심막에 발생한 원발성 악성 중피종

Primary Pericardial Malignant Mesothelioma

Article information

Korean J Med. 2011;80(1):40-42
Publication date (electronic) : 2011 January 1
1Departments of Radiology, Inha University College of Medicine, Incheon, Korea
2Departments of Pathology, Inha University College of Medicine, Incheon, Korea
전용선1, 이경희1, 조순구1, 한지영2
1인하대학교 의과대학 영상의학교실
2인하대학교 의과대학 병리학교실
*

This work was supported by Inha University Research Grant.

Keywords: 심막; 중피종

59세의 여자 환자가 2개월간 지속된 호흡곤란, 두근거림과 부종을 증상으로 본원 순환기내과에 내원하였다. 내원 당시 환자의 과거력상 특이소견이 없었고, 이학적 검사에서 양측 하지에 경도의 부종이 있었다. 내원 후 시행한 흉부 방사선 검사에서 경도의 심비대가 관찰되었다(그림 1). 심초음파 검사에서는 우심방과 우심실의 비대가 있었다. 흉부 전산화단층 촬영 검사에서 심막이 미만성으로 두꺼워져 있으며 불균일한 다발성 종괴가 심막을 따라서 관찰되었고, 폐 실질에는 이상소견이 보이지 않았다(그림 2). 심막에서 발생한 종괴를 의심하였고, 정확한 진단을 위해서는 조직 검사가 필요하였다. 환자는 전신마취하에 우측 개흉술을 시행하였고, 수술 소견상 심막이 미만성으로 두꺼워져 있고, 다발성 결절들이 촉지되었고, 심장과 심막과의 유착이 있었다. 우심방을 싸고 있는 심막의 결절에서 조직을 얻었고, 크기는 2×2 cm였다. 조직학적 검사 결과 상피세포 형태의 악성 중피종으로 진단되었다(그림 3). 조직검사 결과 후 시행한 양전자 전산화 단층촬영에서 심막에 미만성으로 높은 대사의 섭취(standard uptake value=6.18)가 관찰되었고, 개흉술에 의한 흉골에 국소적 대사 섭취 외에 다른 부위의 높은 대사의 섭취는 보이지 않았다(그림 4). 영상학적 검사와 조직학적 검사를 종합한 최종 진단은 심막에서 기원한 원발성 악성 중피종이다.

Figure 1.

Chest PA image shows mild cardiomegaly.

Figure 2.

Chest CT image shows multiple nodular mass with diffuse thickening of pericardium. Normal lung parenchyma is noted.

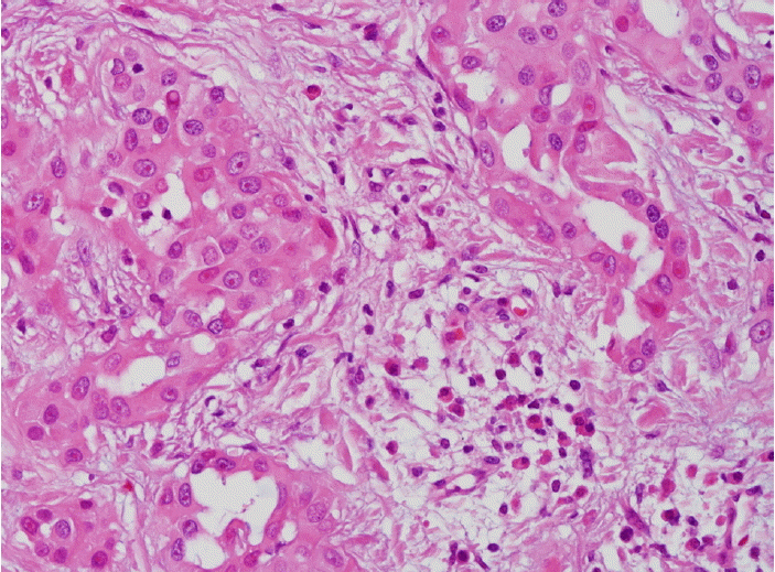
Figure 3.

Photomicrograph of specimen shows epithelial cell tumor with hyperchromatic and pleomorphic nuclei (H & E, ×400).

Figure 4.

FDG PET-CT image shows multiple hypermetabolic lesions along the pericardium. Post-operation focal hypermetaboilic lesion is noted at sternum.

