직장-S상 결장접합부 거대 궤양을 통해 진단된 전신홍반 루푸스 1예

A Case of Systemic Lupus Erythematosus Presenting as a Large Rectosigmoid Ulcer

Article information

Korean J Med. 2012;82(2):252-256
Publication date (electronic) : 2012 February 1
doi : https://doi.org/10.3904/kjm.2012.82.2.252
1Divisions of Rheumatology, Department of Internal Medicine, Korea University Medical Center, Korea University College of Medicine, Seoul, Korea
2Divisions of Gastroenterology, Department of Internal Medicine, Korea University Medical Center, Korea University College of Medicine, Seoul, Korea
유인경1, 유서희1, 최성재1, 구자설2, 이영호1, 지종대1, 송관규1
1고려대학교 의과대학 류마티스내과
2고려대학교 의과대학 소화기내과
Correspondence to Sungjae Choi, M.D. Division of Rheumatology, Department of Internal Medicine, Korea University Medical Center, 73 Inchon-ro, Seongbuk-gu, Seoul 136-705, Korea Tel: +82-31-412-6760, Fax: +82-31-412-5984, E-mail: csjmd888@korea.ac.kr
Received 2011 July 22; Revised 2011 August 4; Accepted 2011 September 14.

Abstract

저자들은 비특이적인 위장 증상으로 내원한 전신홍반루푸스 환자에서 S상결장 부위의 부분-완전 폐색을 동반한 커다란 직장궤양을 발견하였고, 기저 질환으로 루푸스를 진단하고 경구스테로이드 치료로 호전되었기에 이를 보고하는 바이다.

Trans Abstract

Systemic lupus erythematosus (SLE) is a multi-system inflammatory disorder that has many symptoms. Gastrointestinal symptoms are common, while colonic involvement in the form of ischemic colitis or a colonic ulcer is rare in SLE. The differential diagnosis of ischemic proctitis with ulceration includes an infected ulcer, ulcerative colitis, Crohn’s disease, solitary rectal ulcer colitis, malignant tumor, and lupus colitis. Here, we report a 22-year-old male with abdominal pain and diarrhea, who had a huge rectal ulcer that nearly obstructed the rectosigmoid junction. This turned out to be a rare gastrointestinal manifestation of lupus. He recovered after being treated with high-dose oral steroids. Our case demonstrates that a rectal ulcer is a rare, but important, complication of SLE and can be the initial clinical manifestation of the disease. (Korean J Med 2012;82:252-256)

서 론

전신홍반루푸스(이하 루푸스)는 주로 가임기 여성을 포함한 젊은 나이에 발병하는 자가면역성 질환이다. 루푸스는 신장, 중추신경계, 심장, 폐 등을 침범하여 생명을 위협하는 심각한 합병증을 일으킬 수 있다[1,2]. 위장관계 증상은 50%에서 동반될 정도로 비교적 흔하게 나타나지만 비특이적이어서 루푸스가 위장관계 증상을 통하여 진단되는 경우는 드물다[3]. 이 중 허혈성 장염은 루푸스에서 드물게 나타나는데 특히 직장궤양과 동반된 허혈성 장염의 경우는 세계적으로도 아직 보고된 건수가 적고, 국내에서는 기존 루푸스 환자에서 직장 궤양이 동반된 경우는 보고된 적이 있으나 단일 직장 궤양을 통해 루푸스가 진단된 증례가 없어서 이를 보고하는 바이다.

본 증례는 하복부 통증, 만성변비와 설사를 주소로 내원한 젊은 남자에서 직장-S상결장접합부가 거의 폐색될 정도로 커다란 직장궤양을 통해 발견한 전신홍반루푸스의 예이다.

증 례

환 자: 우○○, 남자, 22세

주 소: 하복부 통증과 설사

현병력: 환자는 내원 1년 전 군복무 중 변비악화, 복통, 혈변 증세가 있어 타 병원에서 대장내시경(맹장까지)을 시행하였고 비특이적 직장염, 고립성 직장궤양 증후군(조직검사상 대장염 소견)을 진단받았다. 내원 4개월 전 약 40일간 미국 여행기간 동안 설사와 변비가 반복되었고 내원 3개월 전부터 하복부 통증과 만성변비 및 설사(소량씩, 가늘고 작은 변, 30분-1시간 간격, 하루 40여 회 정도)증세 지속되어 타병원에서 시행한 S상결장경검사, 복부 컴퓨터단층촬영에서 궤양성 대장염을 비롯한 염증성 장질환이 의심되어 본원으로 전원되었다.

