서 론
복부 둔상 후 신장 피막하 혈종, 신혈관 손상, 부신 출혈, 복부 대동맥 손상 등의 원인에 의해 고혈압이 발생할 수 있다[1-3]. 이들 중 신장 피막하 혈종은 일부의 환자에서 "Page kidney phenomenon"으로 이차성 고혈압을 유발하는 것으로 알려져 있고[4], 부신 출혈에 의한 peochromocytoma mimicking phemomenon으로 고혈압을 유발하는 것으로 일부 보고되었다[5]. 저자들은 복부 둔상 후 발생한 신장 피막하 혈종과 부신 혈종이 일시적 고혈압을 일으킨 증례를 경험하였기에 문헌고찰과 함께 보고하는 바이다.
증 례
환 자: 김○○, 여자, 63세
주 소: 우측 가슴 및 옆구리 통증
현병력: 내원 1시간 전 자동차 추돌사고로 앞 좌석에 우측 상반신을 부딪힌 후 발생한 통증이 지속되어 본원 응급실에 내원하였다.
과거력: 특이 사항 없음.
가족력 및 사회력: 특이 사항 없음.
이학적 소견: 내원 시 체온 37.0℃, 맥박은 111회/분, 호흡수는 26회/분, 혈압은 176/71 mmHg였다. 육안으로 보이는 병변은 없었으며, 흉부 진찰에서 우측흉곽에 압통을 동반한 폐하엽의 호흡음 감소 소견이 있었다. 복부 진찰에서 우측 옆구리 및 늑골척추각의 압통 소견을 보였으며, 그 외 신경학적 검사에서 이상 소견은 관찰되지 않았다.
검사 소견: 말초혈액검사에서 백혈구 7,600/mm3, 혈색소 11.3 g/dL, 혈소판 477,000/mm3였다. 생화학 검사에서 나트륨 141 mEq/L, 칼륨 4.4 mEq/L, 혈중요소질소 21 mg/dL, 크레아티닌 0.8 mg/dL으로 정상이었다.
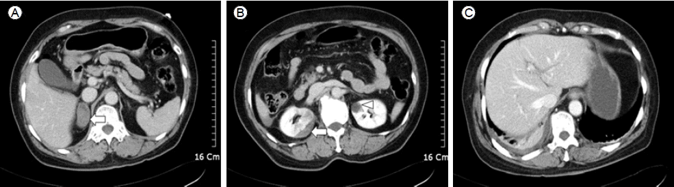
방사선 검사: 단순 흉부 방사선 검사에서 우측 3-9,11,12번 갈비뼈 골절 소견과 우측 흉곽에 삼출액 소견이 관찰되었다. 심장의 크기는 정상이었으며 폐부종 소견은 없었다. 복부 전산화 단층촬영에서 우측 신장의 1.5 cm의 피막하 혈종과 우측 부신의 4 cm의 혈종, 간의 열상과 복강 내 소량의 혈액이 관찰되었다(Fig. 1A and 1B). 신동맥 협착증이나 혈종에 의한 신동맥의 직접적인 압박 소견은 관찰되지 않았다(Fig. 1C).
치료 및 경과: 복부 둔상에 의한 내부 장기 손상으로 입원하여 통증 조절을 포함한 보존적 치료와 경과관찰을 시작하였다. 입원 후 혈압은 140/90 mmHg에서 170/100 mmHg로 높았다.
입원 20일째, 통증 호전 후에도 혈압이 지속적으로 높아 심장내과에 의뢰되었다. 24시간 활동 혈압 측정을 시행하였고 평균 혈압은 164/86 mmHg로 측정되었다. 고혈압의 병력이 없고, 외상 후 통증이 없는 상태에서 새로이 발생한 혈압 상승으로 이차 고혈압 감별 검사를 시행하였다. 기본적인 전해질, 신기능 검사를 포함하여 갑상선, 부갑상선, 부신 호르몬 검사, 스트레스 호르몬, 레닌, 안지오텐신을 측정하였고, 검사 결과는 모두 정상이었다(Table 1). 입원 당시 관찰되었던 우측 신장의 피막하 혈종과 부신 혈종의 변화 여부를 확인하기 위해 조영 증강없이 복부 전산화 단층 촬영을 재시행하였다. 우측 신장의 피막하 혈종은 1 cm, 부신 혈종은 2.4 cm으로 감소하였다. 보다 정확한 확진을 위해서는 좌, 우 신정맥 레닌비와 123I Methaiobenzylguanide (MIBG) scintiscan 등의 검사를 고려하였으나 침습성이 높고 현재 치료 결정에 도움이 되지 않아 시행하지 않았다. 혈압 증가 외에는 동반된 증상이 없었고 혈종의 크기가 감소하여 약물 치료 없이 혈압 변동을 관찰하였다. 입원 40일째 시행한 복부 초음파에서 우측 피막하 혈종은 더 이상 관찰되지 않았으며, 우측 부신 혈종의 뚜렷한 변화 소견은 없었다(Fig. 2A). 또한 24시간 활동혈압 평균치는 146/80 mmHg으로 감소하였다. 퇴원 1개월 후 시행한 복부 초음파에서 우측 부신의 혈종은 1.9 cm으로 크기가 감소하였고(Fig. 2B). 24시간 활동혈압 평균치는 135/76 mmHg으로 점진적인 감소를 보였다. 이후 환자는 약물치료 없이 정상혈압 유지하고 있는 상태로 현재 외래에서 경과관찰 중이다.
