피부근염에서 발생한 국소분절사구체경화증 환자 1예

A Case of Dermatomyositis with Focal Segmental Glomerulosclerosis

Article information

Korean J Med. 2012;83(6):828-831
Publication date (electronic) : 2012 December 1
doi : https://doi.org/10.3904/kjm.2012.83.6.828
1Department of Internal Medicine, Sanggye Paik Hospital, Inje University College of Medicine, Seoul, Korea
2Department of Pathology, Sanggye Paik Hospital, Inje University College of Medicine, Seoul, Korea
유성인1, 김민희1, 장효정1, 김상현1, 박원도1, 한성훈1, 김현정2
1인제대학교 의과대학 상계백병원 내과
2인제대학교 의과대학 상계백병원 병리과
Correspondence to Seong Hoon Han, M.D.   Departments of Internal Medicine, Sanggye Paik Hospital, Inje University College of Medicine, 1342 Dongil-ro, Nowon-gu, Seoul 139-707, Korea   Tel: +82-2-950-8830, Fax: +82-2-3392-1013, E-mail: shan@paik.ac.kr
Received 2012 May 2; Revised 2012 May 16; Accepted 2012 June 11.

Abstract

피부근염에서 신장병변이 나타나는 경우는 주로 횡문근 융해로 인한 세뇨관 문제이며 드물게 사구체신염이 나타날 수 있다. 저자들은 국내에 보고된 바 없는 피부근염에 동반된 국소분절사구체경화증을 경험하였기에 문헌고찰과 함께 보고하는 바이다.

Trans Abstract

A 59-year-old man visited our hospital for facial edema and muscle weakness in both lower extremities. He was diagnosed with dermatomyositis (DM) about 1 year previously, and sudden development of proteinuria was noted. Renal biopsy revealed focal global and segmental glomerulosclerosis with slight mesangial expansion. Glomerulonephritis is rare in DM. According to our review of related literature, membranous nephropathy is the main type of DM, while mesangial proliferative glomerulonephritis is the most common type in polymyositis. The mechanism underlying the association between DM and glomerulonephritis remains to be elucidated. We herein report a case of DM associated with focal segmental glomerulosclerosis, which has not been reported previously. (Korean J Med 2012;83:828-831)

서 론

피부근염은 근위부 근육 침범과 특징적인 피부 병변을 나타내는 자가면역 질환으로서 다섯 가지의 진단 기준이 있다. 이에는 진행성 근위부 근육의 대칭적인 약화, 근효소 수치의 상승, 근전도 검사의 이상소견, 근생검 소견, 특징적인 피부 병변이 해당 된다. 피부근염 환자에서 신장병변이 나타나는 경우는 흔하지 않지만, 대개는 미오글로빈혈증으로 인한 급성 요세관괴사를 보이며, 사구체신염을 보이는 경우는 매우 드물다. 저자들은 피부근염 환자에서 동반된 국소분절사구체경화증 1예를 경험하였기에 보고하는 바이다.

증 례

환 자: 59세, 남자

주 소: 얼굴 부종, 양측 근위부 상하지 위약감

현병력: 59세 남자 환자로 2010년 10월 피부근염으로 진단받고 외래 추적관찰하며 프레드니솔론을 감량하던 중에 2011년 9월 초부터 다시 얼굴 부종, 양측 근위부 상지와 하지의 위약감이 발생하였고 계단 오르기가 힘들다고 호소하며 외래를 방문하였다.

과거력: 2010년 10월 양측 하지의 위약감과 양측 눈꺼풀의 부종을 동반한 연보라 발진(heliotrope rash)으로 병원을 방문하였다. 혈액내 CK 7,465 U/L, myoglobin 1,726 ng/mL, LDH 1,537 U, ANA 양성(2,560X, homogenous pattern)이었고 소변검사에서 단백뇨는 없었다. 우측 근위 대퇴직근에서 시행한 근육 조직검사로 피부근염으로 진단 후 steroid, methotrexate, azathioprine으로 약물치료를 하였고, 치료 2개월 후 CK 수치는 146 U/L로 정상범위로 감소하였고 근력은 정상이었다.

가족력: 특이 사항 없었다.

사회력: 운전직, 음주와 흡연은 하지 않았다.

이학적 소견: 내원 당시 환자는 만성 병색을 보였으며, 혈압 110/70 mmHg, 맥박수 84회/분, 호흡수 20회/분, 체온 37.1℃였다. 흉부 청진상 심음 및 폐호흡음은 정상이었으며, 복부촉진상 간과 비장은 촉지되지 않았고 함요부종은 없었다. 양측 삼각근과 양측 대퇴근에 압통이 있었고, 피부 진찰상 양쪽 눈꺼풀 부종과 연보라 발진(heliotrope rash)이 있었으며 고트론 구진(Gottron’s papule)은 관찰되지 않았다. 신경학적 검사에서 상지와 하지의 근위부 근력에서 근력 4도의 대칭적 근력감소를 보였고, 심부 건반사와 감각은 정상이었다.