과거력: 환자는 광과민증이 있었으며 내원 2개월 전에는 배뇨통으로 비뇨기과에서 요도염 치료(항생제 2주)를 받았으나 성관계의 과거력은 부인하였다.

가족력: 아버지가 베체트병으로 치료받고 있었다.

이학적 소견: 내원 시 체온 37.9℃로 열이 있었으며, 맥박수 분당 90회, 호흡수 분당 20회, 혈압은 104/79 mmHg였다. 양측의 뺨 위에 융기된 고정된 홍반이 관찰되었다. 탈모증상이 관찰되었으나 관절염이나 손가락/발가락 끝의 색깔변화 및 구강궤양이나 홍반성 결절은 보이지 않았다. 그밖에 구강 궤양, 성기부 궤양은 관찰되지 않았으며 안과적 검사상 포도막염 소견은 없었다. 장음은 정상이었으며 배꼽 아래로 경한 압통 외에 간비종대나 촉지되는 림프절은 없었다.

검사실 소견: 말초 혈액 검사에서 백혈구 7,150/mm3(림프구 386/mm3, 참고치 4,100-10,700), 혈색소 11.3 g/dL (참고치 13.8-17.0), 혈소판 356,000/mm3 (참고치 150,000-400,000)이었다. 생화학 검사에서 나트륨 136.8 mEq/L (참고치 133-146), 칼륨 3.47 mEq/L (참고치 3.4-5.3), 총 단백 7.7 g/dL (참고치 6.0-8.2), 알부민 3.7 g/dL (참고치 3.2-5.4), AST 31 IU/L (참고치 0-50), ALT 17 IU/L (참고치 0-16), BUN 8 mg/dL (참고치 3-24), 크레아티닌 0.7 mg/dL (참고치 0.3-1.6), 총 빌리루빈 1.0 mg/dL (참고치 0.0-1.6), 칼슘 9.1 mg/dL (참고치 8.4-10.3), 인 3.9 mg/dL (참고치 2.5-4.8)였다.

면역학적 검사에서는 적혈구 침강 속도 > 120 mm/hr (참고치 0-9), C 반응 단백 6.987 mg/dL (참고치 0.02-0.3), 항핵항체 양성(speckled patten, 1:160), anti-ds-DNA 225.6 IU/L (참고치 0-5.3)로 증가되어 있었다. Anti-extractable nuclearantigen antibody profile 결과는 anti-nuclear ribonucleoprotein/Smith (+++), anti-Smith (+), anti-Ro (++), anti-double strand DNA (+++), anti-nucleosome (+), anti-histone (+)로 양성이었다. 혈청 C3 90.4 mg/dL (참고치 79-152), C4 16.7 mg/dL (참고치 16-38)는 정상이었다. 항cardiolipin 항체 IgM 및 IgG, lupus anticoagulant 및 항HIV 항체 모두 음성이었다.

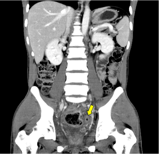
방사선학적 소견: 단순 복부 방사선 사진에서 특이소견 없었고, 복부 전산화단층촬영에서 직장벽이 두꺼워져 있었으며 직장-S상결장접합부에 협착이 있으면서 그 위로 장이 확장되어 있었다. 직장-S상결장접합부 하부로는 염증소견이 있으면서 조영증강된 장벽(target sign)이 보였다(Fig. 1). 그밖에 대동맥주위 림프절이 커져 있었으며 다른 특이소견은 관찰되지 않았다.

Figure 1.

Abdomen and pelvic computed tomography (CT) [coronal view] shows dilation of the proximal rectosigmoid junction and the target sign, which reflects the near-total obstruction caused by the inflamed bowel (arrow).

내시경 및 위장관 영상 소견: S상결장 검사에서 직장 S상결장 접합부위 협착 및 1시 방향으로 큰 궤양과 황갈색 삼출물 소견(Fig. 2)이 보였다. 바륨검사에서는 협착부 위로 커다란 궤양이 보였으며, 협착부 아래로는 허혈성 장염에서 보이는 엄지손가락으로 눌린 듯한 모양(thumb-printing)이 보였다(Fig. 3). 그러나 크론병을 시사하는 선상 궤양, 장간막면의 단축 등의 소견은 없었다.

Figure 2.

Colonoscopy shows a large ulcer and stricture at the rectosigmoid junction.

Figure 3.

A barium study shows a large ulcer (arrowhead) and thumb printing (arrow) at the rectosigmoid junction.

