무균성 뇌수막염으로 오인된 뇌하수체졸증 1예

A Case of Pituitary Apoplexy Misdiagnosed as Aseptic Meningitis

Article information

Korean J Med. 2011;80(1):102-107
Publication date (electronic) : 2011 January 1
Department of Internal Medicine, The Catholic University of Korea College of Medicine, Seoul, Korea
윤유선, 김은숙, 신정아, 강무일, 윤건호, 차봉연, 손호영
가톨릭대학교 의과대학 내과학교실
Correspondence to Ho Young Son, M.D.   Division of Endocrinology and Metabolism, Department of Internal Medicine, Seoul St. Mary’s Hospital, The Catholic University of   Korea College of Medicine, 505 Banpo-dong, Seocho-gu, Seoul 137-701, Korea   Tel: +82-2-2258-1022, Fax: +82-2-599-3589, E-mail: hys@catholic.ac.kr
Received 2009 September 1; Revised 2009 December 10; Accepted 2009 December 22.

Abstract

본 저자들은 뇌수막염 증상으로 오인되어 치료가 지연, 부신 위기 동반으로 악화된 후 진단된 뇌하수체 선종의 뇌하수체졸증 1예를 경험하여, 무균성 뇌수막염이 호전되지 않을 경우에는 드물지만 치명적인 경과를 보일 수 있는 뇌하수체졸증일 가능성을 상기하고자 이를 보고하는 바이다.

Trans Abstract

Pituitary apoplexy is a clinical syndrome caused by an acute ischemic or hemorrhagic vascular accident. Although pituitary apoplexy is an emergency, it is often overlooked because it is rare and presents with various signs and symptoms, including those of neurologic and endocrine disorders. We describe a case of pituitary apoplexy misdiagnosed as aseptic meningitis accompanied by acute-onset headache and nausea, followed by fever. Subsequently, it was revealed as pituitary apoplexy by brain magnetic resonance imaging (MRI) performed when the clinical course worsened and ophthalmoplegia developed. We suggest that pituitary apoplexy be included in the differential diagnosis of patients presenting with headache or signs of meningeal irritation; when there is no clinical improvement, prompt steroid treatment should be started, while considering neurological decompression to prevent neurological sequelae. (Korean J Med 2011;80:102-107)

서 론

뇌하수체졸증은 뇌하수체 내의 자발적 출혈 또는 경색으로 인해 뇌하수체가 급격히 팽창하여 발생하는 임상 증후군으로 빈도는 낮게 발생하나 조기에 치료를 받지 못하면 생명에 지장 및 치명적인 병의 후유증을 초래할 수 있는 내분비적 응급 질환이다[1].

이는 두통, 오심, 구토, 의식의 변화 등의 치명적인 양상부터 발열, 안구 운동 장애 등의 다양한 증상으로 발현되어 타 질환과의 감별이 요구되며 임상의의 환기가 없이는 진단이 늦어질 수 있어 주의가 필요하다.

본 저자들은 뇌수막염 증상으로 내원하여 치료 중 뇌하수체졸증으로 진단된 예를 경험하여 이를 소개하고자 한다.

증 례

환 자: 임〇〇

나이 및 성별: 41세, 남성

주 소: 두통, 오심

현병력: 평소 특이 병력 없이 건강하였던 자로 내원 일주일 전 무리하게 코를 푼 뒤부터 우측 이명 및 청력 감소가 발생하여 인근 이비인후과에서 돌발성 난청 의심하에 프레드니솔론을 40 mg 복용하던 중 내원 전일 두통, 오심 발생 후 증상 악화되는 양상을 보여 응급실에 내원하였다.

과거력 및 가족력: 특이사항 없음.

진찰 소견: 내원 당시 생체 활력 징후는 혈압 155/96 mmHg, 맥박 60회/분, 호흡 20회/분, 체온 36.5°C였고, 키는 180 cm, 체중은 78 kg이었다. 호흡음, 심음, 장음은 정상 청진 소견이었고, 복부 팽만이나 간 및 비장 비대 및 피부 위축이나 자반 등은 관찰되지 않았다. 경부 강직 소견이 있었으나 동공의 크기 및 대광 반사는 모두 정상이었으며 신경학적 검사에서 뇌신경 및 운동, 감각, 심부건 반사에서 이상 소견은 관찰되지 않았다.

