전신 경련성 간질 지속증으로 발현한 비케톤성 고혈당증 1예

A Case of Nonketotic Hyperglycemia as a Manifestation of Generalized Convulsive Status Epilepticus

Article information

Korean J Med. 2011;81(4):508-511
Publication date (electronic) : 2011 October 1
Department of Internal Medicine, University of Ulsan College of Medicine, Seoul, Korea
임재찬, 이재준, 한지민, 김유석, 유지희, 정창희, 이우제
울산대학교 의과대학 서울아산병원 내과
Correspondence to Woo Je Lee, M.D., Ph.D.   Department of Internal Medicine, University of Ulsan College of Medicine, 388-1 Pungnap-dong, Songpa-gu, Seoul 138-736, Korea   Tel: +82-2-3010-3240, Fax: +82-2-3010-6962, E-mail: wjlee@amc.seoul.kr
Received 2010 September 13; Revised 2010 October 14; Accepted 2010 November 12.

Abstract

NKH에 의해 유발된 경련발작은 운동성 부분 발작 또는 지속성 부분 간질로 발현하는 경우가 흔하며, 전신 경련성 간질 지속증으로 발현하는 경우는 드물다. 저자들은 기존에 당뇨병을 진단받지 않았던 환자가 NKH와 동반된 전신 경련성 간질 지속증으로 내원했던 예를 경험하였기에 문헌고찰과 함께 보고하는 바이다.

Trans Abstract

Seizure is one of the manifestations of nonketotic hyperglycemia (NKH). Partial motor seizures are observed in most cases and, occasionally, with epilepsia partialis continua. Generalized convulsive status epilepticus caused by NKH is rare. In this report, we present a case of a 68-year-old man who developed generalized convulsive status epilepticus as an initial manifestation of NKH. (Korean J Med 2011;81:508-511)

서 론

비케톤성 고혈당증(nonketotic hyperglycemia, NKH)은 심한 산증이나 케톤혈증 없이 고혈당, 고삼투압 및 탈수를 특징으로 하는 제2형 당뇨병의 급성 합병증이다. NKH는 임상적으로 경미한 경우부터 심한 고혈당과 탈수로 인해 사망률이 높은 고혈당성 고삼투압 증후군(hyperglycemic hyperosmoar syndrome, HHS)까지 다양한 임상상을 포함한다[1].

NKH 환자에게 다양한 양상의 경련발작이 동반될 수 있는데, 19-25%에서 경련발작이 동반되었으며 그중 대부분은 운동성 부분 발작(partial motor seizure) 또는 지속성 부분 간질 (epilepsia partialis continua)이었고, 전신 발작은 드물었다[2-6].

저자들은 NKH 환자의 첫 임상양상이 전신 경련성 간질 지속증(generalized convulsive status epilepticus)이었던 예를 경험하였기에 이를 문헌고찰과 함께 보고하는 바이다.

증 례

환 자: 68세, 남자

주 소: 경련발작

현병력: 평소 건강하게 지냈으나 내원 당일 갑자기 약 1시간 동안 의식의 회복 없이 3회의 연속적인 경련발작을 보여 응급실에 실려왔다. 경련은 전신 강직 간대 발작으로 약 10분간 지속되었고, 약 10분 간격으로 반복되었으며 경련 사이에 의식은 회복되지 않았다고 하였다. 최근 다음, 다뇨는 없었고 체중감소도 없었다.

과거력: 특이사항 없었다.

가족력: 특이사항 없었다.

진찰 소견: 응급실에서 측정한 혈압은 142/77 mmHg이었고 맥박 115회/분, 호흡수 22회/분, 체온 36℃이었다. 의식은 혼수상태였으며 신경학적 검사상 국소 신경학적 결손은 관찰되지 않았다. 흉부와 복부를 포함한 다른 부위의 신체 진찰에서 특이 소견은 없었다. 키 164.5 cm, 체중 65 kg, 체질량지수 24 kg/m2이었다.

