서 론
복막 투석은 혈액 투석과 달리 지속적으로 수분을 제거함으로써 투석간의 저혈압 발생이 적어 혈역동학적으로 안정하며, 이로 인해 잔여 신기능이 더 잘 보존된다고 알려져 있다[1]. 복막 투석을 위한 도관 삽입 방법으로는 개복 없이 Tenckhoff 트로카 또는 유도 철사를 사용하는 맹시술법과 개복 수술을 통한 외과적 삽입법이 있으며, 그리고 복강경을 이용한 삽입법이 있다. 이 중 맹시술법은 요구되는 장비 및 비용이 적고, 국소 마취를 통해 시술이 가능하므로 마취의 위험을 최소화할 수 있고, 외과적 삽입법에 비해 감염으로 인한 도관 제거율이 낮은 장점이 있다. 그러나 트로카 사용으로 복벽에 비교적 큰 구멍을 내어 초기 투석액 누출의 빈도가 높고, 도관의 위치가 잘못되어 배액이 안 되는 경우가 좀 더 많은 것으로 알려져 있다[2]. 이러한 도관 삽입과 관련된 합병증으로 투석 도관 삽입 시 복강 내 출혈, 피하 출혈, 장천공, 장마비, 출구 감염, 투석액의 누출, 전위 및 복막염 등이 있다[3]. 저자들은 맹시술법으로 복막 투석을 위한 도관 삽입 후 방광 천자가 발생된 환자에서 보존적 치료로 완치된 예를 경험하였기에 문헌고찰과 함께 보고하는 바이다.
증 례
환 자: 남자, 63세
주 소: 복막 도관 삽입술 위해 입원
현병력: 1년 전 방실 접합부 이탈율동에 의한 심인성 실신으로 입원 치료하였으며, 당시 혈압 저하에 따른 허혈성 급성 신손상이 발생하여 응급 혈액투석을 시행받았다. 이후 1년 동안 신기능이 회복되지 않아 말기 신질환으로 복막 투석을 위한 도관 삽입을 위해 입원하였다.
과거력: 10년 전 고혈압, 당뇨병을 진단받은 후 항고혈압제와 경구 혈당 강하제 복용 및 인슐린 주사를 투여하고 있었고, 5년 전 급성 심근 경색으로 관상동맥 우회로 이식술을 하였다.
가족력: 특이 사항은 없었다.
진찰 소견: 입원 당시 혈압은 130/80 mmHg, 맥박은 분당 72회, 호흡수는 분당 20회, 체온은 36.4℃였으며 비교적 건강하였고 의식은 명료하였다. 결막 충혈 및 공막 황달은 관찰되지 않았고 경부에서 촉지되는 종물은 없었다. 흉부 청진에서 악설음, 천명음은 들리지 않았으며 심음은 규칙적이었다. 복부 청진에서 정상적인 장음이 들렸고, 복부 촉진에서 동통 및 반사통은 없었으며 종괴도 만져지지 않았다. 하지에 함몰부종 및 점상 출혈은 없었다.
검사실 소견: 입원 당시의 말초 혈액검사에서 백혈구 5,010/mm3, 혈색소 10.5 g/dL, 혈소판은 173,000/mm3이었다. 생화학 검사에서 BUN 54.85 mg/dL, creatinine 5.14 mg/dL, sodium 131 mEq/L, potassium 5.1 mEq/L, chloride 105 mEq/L, AST 15 U/L, ALT 16 U/L, 총 빌리루빈0.44 mg/dL, 직접 빌리루빈 0.14 mg/dL, 알부민 3.71 g/dL이었다.
방사선 소견: 신장 초음파에서 양측 신장의 크기는 정상이었으며 수신증 등의 이상 소견은 관찰되지 않았다. 전신 골주사 검사에서 양쪽 신장의 방사성 핵종의 섭취 감소 및 연부 조직의 섭취 증가 소견을 보였다.