혈액검사 소견: 말초혈액 검사에서 백혈구 수 10,480/mm3(중성구 분획 64%)로 경한 증가 소견이 있었고, 혈색소 15.2 g/dL, 혈소판 200,000/mm3였다. 적혈구침강속도 15 mm/h, C-반응성 단백질은 0.04 mg/dL로 정상 범위였다. 생화학검사에서 혈당 91.4 mg/dL, 혈청 BUN 10.9 mg/dL, 크레아티닌 1.0 mg/dL, AST 46 IU/L, ALT 28 U/L Na 134 mmol/L, K 3.8 mmol/L였다. 요 분석 검사 및 혈액 응고 검사는 정상이었다. 뇌척수액 검사상 뇌척수압 140 mmH2O로 정상 범위였으며, 백혈구 9/mm3, 적혈구 60/mm3, 단백질 49.23 mg/dL, 포도당 67.3 mg/dL 단백질 감소나 포도당 증가 없이 백혈구 증가 소견이 관찰되었다.

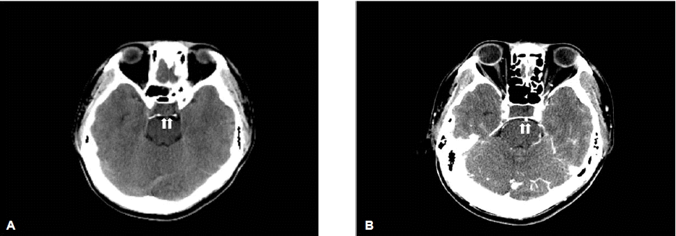
영상학적 소견: 전산화 뇌 단층 촬영에서 뇌하수체에 1.3 cm의 뇌하수체 우연종 외에 특이소견은 없었다(그림 1),

Figure 1.

Axial non-enhanced (A) and enhanced (B) CT images show an isodense pituitary adenoma (indicated by the white arrow).

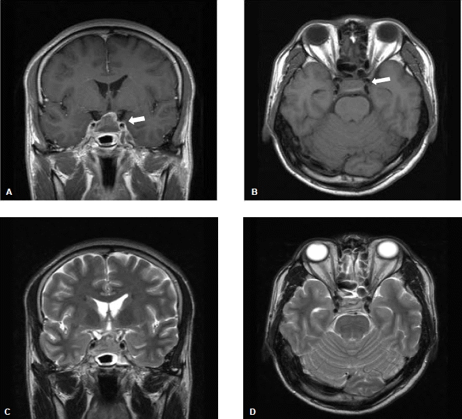
진단 및 경과: 전산화 촬영상 특이소견은 없고, 뇌척수액 검사 소견으로 볼 때 무균성 뇌수막염이 의심되었다. 내원 후 체온 38.3℃로 상승 소견을 보여 수액 및 비스테로이드소염제 투여 등의 보존적 치료를 시행하였으며 내원 전일부터 중단한 프레드니솔론은 재투여하지 않았다. 내원 3병일 두통, 오심 및 발열이 지속되며 복시를 호소하였으며 신경학적 검사상 안구 운동 장애는 뚜렷하지 않았으나 적유리 검사(red glass test) 양성으로 양측성 6번 뇌신경 마비가 의심되어 입원 5병일 뇌 자기 공명 영상검사 시행(그림 2), 2.5×2.2 cm 크기의 내부 출혈이 동반된 거대 뇌하수체 종양이 우측 해면 정맥동으로 확장된 소견을 보여 뇌하수체졸증으로 진단되었다. 부신 위기 가능성 고려해 프레드니솔론 500 mg 정맥 투여를 시행 후, 입원 7병일 복시가 소실되며 발열이 소실되고 전신 증상이 호전되는 양상을 보였다. 투약 전 오전 8시에 시행한 뇌하수체 기저 호르몬 검사상 cortisol 0.6 μg/dL, ACTH 40.51 pg/mL 및 freeT4 0.76 ng/dL, TSH 0.16 μIU/mL로 뇌하수체 기능저하증 동반이 의심되어 임상 증상 안정 후 주사제를 경구 프레드니솔론 7.5 mg으로 변경, 유지하였으며 스테로이드 투여 3일 후 레보티록신 50 μg을 추가하였다. 이후 free T4 0.94 ng/dL, TSH 0.6 μIU/mL로 정상 갑상선 기능 상태에서 입원 23병일째 경접형동 접근법으로 병변을 제거하였고, 조직 검사를 통해 출혈성 경색을 동반한 뇌하수체 선종을 진단하였다(그림 3). 수술 4주 후 시행한 복합 뇌하수체 자극 검사를 시행하였으며 결과는 표 2와 같다. TSH는 기저치 1.29 μIU/mL, 90분 후 최고치가 4.46 μIU/mL로, cortisol의 경우도 기저치 7.08 μIU/mL, 60분 후 최고치가 9.83 μIU/mL로 자극에 둔화된 반응을 보였으며, 이외 GH, LH, FSH의 반응도 감소된 소견을 보여 뇌하수체 기능저하증으로 진단할 수 있었으며, testosterone 또한 0.08 ng/mL (정상치: 2.12~7.60)로 저하되어 hydrocortisone 20 mg과 레보티록신 50 μg 투약 및 testosterone enanthate 100 mg 근주를 시행하였으며 이후 특별한 증상 없이 치료 유지하며 외래에서 경과관찰 중이다.