검사 소견: 말초 혈액 검사에서 백혈구 14,200/mm3, 혈색소 15.0 g/dL, 혈소판 195,000/mm3이었고, 혈청 생화학 검사에서 혈액요소질소 13 mg/dL, 크레아티닌 1.0 mg/dL, 혈당 524 mg/dL, 총 단백 8.0 g/dL, 알부민 4.6 g/dL, 총 빌리루빈 0.8 mg/dL, AST 36 IU/L, ALT 23 IU/L, 알칼리인산분해효소 82 IU/L, 총 콜레스테롤 193 mg/dL이었다. 나트륨 138 mEq/L, 교정 나트륨(corrected sodium) 145 mEq/L, 칼륨 4.0 mEq/L, 클로라이드 96 mEq/L이었으며 C-반응성 단백질 0.1 mg/dL이었고, 혈청 케톤체는 음성이었다. 혈청 오스몰 농도는 323 mOsm/kg이었고, 당화혈색소는 11.7%이었다. 혈청 C-펩타이드는 0.61 ng/mL이었고, 항GAD 항체는 0.33 U/mL (참고치, 0-1)이었다. 동맥혈 가스검사상 pH 7.100, 동맥혈 탄산가스 분압 36.0 mmHg, 동맥혈 산소 분압 110 mmHg, 중탄산염 11.0 mmEq/L이었다. 소변검사에서 케톤체는 음성이었으나 요당은 3+이었다.

뇌파 검사: 뇌파 검사에서 특이 소견은 관찰되지 않았다.

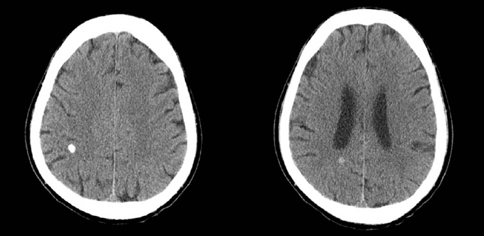
방사선 검사 소견: 뇌전산화 단층촬영에서 우 두정엽에 두 개의 석회화 병변이 관찰되었다(Fig. 1).

Figure 1.

Pre-enhancement computed tomography scan of the brain shows two high density lesions in the right parietal area.

치료 및 경과: 경련발작에 대해 lorazepam 2 mg을 정맥 투여했으며 이후 경련발작은 더 이상 발생하지 않았다. 혈당 조절을 위해 regular insulin 6 IU를 정맥 주사하고 이후 regular insulin 0.1 u/kg/hr을 정맥 주입하였으며 동시에 생리식염수를 이용한 수액치료도 병행하였다. 치료 시작 1시간 후 검사한 혈당은 225 mg/dL이었고, 약 4시간 후에는 환자의 의식이 명료해졌다. 입원하여 식사를 시작하면서 정맥 주입하던 인슐린을 피하 인슐린 치료로 변경하였고, 인슐린 치료를 3일정도 경과관찰 후 퇴원하였고, 외래에서 혈당 조절하면서 현재까지 경련발작은 없는 상태이다.

고 찰

간질 지속증은 일반적으로 일회성 경련발작이 30분 이상 지속되거나 반복적인 경련발작이 의식의 완전한 회복 없이 30분 이상 지속되는 것으로 정의할 수 있다[7]. 간질 지속증으로 인한 사망률은 약 20% 정도이고, 생존하더라도 많은 경우에서 인지기능의 저하가 발생하며 만성 간질로 이행할 가능성이 높다[8]. 간질 지속증의 가장 중요한 예후인자는 발생원인이며 성인에서 간질 지속증의 가장 흔한 원인은 간질 환자가 항경련제 복용을 중단한 경우이고, 그 외에 외상, 뇌혈관질환, 중추신경계 감염, 대사 장애 등이 관련되는 것으로 알려져 있다. 전체 간질 지속증의 4-13%가 대사 장애에 의한 것이며 대사 장애에 의한 간질 지속증은 예후가 불량한 것으로 알려져 있다[7,8].

NKH에 의한 경련발작은 Maccario 등[9]에 의해 1965년에 최초로 보고된 이후에 최근까지도 간헐적으로 보고되고 있으며 주로 운동성 부분 발작 또는 지속성 부분 간질의 형태로 발현하는 것으로 알려져 있다[2-6]. Tiamkao 등[6]은 경련 발작으로 발현한 NKH 환자 중 71.4%가 이전에 당뇨병을 진단받은 적이 없었으며 경련발작이 당뇨병의 첫 임상양상으로 발현했다고 보고하였다.

본 증례는 당뇨병의 병력이 없던 사람이 간질 지속증으로 내원하여 NKH를 진단 받은 경우로 본 증례와 같이 전신 경련성 간질 지속증으로 발현한 NKH는 보고된 것이 많지 않다. 국내에서는 유일하게 Lee 등[10]이 전신 경련성 간질 지속증으로 발현된 NKH 3예를 보고한 바 있다. 전신 경련성 간질 지속증을 일으킬 수 있는 원인으로 외상, 뇌혈관질환, 뇌종양, 중추신경계 감염 등이 있으나[8], 본 증례의 경우에는 이에 해당하는 병력, 임상상 혹은 검사 결과가 없었다. 뇌전산화 단층촬영에서 석회화 병변이 관찰되었지만 병변의 위치나 혈당 조절 이후에 경련 발작이 조절된 점으로 볼 때 본 증례의 경우 전신 경련성 간질 지속증의 원인이 NKH일 가능성이 가장 높다.