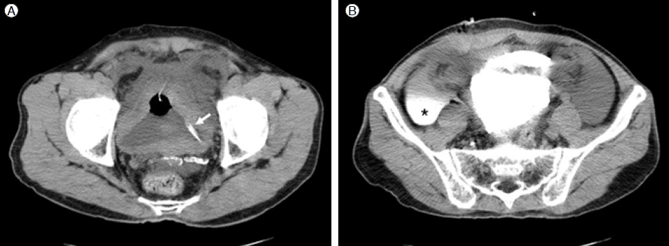
치료 및 경과: 수술 전 처치로 8시간 동안 금식을 하였으며 수술 직전 배뇨를 하였다. 수술은 국소 마취로 개복 없이 Tenckhoff 트로카를 사용하여 정중 절개법으로 시행하였다. 수술 후 환자가 자가 배뇨를 하지 못하여 도뇨관을 삽입하였다. 복강 내 세척을 위해 투석액 주입 및 배액을 반복하던 중 배액량이 적고, 도뇨관으로 투석액이 배액되는 것이 관찰되어 수술 중 방광 천자가 의심되었다. 방광 조영술을 병행한 컴퓨터 단층 촬영술(retrograde CT cystography)에서는 복막 투석 도관의 일부가 방광 내에 위치하고, 도뇨관을 통해 주입한 조영제가 복강 내로 유출되는 것을 확인하였다(Fig. 1). 이후 30분 뒤 재수술을 시행하여 방광 내로 삽입된 복막 도관을 제거하고, 도뇨관의 유지와 예방적 항생제 사용 등의 보존적 치료를 하였다. 소변량은 매일 1.5-2 L 정도로 유지되었고 발열이나 복통 등의 증상은 없었다. 일주일 후 신대치 요법을 위해 속목정맥 도관을 이용하여 혈액 투석을 시행하였다. 도뇨관 유치 후 14일째 역행성 방광 조영술을 실시하여(Fig. 2) 조영제의 유출이 없음과 방광 내벽의 무결성이 확인되어 도뇨관을 제거하였다. 이후 동정맥루 수술 후 퇴원하여 현재 주 3회 혈액 투석 시행 중이다.
고 찰
복막 투석은 1980년대 초 국내에 시행된 이후 지속적으로 증가하여 2009년 현재 국내에서 신대치 요법을 받는 환자의 13.5%인 7,600여 명이 복막 투석을 시행 중이다[4]. 복막 투석의 성공적인 수행을 위해서 반영구적인 복막 도관의 삽입이 필수적이며, 따라서 장기간 도관 관련 합병증 없이 기능이 잘 유지되도록 복강 내에 도관을 장착시키는 것이 무엇보다 중요하다. 도관 삽입과 관련된 합병증으로 장천공, 출혈, 출구 감염, 투석액 누출, 전위 및 복막염 등이 있고, 장천공은 1% 미만의 환자에서 드물게 발생한다고 보고되어 있다[3]. 방광 천공은 아주 드물게 발생할 수 있으나, 국내에서 보고된 증례는 없다.