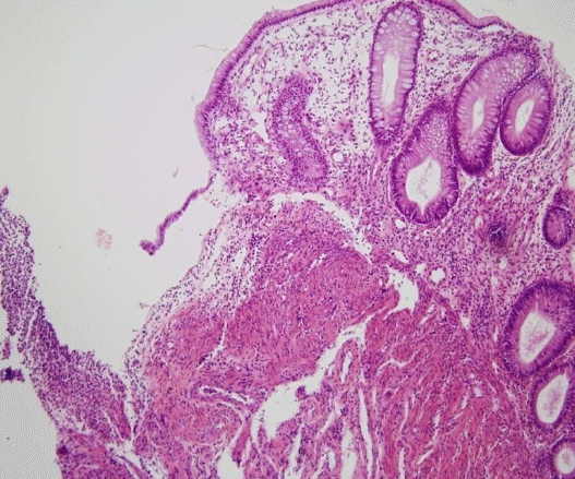
조직 검사 소견: 직장 조직 검사에서 만성 염증소견과 림프구의 침윤을 보였고(Fig. 4), 움농양(crypt abscess) 및 육아종 소견은 보이지 않았다. 조직에서 시행한 항산균 염색 및 결핵균 특이 중합효소연쇄반응은 음성이었고 거대세포바이러스에 대한 면역화학조직 염색도 음성이었다.

Figure 4.

Colonoscopic rectal biopsy shows findings compatible with chronic proctitis with a lymphoid aggregate (H&E stain, ×100).

치료 및 경과: 본 증례에서 나타난 거대 직장 궤양은 조직검사에서 기저질환으로 추측되는 크론병, 궤양성 대장염, 장결핵 등의 특이소견이 보이지 않은 비특이적 궤양으로, 환자의 임상상 뺨의 발진, 탈모증상, 광과민성을 보였으며 면역혈청 검사에서 항핵항체(+), anti-ds DNA 양성으로 나타나 루푸스의 허혈성 장궤양으로 진단하였다. 보통 루푸스의 장침범은 루푸스의 활성도가 증가할 때 잘 나타난다고 알려져 있는데 본 증례에서 SLEDAI는 13/105로 활동성 루푸스를 나타내었다.

치료는 스테로이드(prednisolone 30 mg qd)를 경구로 투여 시작하였고, 항말라리아제(hydroxychloroquine)도 병행하였다. 투약 5일 후부터 발열 및 복통 등의 증상이 호전되었고 변의 굵기, 길이, 횟수 등도 회복추세였다. 최종적으로 환자 증상악화 방지 위해 식이교육 진행하였으며, 자극적 음식 및 배변 양상 악화 유발 음식에 대해서 섭취 피하고, 증상악화 시에는 응급실 내원하도록 교육하였다.

퇴원 후 외래에서 S-상결장내시경을 시행하여 직장부위의 병변 변화를 관찰한 결과, 협착부위의 크기와 커다란 궤양소견이 크게 호전되었음을 볼 수 있었다.

고 찰

본 증례는 거대 고립성 직장궤양 증후군을 진단받은 남성이 지속적으로 재발하는 혈변성 설사 및 변비, 하복부 통증을 주소로 내원하여 발견한 직장 궤양의 기저 질환을 찾는 도중 루푸스를 의심하여 치료하였다는 점에서 의의가 있다. 직장염의 다른 원인으로는 루푸스 장염 이외에도 궤양 직장염, 크론병, 창자침투성세균, 거대세포 바이러스, 성매개 질환에 의한 감염과 비소염성 스테로이드 등을 흔히 생각해 볼 수 있다[4]. 본 증례에서는 내시경 소견상 염증성 장 질환은 배제하였고 조직검사에서도 거대세포바이러스 감염에 합당한 소견이 없었으며, 비스테로이드 항염증제는 복용하지 않았기에 약제 관련성은 없었다고 보고, 드물지만 환자의 임상상과 면역혈청 검사 결과를 참고하여 직장염의 또 다른 원인의 하나로 루푸스를 의심하였다. 남자에서 루푸스의 발생이 드물고, 직장의 허혈성 궤양이 흔치 않아 만약 진단이 늦어졌다면, 다른 장기의 침범 및 생명이 위험하거나 수술적 치료까지 갈 수도 있었던 경우이다[2].