본 증례의 연령은 68세로 50세 이상에서 NKH와 연관된 지속성 부분 간질이 흔하다는 Singh 등[3]의 보고와 부합되었고, 응급실에서 측정한 혈당과 혈청 오스몰 농도가 각각 524 mg/dL, 323 mOsm/kg로 Tiamkao 등[6]이 NKH에 의한 경련발작 환자에서 보고한 혈당 290-1,104 mg/dL, 혈청 오스몰 농도 288-323 mOsm/kg와 비슷했다.

본 증례에서는 응급실에서 경련 발작이 중단된 직후 EEG를 시행하였고, 정상소견을 보였다. 다른 보고들에서는 경련 발작 중에 EEG를 시행한 경우 증상을 설명할 수 있는 발작파가 관찰되었고 발작 간기에는 본 증례에서와 같이 대부분 정상소견을 보였다[2-6,9,10].

NKH에 의해 발생하는 경련 발작의 병리생리적 기전은 아직 명확하게 밝혀지지 않았지만 여러 요인들이 관여할 것으로 생각되고 있다. 그중 특히 고혈당이 경련 발작의 발생에 중요한 역할을 할 것으로 생각되고 있는데, Schwechter 등[11]은 쥐를 이용한 실험에서 혈당을 상승시키면 경련발작을 유발할 수 있음을 보고하였다. 고혈당증이 경련발작을 일으키는 기전으로 뇌신경세포에서 삼투압 경사가 생기고 이로 인해 세포 내 탈수가 일어나 경련발작이 유발될 수 있다는 가설이 제시되고 있다[2]. 또한 고혈당증이 억제성 신경전달물질인 감마아미노부티르산(gamma-aminobutyric acid, GABA)의 대사를 증가시켜 GABA 농도를 낮춤으로써 경련발작의 역치를 낮춘다는 보고도 있다[12]. NKH와 달리 당뇨병성 케톤산증(diabetic ketoacidosis)은 경련발작을 잘 일으키지 않는데 이는 산증이 GABA의 생체이용률을 증가시킴으로 경련발작의 역치를 높이기 때문인 것으로 생각되고 있다[13]. 고혈당에 의한 경련 발작의 또 다른 기전으로 고혈당에 의한 삼투압 상승으로 인해 대뇌 혈류가 부분적으로 감소하고 이로 인한 경색이 경련 발작을 유발할 것이라는 가설도 제시되고 있다[14]. 또한 ATP-민감성 칼륨통로(ATP-sensitive potassium channel, KATP channel)가 NKH에 동반되는 경련 발작의 발생에 관여할 것이라는 보고도 있다[15,16]. 신경세포에도 KATP 통로가 존재하는데, 포도당 농도가 증가하면 세포 내 ATP 농도가 상승하여 KATP 통로가 폐쇄되면서 활동전위 생성이 증가하게 되고 그 결과 경련발작이 유발될 수 있다고 제시되었다[15,16].

간질 지속증의 일반적인 치료는 먼저 diazepam 또는 lorazepam을 정맥으로 반복해서 투여하는 것이며 이후에도 발작이 지속되면 phenytoin을 정맥으로 투여하는 것이다[7,8]. 만약 이러한 조치 이후에도 발작이 지속되면 난치성 간질 지속증에 해당되며 전신마취제인 midazolam, propofol, pentobarbital 중에 한 가지를 투여할 수 있다[7,8]. 약물치료와 동시에 간질 지속증의 원인을 찾기 위한 검사를 실시하며 근본적인 원인을 제거함으로써 경련 발작을 중지시키고 뇌손상과 사망률을 줄일 수 있다[7,8]. 대사 장애에 의한 경련발작은 항경련제에 반응이 좋지 않고 대사 장애가 교정된 후에야 조절되는 경향이 있다[18]. Phenytoin은 인슐린 작용을 억제하여 혈당을 높일 수 있다고 알려져 있어 전신 경련성 간질 지속증을 주소로 응급실에 내원한 환자에게 선행원인을 모르는 상태에서 응급치료로 우선 phenytoin을 투여할 경우 고혈당으로 인한 간질지속증을 악화시킬 위험성도 있다[17]. 본 증례에서는 응급실 내원 시 lorazepam을 사용했고 이후로 경련발작은 발생하지 않았으며 경련발작의 원인이 NKH일 가능성이 높다고 판단되어 phenytoin 등의 항경련제는 사용하지 않았다.