Figure 2.

T1-weighted (A, B) and T2-weighted (C, D) MRI shows an inhomogeneous pituitary mass (indicated by the white arrow) consisting of an enhanced upper portion and non-enhanced lower portion shown by iso and low signals in T2-weighted images suggesting a hemorrhagic pituitary mass.

Figure 3.

Microscopically, there is extensive necrosis with focal pituitary gland cells in the right lower area (H&E, ×100).

Combined pituitary stimulation test

고 찰

뇌하수체졸증은 Bailey [2]에 의해 1898년 처음 개념이 소개되고 1950년 Brougham 등[3]이 5예의 임상양상을 소개하며 뇌하수체졸증으로 명명한 이래 간헐적으로 보고되고 있다. 이는 기존에 존재하던 뇌하수체 종양이나 정상 뇌하수체 조직의의 출혈이나 경색으로 발생하여 점진적으로 진행하는 무증상 형태부터 두통, 오심, 구토, 시각 변화, 안구 운동 장애 및 의식 저하로 수시간에서 수일 내에 급격히 진행하는 다양한 양상을 보이는 병으로 내분비적 응급질환에 속한다[4].

뇌하수체졸증의 발생률은 정의와 저자들마다 달라 수술로 제거된 뇌하수체 선종의 9.6~25.7%에서 병리학적으로 출혈이 동반되었다고 보고되지만 전형적인 임상 증상을 동반하는 경우는 0.6~9.1% 정도로 소수이며 발생연령은 15~90세로 다양하나 평균연령은 40~50세로 남자에게 조금 더 호발하는 것으로 알려져 있다[1,5]. 국내의 경우 뇌하수체 졸증의 유병률은 아직 정확히 알려지지 않은 실정으로 Hwang 등[6]이 1981년에 보고한 이래로 간헐적인 증례로 보고되어 왔다[7-11].

발생하는 병태 생리는 뚜렷이 알려져 있지 않으나, 비종양성 뇌하수체 조직에서 발생하는 기전으로는 저혈압[1,12]이 기존 선종에서 발생한 경우에는 선종의 급속한 성장, 지지혈관의 압박, 종양 혈관 고유의 취약성, 종양 내의 동맥류 및 동맥 경화성 색전 등[5]이 발생을 유발할 것으로 추정되고 있다. 뇌하수체졸증의 선행인자로는 고혈압, 당뇨병, 혈관응고 장애, 두부 외상, 심장 수술, 방사선 치료, 항 응고제 치료, 혈관 촬영 검사 등의 여러 보고가 있으나 대개의 경우 선행 요인 없이 발생한다[13].

동반되는 임상증상은 뇌막 자극 징후나 갑작스런 시력 장애나 안구운동 장애로 인한 복시 및 뇌하수체 기능 저하 등 다양한 양상으로 나타나는 것으로 보고된다[13]. 이 중 뇌하수체 기능 저하는 수술 전 20~30% 가량에서 보이며 가장 흔한 형태는 성 호르몬 기능 저하인 것으로 보고되고 드물게 부신피질 기능, 갑상선 기능 저하를 비롯 항이뇨호르몬의 과다로 저나트륨 혈증이 동반되기도 한다[14].

본 증례는 두통, 오심, 발열, 경부 강직 등의 임상양상으로 발현되어 전산화 촬영상 출혈이나 경색은 보이지 않고 뇌하수체 우연종만 관찰되었으며 뇌 척수액 검사상 단백 증가나 포도당 감소 없이 경한 백혈구 증가만을 보여 초기 무균성 뇌수막염으로 오인되었다. 뇌막 자극 증상은 뇌하수체졸증에서 비교적 16.7%에서 85%로 두통 다음으로 비교적 흔히 생기는 증상이나[15,16] 이는 지주막하 출혈, 동맥류 파열, 뇌수막염 등과의 감별이 필요하며, 주로 일차 검사로 시행되는 전산화 단층 촬영이 진단의 민감도가 매우 낮아 진단을 놓칠 수 있다. 때문에 임상적으로 의심될 경우 비교적 민감도가 높은 자기공명촬영을 시행해야 한다[4,17,18]. 이러한 뇌막 자극 증상은 출혈이나 괴사성 분비물의 지주막하강 유입으로 유발되는 것으로 추정되며[14,17], 본 증례의 경우 뇌척수액 검사상 적혈구가 60/mm3로 증가된 소견은 이와 연관이 있을 것으로 보인다.