방광은 해부학적으로 골반강 내에 깊숙이 위치하고 있어 외부적 충격에 의해 손상을 잘 받지 않으나, 소변이 충만되면 방광이 치골 상부로 팽창되고 방광벽도 얇아져 아랫배 외상 시 손상받기 쉽다. 방광 손상의 원인을 보면 크게 둔상과 관통상으로 나누며, 둔상은 교통사고, 하복부 타박, 추락, 운동에 의한 것이고, 관통상은 총기사고, 칼이나 예리한 흉기에 의한 경우이다. 그 외 의인성으로 부인과적 수술, 분만, 외과적 수술과 경요도적 기계적 조작에 의한 것이나 자발성 파열 등이다[5]. 방광 손상을 파열 위치에 따라 복막내 파열과 복막외 파열로 나눈다. 복막내 파열의 경우, 요누출에 의한 화학적 복막염의 합병증 때문에 즉각적인 수술이 필수적이나, 복막외 파열의 경우, 손상의 정도에 따라 수술적 혹은 보존적 치료법을 결정한다. Corriere 등은 복막외 파열의 경우에 수술을 시행하지 않고 도뇨관 유지만으로 합병증 없이 치유함을 보고하였고[6], 국내에서도 교통사고로 인한 골반골절과 동반된 복막외 방광 파열에서 비수술적 치료로 자연 치유의 증례가 보고되었다. 수술적 치료가 필요한 타 장기 손상이 없고, 출혈이 심하지 않은 복막외 파열의 경우에, 도뇨관을 통한 요배출로 파열부위의 자연 회복을 유도하는 보존적인 치료가 우선 선택되고 있다. 복막내 파열의 경우에 복막 안으로 유출된 소변에 의한 복막 자극 증상과 급성 복막염이 유발되면 손상의 크기에 관계 없이 개복술을 시행하여 방광 일차 봉합 및 두덩위 방광 창냄술(suprapubic cystostomy)을 시행하는 것이 일반적인 치료법으로 여겨져 왔다. 그러나 방광암 환자에서 경요도적 절제술 중 발생한 복막내 방광 파열을 절제경을 통한 복강 내 도뇨관 삽입으로 성공적으로 치료한 사례가 보고되었고[7], 또 다른 연구에서 경요도적 절제술 중 복막내 방광 파열이 발생된 3명의 환자를 치료한 결과, 복강 내 도뇨관 삽입을 통한 보존적 치료가 개복술의 대안으로 안전한 치료법이며, 추가적인 마취의 위험성을 피할 수 있는 장점을 보고하였다[8]. 자궁 적출술 후 다음날 도뇨관을 제거한 뒤 발열, 복통, 크레아티닌 상승 등의 소견으로 진단된 복막내 방광 파열을, 도뇨관 삽입 및 항생제 사용의 보존적 치료로 치유한 사례도 있다[9]. 따라서 본 증례와 같이 복막내 파열의 경우라도 파열 부위가 작고, 복막염이나 패혈증의 증상이 없다면 보존적인 치료를 고려할 수 있겠다. 그러나 장천공 등의 합병증이 같이 있을 경우라면 개복술을 시행하는 것이 원칙이며, 보존적 치료하면서 경과관찰 중 발열이나 복통 등의 복막염의 증상이 있다면 개복술을 통한 일차 봉합을 시행하여야 한다.
복막 도관 삽입술 시 방광 손상을 예방하기 위하여 수술 직전 배뇨를 시켜 방광 용적을 축소시킨 후 수술을 시행하며, 방광은 골반강내 깊숙이 위치하고 있어 일반적으로 맹시술법으로 방광 천자가 되지 않는다. 그러나 본 환자 증례와 같이 당뇨병으로 인한 신경인성 방광으로 방광의 배출 기능이 감소되고, 잔뇨량이 증가된 상태에서는 방광이 치골 상부로 팽창될 수 있어 일반적인 위치(배꼽에서 3 cm 가량 밑)에서 삽입에도 방광 손상이 발생하였다. 당뇨병 환자는 방광의 팽창을 감각 신경이 부적절하게 인지하거나 척수 반사의 이상으로 배뇨근과 요도 괄약근의 어느 한쪽 혹은 양쪽의 수축이 지연되어 조화를 이루지 못함으로 신경인성 방광이 동반될 수 있고, 이로 인해 배뇨 곤란, 배뇨전 긴박감, 불완전한 배뇨감, 요실금 및 요류 약화 등의 자각적 증상과 요 저류 및 빈번한 잠행성 비뇨기계 감염 등의 비자각적 증상이 생길 수 있다. 따라서 당뇨병성 신증 환자에서 신경인성 방광이 의심되는 경우라면 도뇨관 삽입 후 복막 도관 삽입 수술을 시행하는 것이 방광 천자의 위험성을 줄일 수 있을 것으로 생각한다[10].


PDF Links
PubReader
ePub Link
Full text via DOI
Download Citation
Print