최근 Tiamkao 등[18]은 NKH에 동반된 경련 발작의 경우 혈당을 낮추기 위한 치료 전에 경련발작의 횟수가 많을수록 치료 후 경련발작이 조절되는데 소요되는 시간이 증가함을 보고하였고, Huang 등[19]은 혈당 조절이 부적절한 환자들에게서 경련 발작의 중증도가 높고 재발률이 증가함을 보고하였다. 이는 NKH에 동반되는 경련 발작의 경우 고혈당의 빠른 인지 및 신속하고 적극적인 혈당 조절이 매우 중요함을 시사한다. 본 증례와 같이 간질 지속증으로 내원한 환자의 경우, 특히 고령이면서 고혈당을 보이는 경우에는 그 원인으로 NKH를 반드시 감별해야 하며, 고혈당의 신속하고 적극적인 교정 및 항경련제 사용에 대한 주의가 필요하다.

References

1. Kitabchi AE, Umpierrez GE, Miles JM, Fisher JN. Hyperglycemic crises in adult patients with diabetes. Diabetes Care 2009;32:1335–1343.
2. Singh BM, Gupta DR, Strobos RJ. Nonketotic hyperglycemia and epilepsia partialis continua. Arch Neurol 1973;29:187–190.
3. Singh BM, Strobos RJ. Epilepsia partialis continua associated with nonketotic hyperglycemia: clinical and biochemical profile of 21 patients. Ann Neurol 1980;8:155–160.
4. Loeb JN. The hyperosmolar state. N Engl J Med 1974;290:1184–1187.
5. Hennis A, Corbin D, Fraser H. Focal seizures and non-ketotic hyperglycaemia. J Neurol Neurosurg Psychiatry 1992;55:195–197.
6. Tiamkao S, Pratipanawatr T, Tiamkao S, Nitinavakarn B, Chotmongkol V, Jitpimolmard S. Seizures in nonketotic hyperglycaemia. Seizure 2003;12:409–410.
7. Bassin S, Smith TL, Bleck TP. Clinical review: status epilepticus. Crit Care 2002;6:137–142.
8. Lee SJ. Status epilepticus: recent updates. J Neurocrit Care 2008;1:111–116.
9. Maccario M, Messis CP, Vastola EF. Focal seizures as a manifestation of hyperglycemia without ketoacidosis: a report of seven cases with review of literature. Neurology 1965;15:195–206.
10. Lee JS, Kim JS, Kim KW, Ha JS, Ha CK, Lim BH. Three cases of generalized convulisive status epilipticus: as initial symptom of nonketotic hyperglycemia. J Korea Neurol Assoc 1994;12:740–747.
11. Schwechter EM, Velísková J, Velísek L. Correlation between extracellular glucose and seizure susceptibility in adult rats. Ann Neurol 2003;53:91–101.
12. Guisado R, Arieff AI. Neurologic manifestations of diabetic comas: correlation with biochemical alterations in the brain. Metabolism 1975;24:665–679.
13. Roberts E, Rothstein M, Baxter CF. Some metabolic studies of gamma aminobutyric acid. Proc Soc Exp Biol Med 1958;97:796–802.
14. Duckrow RB, Beard DC, Brennan RW. Regional cerebral blood flow decreases during hyperglycemia. Ann Neurol 1985;17:267–272.
15. Yamada K, Ji JJ, Yuan H, Miki T, et al. Protective role of ATP-sensitive potassium channels in hypoxia-induced generalized seizure. Science 2001;292:1543–1546.
16. Huang CW, Huang CC, Cheng JT, Tsai JJ, Wu SN. Glucose and hippocampal neuronal excitability: role of ATP-sensitive potassium channels. J Neurosci Res 2007;85:1468–1477.
17. Harden CL, Rosenbaum DH, Daras M. Hyperglycemia presenting with occipital seizures. Epilepsia 1991;32:215–220.
18. Tiamkao S, Janon C, Sawanyawisuth K, Pratipanawatr T, Jitpimolmard S. Prediction of seizure control in non-ketotic hyperglycemic induced seizures. BMC Neurol 2009;9:61.
19. Huang CW, Tsai JJ, Ou HY, et al. Diabetic hyperglycemia is associated with the severity of epileptic seizures in adults. Epilepsy Res 2008;79:71–77.

Article information Continued

Figure 1.

Pre-enhancement computed tomography scan of the brain shows two high density lesions in the right parietal area.