심막의 종양은 대부분 흉부에서 발생하는 악성 종양이나 흑색종, 혈액 악성 종양 등에 의한 전이암이며 심막의 원발성 종양은 섬유종, 혈관종, 기형종, 육종, 중피종 등이 보고되고 있으며 그 빈도가 매우 드물다[1]. 현재 보고된 바에 의하면 부검 시 심막의 원발성 종양의 빈도는 0.0022%이며 이 중 중피종이 가장 흔한 경우이나 현재 150예 미만으로 보고되고 있다[2]. 심막의 원발성 중피종은 심장과 심막의 모든 원발성 종양에서 약 2~3%이며 모든 중피종에서 약 1% 빈도로 보고되고 있다[3]. 심막의 원발성 중피종은 심막외 다른 부위에 종양이 없으며 임파선 전이가 없는 경우로 정의 내린다[4]. 심막의 원발성 중피종의 발생원인은 불명확하며 흉막이나 복막의 중피종과 다르게 석면의 노출과 직접적인 연관성은 없다고 알려져 있으며 남성에서 호발하며 주로 40대에서 70대에 발병한다[2]. 본 증례에서도 환자는 여성이지만 과거력에서 석면의 노출이 없었다. 심막 중피종의 증상은 다양하며 환자들이 호소하는 증상은 흉통, 호흡곤란, 두근거림, 기침, 부종 등이다. 환자가 내원 시 약 75%에서 호흡곤란과 단순 흉부 촬영에서 심비대의 소견이 나타난다[5]. 심막을 침범하는 다른 종양과는 달리 심막 중피종은 다량의 심막 삼출액보다는 전반적인 심막의 비후를 보이며 협착성 심막염과 같은 임상양상을 보인다[5]. 병리소견에서는 심막의 중피종은 상피세포형, 방추세포형, 혼합형으로 구분되며, 중피 세포들이 유두상, 선상 또는 관상의 형태를 이루고 있다[5]. 조직검사에서는 만성 심막염 때 보이는 중피세포의 반응성 증식이나 상피세포암종과의 감별이 어렵기 때문에 중피종은 대부분 면역조직화학염색을 통하여 수술 후 진단하게 된다[5]. 심막의 중피중이 단일 병변일 경우 수술적 절제가 가능하지만 본 증례처럼 다발성 결절의 경우는 수술적 절제가 불가능하며 예후는 불량하다. 증상이 있는 환자 치료 시작 후 약 6개월의 생존율을 보였다는 보고가 있으며 화학 치료나 방사선 치료의 효과가 입증되지는 않았다[3]. 일반적으로 환자의 단순 흉부 촬영에서 심비대는 비교적 자주 접하게 되며, 심비대의 원인 중에 비록 심막의 원발성 중피종이 드물지만 감별진단에 포함시키는 것이 중요하다.

References

1. Grizzard JD. Magnetic resonance imaging of pericardial disease and intracardiac thrombus. Heart Fail Clin 2009;5:401–419.
2. Lagrotteria DD, Tsang B, Elavathil LJ, Tomlinson CW. A case of primary malignant pericardial mesothelioma. Can J Cardiol 2005;21:185–187.
3. Kaul TK, Fields BL, Kahn DR. Primary malignant pericardial mesothelioma: a case report and review. J Cardiovasc Surg 1994;35:261–267.
4. Burke AP, Virmani R. Malignant mesothelioma of the pericardium. In : Rosai J, Sobin LH, eds. Tumors of the Heart and Great Vessels Washington DC: Atlas of Tumor Pathology; 1995. p. 181–194.
5. Patel J, Sheppard MN. Primary malignant mesothelioma of the pericardium. Cardiovasc Pathol 2010;Jan 28 [Epub ahead of print].

Article information Continued

Figure 1.

Chest PA image shows mild cardiomegaly.

Figure 2.

Chest CT image shows multiple nodular mass with diffuse thickening of pericardium. Normal lung parenchyma is noted.

Figure 3.

Photomicrograph of specimen shows epithelial cell tumor with hyperchromatic and pleomorphic nuclei (H & E, ×400).

Figure 4.

FDG PET-CT image shows multiple hypermetabolic lesions along the pericardium. Post-operation focal hypermetaboilic lesion is noted at sternum.