남으로 불리는 현대 사회의 선호되는 남성 이미지와 유사한 면이 있어 진단을 놓치기가 쉽니다. 따라서 젊은 나이의 환자가 당뇨병 혹은 당 불내성이 있을 경우는 성선기능저하증의 여부를 고려해 볼 필요가 있다.
마찬가지로, 남성호르몬 결핍증 환자에서는 당뇨병 및 심혈관계 합병증으로 인한 사망률이 높기 때문에18) 당뇨병의 합병여부에 대한 진단은 반드시 놓치지 말아야 할 것이며, 또한 클라인펠터증후군 환자에서 빠른 시기에 호르몬 치료를 시작하는 것은 환자의 삶의 질을 높일 수도 있기 때문에 적절한 시기에 진단을 놓치지 않고 치료를 시작하는 것은 임상적으로 더더욱 중요하다.
이처럼 성호르몬 결핍과 인슐린저항성의 관계는 아주 복잡하면서도 밀접하게 관련되어 있으므로 성호르몬 결핍이 진단된 예에서는 반드시 당뇨병 유무 및 인슐린저항성 유무를 확인해야 할 것이며 자주 혈당 체크를 하고, 만약 당뇨병이 없는 인슐린저항성만이 동반되어 있다면 당뇨병으로의 진행을 막기 위해 식이요법과 운동요법을 통해서 인슐린저항성을 감소시키기 위한 노력을 기울여야 할 것으로 생각된다. 이와 마찬가지로 인슐린저항성이 있거나 당뇨병이 진단된 환자에서도, 성호르몬의 결핍이 동반되어 있는지 여부를 확인하여 진단을 놓치지 말고 적절한 시기에 호르몬 치료가 시작될 수 있도록 해야 할 것이다. 본 증례의 경우도 당뇨병을 진단받고 3년 후 클라인펠터증후군이 우연히 진단되었는데, 당뇨병 진단 당시 성호르몬 결핍에 대한 개념을 떠올리고 세심하고 면밀한 신체검사 및 필요한 추가적인 검사를 시행하였다면 좀 더 빨리 클라인펠터증후군을 진단할 수 있었을 것으로 생각된다.


PDF Links
PubReader
ePub Link
Full text via DOI
Download Citation
Print