환자의 기저 코르티솔 수치 및 갑상선 기능 검사상 저하 소견을 보인 것을 볼 때, 뇌하수체 졸증 발생 시 뇌하수체호르몬 분비 저하가 동반되어 있었으나 진단이 늦어져 무균성 뇌수막염에 준해 스테로이드 치료 없이 보존적인 치료만한 경우로, 오심, 발열 등의 동반은 환자가 뇌하수체 기능 저하였던 것을 고려해 볼 때, 뇌막 자극 증상 외에 부신 위기가 발생하여 나타났을 것으로 추정된다. 이는 또한 내원 전 이명 및 청력 저하로 사용하다 중단하였던 프레드니솔론의 영향도 부가적으로 영향을 미쳤을 것으로 고려될 수 있다.

뇌하수체졸증의 기본 치료는 이차적으로 발생하는 부신피질 기능 저하증과 주위 뇌실질의 부종을 감소시키기 위해 신속히 고용량 스테로이드를 투여하며 결핍된 뇌하수체 호르몬을 보충해 주는 것이다[5,18]. 외과적 치료에 대해서는 논란이 있어 모든 환자에서 감압술이 필요한 것은 아니나 의식 저하, 신경학적 징후의 악화, 시력 소실 등의 증상이 나타날 때는 즉각적인 감압술을 통해 신경학적 손상이 진행하는 것을 미연에 방지해야 한다[18]. 수술적 방법으로는 경접형동 접근법으로 좋은 치료 성과를 거두고 있다[7].

본 증례에서는 두통 및 발열을 호소하여 무균성 뇌수막염으로 보존적 치료하던 중, 복시와 안구 운동 장애의 국소 신경학적 이상 소견이 나타나 대뇌 병변을 염두에 두고 자기공명 영상 검사를 시행하였고, 출혈 및 괴사를 동반한 뇌하수체 선종이 발견되었다. 뇌하수체졸증을 무증상 뇌수막염으로 보고한 것은 Kim과 Jung[9]에 이어 두 번째로, Kim과 Jung의 경우와 마찬가지로 본 증례에서도 전산화 촬영에서 특이한 이상이 없어 보존적 치료를 하다 증상이 진행되어 자기 공명 검사로 진단된 경우이다. 본 증례의 특이점은 Kim과 Jung이 호르몬 검사 이상을 언급하지 않은 것과 달리 본 환자의 경우 뇌하수체 호르몬이 전반적으로 감소되어 있었던 점으로, 부신 피질 호르몬 결핍으로 인해 부신 기능 위기로 발현된 것이다. 본 증례에서는 스테로이드 치료 및 뒤이은 갑상선 호르몬 보충 요법을 실시하였고 뇌하수체 선종의 종괴 효과가 진행될 것이 예상되어 수술적 감압을 실시하였다.

뇌하수체졸증이 드문 질환이나 발생할 경우 생명을 위협할 수 있는 중증 질환이므로, 심한 두통을 호소하며 전산화 단층 촬영 및 척수액 검사상 명확한 이상 소견 없이 경과의 악화를 보일 때에는 뇌하수체졸증의 가능성을 염두에 두고 고용량의 스테로이드 투여 및 뇌자기공명 검사를 실시하여 조속히 진단하고 치료하는 것이 중요하겠다.