루푸스 환자에서 허혈성 장염이 발생하는 것은 0.2%로 매우 드물며[5] 그 기전은 면역복합체가 장간막 동맥이나 장점막하 혈관에 침착되어 장간막 혈관염을 일으키고 혈류량이 감소하여 장 허혈이 생기는 것이다. 장관 허혈이 심하지 않은 경우에는 복통만을 초래하지만 심하면 궤양, 출혈, 장천공까지 초래할 수 있다[6].

사실 허혈성 장염에서 주 침범부위는 상장간막 동맥의 공급을 받는 공장과 회장이며, 직장은 측부순환이 매우 잘 발달되어 있어서 허혈성 장염의 드문 부위로 알려져 있다[7]. 소수의 증례로, 2011년 Chattopadhyay 등[8]은 혈변을 주소로 내원하여 커다란 직장궤양을 통해 루푸스가 진단된 여성의 일례를 보고하였고 국내에서는 상부 소장에서부터 직장에 이르는 광범위한 장침범이 한 건 보고된 적이 있었다[7].

2009년 Ju 등[9]은 루푸스 환자의 장간막 혈관염 리뷰에서 장간막 혈관염이 복통, 구토, 소화불량, 설사, 혈변 등 증상이 비특이적으로 다양하게 나타나지만 장경색 및 장 천공으로 생명에 지장을 줄 정도로 위험해질 수 있고 스테로이드를 비롯한 이른 면역억제제 치료가 효과있다고 말하고 있다.

대장내시경 소견을 보면, 루푸스 장염은 장점막의 부종과 궤양이 나타나며 혈관염이 관찰된다. 복부전산화단층 촬영소견에서는 다른 원인의 허혈성 장질환과 유사하게 나타나는데 장벽의 비후 소견과 thumb printing, double halo, target sign이 나타날 수 있다[4].

본 증례를 통하여, 앞으로 반복되는 복통이나 혈변의 비특이적 증상을 보이는 환자를 진단 시에는 기저에 자가 면역 질환이 있을 수 있다는 사실도 염두에 두어 기저 질환 발견에 최선을 다하는 것이 중요하겠다.

References

1. Ahn JK. Clinical manifestations and diagnosis of systemic lupus erythematosus. Korean J Med 2010;78:409–415.
2. Juvonen T, Niemelä O, Reinilä A, Nissinen J, Kairaluoma MI. Spontaneous intraabdominal haemorrhage caused by segmental mediolytic arteritis in a patient with systemic lupus erythematosus: an underestimated entity of autoimmune origin? Eur J Vasc Surg 1994;8:96–100.
3. Sultan SM, Ioannou Y, Isenberg DA. A review of gastrointestinal manifestations of systemic lupus erythematosus. Rheumatology (Oxford) 1999;38:917–932.
4. Lee KA, Bae SC, Bang SY, et al. A case of systemic lupus erythematosus patient with ulcerative colitis. J Korean Rheum Assoc 2008;15:328–331.
5. Lee JR, Paik CN, Kim JD, Chung WC, Lee KM, Yang JM. Ischemic colitis associated with intestinal vasculitis: histological proof in systemic lupus erythematosus. World J Gastroenterol 2008;14:3591–3593.
6. Hiraishi H, Konishi T, Ota S, Shimada T, Terano A, Sugimoto T. Massive gastrointestinal hemorrhage in systemic lupus erythematosus: successful treatment with corticosteroid pulse therapy. Am J Gastroenterol 1999;94:3349–3353.
7. Kim DH, Na HJ, Choi YR, et al. A case of extensive involvement of lupus enteritis, from small bowel to rectum. J Korean Rheum Assoc 2007;14:274–278.
8. Chattopadhyay P, Abby Philips C, Dhua D, Saha S. Systemic lupus erythematosus presenting as ischaemic proctitis. Lupus 2011;20:653–655.
9. Ju JH, Min JK, Jung CK, et al. Lupus mesenteric vasculitis can cause acute abdominal pain in patients with SLE. Nat Rev Rheumatol 2009;5:273–281.

Article information Continued

Figure 1.

Abdomen and pelvic computed tomography (CT) [coronal view] shows dilation of the proximal rectosigmoid junction and the target sign, which reflects the near-total obstruction caused by the inflamed bowel (arrow).

Figure 2.

Colonoscopy shows a large ulcer and stricture at the rectosigmoid junction.

Figure 3.

A barium study shows a large ulcer (arrowhead) and thumb printing (arrow) at the rectosigmoid junction.

Figure 4.

Colonoscopic rectal biopsy shows findings compatible with chronic proctitis with a lymphoid aggregate (H&E stain, ×100).