검사 소견: 입원 당시 시행한 혈액검사상 혈색소 12.6 g/dL, 헤마토크릿 28.7%, 혈소판 231,000/uL, 백혈구 7,840/uL (호중구 88.0%)이었고, C-반응단백은 0.4 mg/dL였다. 생화학 검사에서 AST 799 IU, ALT 230 IU로 증가된 소견을 보였고, CK 8,000 U/L 이상, myoglobin 2,000 ng/mL 이상, LDH 1,696 U로 역시 상승되어 있었다. BUN 18 mg/dL, Creatinine 0.8 mg/dL로 정상소견이었고 총 단백질 6.0 g/dL (알부민 3.1 g/dL, 글로불린 2.9 g/dL), TG, HDL-콜레스테롤, LDL-콜레스테롤은 각각 104 mg/dL, 35 mg/dL, 114 mg/dL로 정상범위였다. 소변 검사에서는 이전에 없던 단백뇨(2.8 g/d) 및 현미경적 혈뇨(이형성 적혈구 80-100%) 소견을 보였다. ANA 양성(1,280X, speckled type), 면역글로불린은 정상 범위, C3 76 mg/dL로 감소, CH50 60 U/mL로 상승되어 있었다.

방사선학적 소견: 초음파 검사상, 양측 신장의 크기는 우측 12 cm, 좌측 12 cm로 측정되었고 신결석이나 수신증은 관찰되지 않았다.

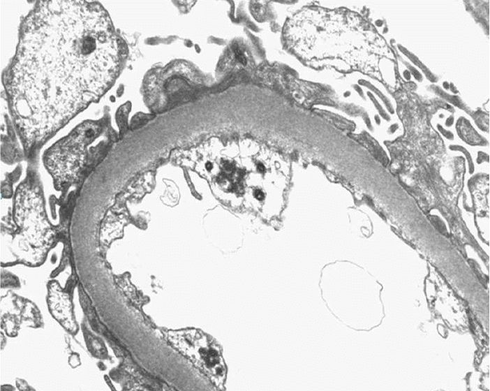
신장 조직 검사 소견: 광학 현미경에서 29개의 사구체가 관찰되었으며, 1개는 전반적으로 경화되었고, 6개는 국소적 경화 소견을 보였다. 간질은 경미하게 증식되어 있고 모세혈관 안에 백혈구가 침윤되어 있었고, 핵의 파편들도 관찰되었다. 사구체 기저막은 비후되어 있지 않았고 신세뇨관과 사이질, 혈관에는 특이소견이 없었다. 면역형광염색에서도 IgA나 C3 침착은 없었다. 전자현미경 검사에서는 경미한 간질 증식이 있으나 전자 밀도 침윤 소견은 거의 없었고 내피세포의 세포질에 세관망상 봉입체가 관찰되었다(Figs. 1 and 2).

Figure 1.

Light microscopy showing segmental sclerosis in one glomerulus (PAS stain, × 200). Neutrophils are seen in the capillary lumen.

Figure 2.

Electron microscopy showing tubuloreticular inclusion bodies in endothelial cells (× 12,000).

치료 및 경과: 환자는 입원 2일 후 신장 조직 검사를 시행하였다. 피부근염의 악화가 의심되어 고용량 스테로이드 주사제와 함께 IVIG 0.5 g/kg/d로 5일간 투약하였고, 이후 경구프레드니솔론 60 mg/d로 유지하여 퇴원하였다. 퇴원 당일 AST 72 IU, ALT 81 IU, CK 658 U/L, myoglobin 575 ng/mL로 호전 추세였고 단백뇨 2.8 g/d에서 0.5 g/d로 감소 추세, 현미경적 혈뇨도 감소 추세를 보였다. 퇴원 2주 후 외래 추적관찰에서 AST 25 IU, ALT 20 IU, CK 72 U/L, myoglobin 95 ng/mL로 정상범위였고, 단백뇨는 0.3 g/d까지 호전되었다.

고 찰

다발근육염과 피부근염은 피부나 근육 특히 근위부의 골격근을 침범하여 비화농성 염증과 위축성 병변을 유발하는 원인 불명의 결체조직 질환이다[1]. 피부근염은 근위부 근육의 대칭적 약화, 근효소 수치 상승, 근전도검사의 이상소견, 또는 근생검 소견을 만족하면서 특징적인 피부병변을 동반할 경우 진단할 수 있다[2].