Basal pituitary hormone levels

References

1. Reid RL, Quigley ME, Yen SS. Pituitary apoplexy: a review. Arch Neurol 1985;42:712–719.
2. Bailey P. Pathological report of a case of acromegaly, with special reference to the lesions in the hypophysis cerebri and in the thyroid gland; and a case of hemorrhage into the pituitary. Philadelphia Med J 1898;1:789–792.
3. Brougham M, Heusner AP, Adams RD. Acute degenerative changes in adenomas of the pituitary body: with special reference to pituitary apoplexy. J Neurosurg 1950;7:421–439.
4. Onesti ST, Wisniewski T, Post KD. Clinical versus subclinical pituitary apoplexy: presentation, surgical management, and outcome in 21 patients. Neurosurgery 1990;26:980–986.
5. Cardoso ER, Peterson EW. Pituitary apoplexy: a review. Neurosurgery 1984;14:363–373.
6. Hwang YH, Kim YS, Kim JW, Kim SW, Kim MJ, Choi YK. Pituitary apoplexy: report of 2 cases. Korean J Med 1981;24:172–176.
7. Kim JT, Park BJ, Sung JN, Kim YJ, Cho MK. Clinical analysis of pituitary apoplexy. J Korean Neurosurg Soc 2001;30:724–728.
8. Na MJ, Oh YS, Shin SH. A case of acromegaly associated with pituitary apoplexy. J Korean Soc Endocrinol 1989;4:176–177.
9. Kim SY, Jung YS. Pituitary apoplexy presenting as meningitis. J Korean Soc Emerg Med 2002;13:94–96.
10. Ko HS, Kim YH, Ahn HY, et al. Minimally invasive neuroendoscopic surgery for pituitary apoplexy diagnosed during pregnancy. Korean J Obstet Gynecol 2006;49:176–181.
11. Kim JP, Park BJ, Kim SB, Lim YJ. Pituitary apoplexy due to pituitary adenoma infarction. J Korean Neurosurg Soc 2008;43:246–249.
12. Rolih CA, Ober KP. Pituitary apoplexy. Endocrinol Metab Clin North Am 1993;22:291–302.
13. Wakai S, Yamakawa K, Manaka S, Takakura K. Spontaneous intracranial hemorrhage caused by brain tumor: its incidence and clinical significance. Neurosurgery 1982;10:437–444.
14. Wakai S, Fukushima T, Teramoto A, Sano K. Pituitary apoplexy: its incidence and clinical significance. J Neurosurg 1981;55:187–193.
15. Dubuisson AS, Beckers A, Stevenaert A. Classical pituitary tumour apoplexy: clinical features, management and outcomes in a series of 24 patients. Clin Neurol Neurosurg 2007;109:63–70.
16. Ebersold MJ, Laws ER, Scheithauer BW, Randall RV. Pituitary apoplexy treated by transsphenoidal surgery: a clinicopathological and immunocytochemical study. J Neurosurg 1983;58:315–320.
17. Randeva HS, Schoebel J, Byrne J, Esiri M, Adams CB, Wass JA. Classical pituitary apoplexy: clinical features, management and outcome. Clin Endocrinol 1999;51:181–188.
18. Bills DC, Meyer FB, Laws ER Jr, et al. A retrospective analysis of pituitary apoplexy. Neurosurgery 1993;33:602–608.

Article information Continued

Figure 1.

Axial non-enhanced (A) and enhanced (B) CT images show an isodense pituitary adenoma (indicated by the white arrow).

Figure 2.

T1-weighted (A, B) and T2-weighted (C, D) MRI shows an inhomogeneous pituitary mass (indicated by the white arrow) consisting of an enhanced upper portion and non-enhanced lower portion shown by iso and low signals in T2-weighted images suggesting a hemorrhagic pituitary mass.

Figure 3.

Microscopically, there is extensive necrosis with focal pituitary gland cells in the right lower area (H&E, ×100).

Table 1.

Basal pituitary hormone levels

Value Normal range
FreeT4 (ng/dL) 0.76 0.93~1.7
TSH (μIU/mL) 0.16 0.35~5.5
Cortisol (μg/dL) 0.60 9.41~26.06 (morning)
ACTH (pg/mL) 40.51 6.00~56.70
GH (ng/mL) 0.5 0.0~4.7
Prolactin (ng/mL) 5.5 1.8~15.9
LH (mIU/mL) 1.4 1.0~5.3
FSH (mIU/mL) 2.2 1.3~8.1
Testosterone (ng/mL) 0.07 2.12~7.60
Estradiol (pg/mL) 31.4 15.0~47.0

Table 2.

Combined pituitary stimulation test

Glucose
(mg/dL)
TSH
(μIU/mL)
Prolactin
(ng/mL)
GH
(ng/mL)
Cortisol
(μg/dL)
ACTH
(pg/mL)
LH
(mIU/mL)
FSH
(mIU/mL)
0 min 85 1.29 7.93 0.06 7.08 42.07 3.08 2.5
30 min 33 2.83 10.19 0.14 11.7 50.97 3.35 3.2
60 min 56 4.4 9.48 0.13 9.83 49.44 4.11 3.26
90 min - 4.46 8.6 0.08 6.84 33.16 4.17 3.46
120 min 125 4.13 9.3 0.06 5.44 35.51 4.19 3.64