일반적으로 다발근육염과 피부근염에서는 횡문근융해로 인한 세뇨관 문제가 주로 야기되고 이보다 드물게 만성 사구체신염이 나타날 수 있으나, 신장병변이 나타나는 경우는 매우 드물다[3]. 현재까지 피부근염과 연관되어 발생한 사구체신염 중에 조직학적으로 증명된 경우는 10예가 보고되었고, 이 중 6예가 막사구체신염, 2예가 혈관간세포증식사구체 신염이었다(Table 1) [1,4-8]. 반면 다발근육염은 주로 혈관간세포증식사구체신염으로 진단되었고, 이외에 막사구체신염, 초승달사구체신염으로 진단된 경우도 있었다. 이와 같이 피부근염에서는 막사구체신염이 가장 흔하며, 본 환자의 경우와 같이 국소분절사구체경화증이 동반된 보고는 드물다.

Glomerular lesions in DM

임상적으로 유사성을 갖고 있지만 다발근육염과 피부근염은 각각 다른 면역조직학적 기전을 가지고 있는 것으로 여겨진다. 피부근염은 체액성 면역 기전이 주된 것으로, 활성화된 보체가 근육에 있는 미세혈관 내피를 공격하여 근육 세포의 허혈을 유발하게 되고, 이는 폐, 심장, 위장관, 신장 등 다른 장기에도 발생할 수 있으며 신장이 침범된 경우에는 사구체 기저막을 공격하여 모세혈관의 보호 기전을 파괴하게 된다. 반면 다발근육염은 T cell이 관여하는 세포매개 면역 기전이 작용하는 것으로 알려져 있다[4].

저자들이 경험한 증례는 피부근염에 동반된 국소분절사구체경화증으로 국내보고는 아직 없으며, 향후 이에 대한 연구가 더 필요할 것으로 판단된다.

References

1. Seo JH, Jo MJ, You JH, et al. A case of minimal change nephropathy as a primary manifestation of dermatomyositis. Korean J Med 2007;73:1101–1105.
2. Bohan A, Peter JB. Polymyositis and dermatomyositis (first of two parts). N Engl J Med 1975;292:344–347.
3. Yen TH, Lai PC, Chen CC, Hsueh S, Huang JY. Renal involvement in patients with polymyositis and dermatomyositis. Int J Clin Pract 2005;59:188–193.
4. Xie Q, Liu Y, Liu G, Yang N, Yin G. Diffuse proliferative glomerulonephritis associated with dermatomyositis with nephrotic syndrome. Rheumatol Int 2010;30:821–825.
5. Akashi Y, Inoh M, Gamo N, et al. Dermatomyositis associated with membranous nephropathy in a 43-year-old female. Am J Nephrol 2002;22:385–388.
6. Picco P, Gattorno M, Barbano GC, Trivelli A, Pistoia V, Buoncompagni A. Mesangial glomerulonephritis and transient SLE manifestations in an adolescent with dermatomyositis. Lupus 1997;6:72–73.
7. Yen TH, Huang JY, Chen CY. Unexpected IgA nephropathy during the treatment of a young woman with idiopathic dermatomyositis: case report and review of the literature. J Nephrol 2003;16:148–153.
8. Soylu A, Kavukçu S, Türkmen M, Saroğlu S. Dermatomyositis with membranous nephropathy. Turk J Pediatr 2001;43:143–145.

Article information Continued

Figure 1.

Light microscopy showing segmental sclerosis in one glomerulus (PAS stain, × 200). Neutrophils are seen in the capillary lumen.

Figure 2.

Electron microscopy showing tubuloreticular inclusion bodies in endothelial cells (× 12,000).

Table 1.

Glomerular lesions in DM

Case no. Reference Age (yr)/sex Proteinuria (g/d) Pathology Treatment Outcome
1 Fukui et al. [5] 37/M 2.5 MN Steroid Improved
2 Rose et al. [5] 58/F ND MN Steroid, AZA Improved
3 Moriyama et al. [5] 46/F 1.0 MN Steroid Improved
4 Makino et al. [5] 35/M 2.4 MN Steroid Improved
5 Picco et al. [6] 16/M 2.5 MesPGN Steroid, AZA Improved
6 Akashi et al. [5] 43/F 9.3 MN Steroid Improved
7 Yen et al. [7] 26/F 5.1 MesPGN Steroid, AZA Improved
8 Soylu et al. [8] 10/M ND MN Steroid Improved
9 Xie et al. [4] 44/M 3.9 DPGN Steroid, CTX Improved
10 Seo et al. [1] 32/F 2.7 MCD Steroid Improved

DM, dermatomyositis; MN, membranous glomerulonephritis; mesPGN, mesangial proliferative glomerulonephritis; DPGN, diffuse proliferative glomerulonephritis; MCD, minimal change in disease; AZA, azathioprine; CTX, cyclophosphamide; ND, not described.