고 찰
복부 둔상 환자에서 고혈압은 통증, 스트레스에 의한 것으로 판단되어 간과하기 쉽다. 그러나 이러한 혈압의 지속적인 증가는 빈도는 낮으나 신장 피막하 혈종, 신혈관 협착 또는 경색, 부신 출혈, 복부 대동맥 손상 등 여러 내부 장기 손상과 연관되어 발생할 가능성이 있다[1-3,5]
이들 중 신장 피막하 혈종에 의한 이차성 고혈압은 Engel 등[4]에 의해 처음 기술되었다. 이는 신동맥의 이상이 없는 신장을 셀로판으로 둘러싸 피질의 혈류를 차단했을 때, 고혈압이 유발됨을 확인한 실험이었다. 신장 피막하 혈종의 압박으로 미세 혈관의 허혈과 소혈관 혈역동의 변화가 생겨 토리곁장치에서 레닌의 분비가 증가하게 된다. 이후 증가된 레닌에 의해 레닌-안지오텐신-알도스테론 시스템이 활성화되고, 정상 신장에서 작동하는 음성 되먹임이 일어나지 않아 고혈압이 유지된다[4,6,7]. 신장 피막하 혈종의 원인은 외상 외에도 종양, 응고병증, 감염 또는 시술 후 합병증 등이 있다[7]. 복부 둔상 환자에서 혈종과 고혈압이 동반된 경우는 0.1% 미만으로 매우 낮으며[2] 국내에서 보고된 증례는 없다. 일측 신장의 피막하 혈종에 의한 고혈압 환자에서 혈청 레닌 농도의 증가가 진단에 도움이 될 수는 있으나 반대측 정상 신장에서 레닌 분비가 상대적으로 감소하기 때문에 말초 혈액에서 혈청 레닌 농도의 증가가 관찰되지 않을 수 있다. 따라서 양측 신정맥 레닌비를 측정 비교하는 것이 유일한 진단법이다[6]. 피막하 혈종은 혈종의 흡수와 더불어 대부분 자연적으로 호전되며, 일시적인 레닌-안지오텐신-알도스테론 시스템 차단제 약물 치료가 도움이 될 수 있다. 하지만 손상이 심하여 신장기능이 심하게 떨어져 있거나, 고혈압이 호전 되지 않는 경우에는 수술적 치료를 고려해야 한다[8,9].
부신 출혈은 대개 수술, 화상, 패혈증 또는 심근경색 등 심한 스트레스 상황 이후나 응고 장애, 혈전증, 부신 낭종, 종양 등에서 발생하는 것으로 알려져 있다. 복부 둔상에 의한 손상은 간, 신장 및 횡격막 등으로 둘러싸여진 해부학적 위치와 부드러운 주변조직의 완충작용 때문에 비교적 드물게 발생한다[10]. 출혈 정도와 원인에 따라 발열, 빈맥, 기립성 저혈압이나 복통 등 다양한 증상이 나타날 수 있으나, 고혈압이 새로 발생한 경우는 드물게 보고되었다[3,5]. Schmidt 등[5]은 부신 혈종에 의한 부신 내부의 압력 증가가 조직의 허혈성 괴사를 유발하고 이에 대한 반응성 증식이 카테콜아민의 과다 분비를 유발하여 갈색 세포종과 유사하게 고혈압을 발생시킨다고 하였다. 따라서 부신 출혈 환자에서 발생한 고혈압의 원인을 진단하기 위해서는 소변과 혈청에서의 카테콜아민 증가 소견, 123I MIBG scintiscan 등의 확인이 필요하다. 혈종이 감소하면 고혈압은 호전되지만 증상이 있는 경우는 알파 차단제를 이용한 약물 치료뿐 아니라 수술적 치료도 고려해야 한다[5].
본 증례의 경우 복부 둔상에 의해 새로이 발생한 고혈압 환자로 다른 이차적인 원인을 모두 배제한 후 신장의 피막하 혈종에 의한 것으로 진단하였다. 그러나 문헌고찰에서 부신 출혈이 이차성 고혈압을 유발한 증례를 접하게 되었고, 두 가지 모두를 원인으로 완전히 배제하지는 못하였다. 양측 신정맥 레닌비 측정과 123I MIBG scintiscan 등의 추가 검사가 필요하였으나 환자가 호소하는 증상이 없었고 혈종 크기가 작아지면서 혈압의 감소 소견이 뚜렷하여 시행하지 않았다. 또한 항고혈압제 치료 없이 복부 초음파와 24시간 활동 혈압 측정으로 추적관찰하였으며, 신장의 피막하 혈종과 부신 혈종의 크기 감소와 더불어 혈압은 정상으로 돌아왔다. 본 증례에서처럼 고혈압이 없던 환자에서 복부 둔상 후 적절한 통증 조절에도 불구하고 고혈압이 발생 또는 지속될 경우, 신장이나 부신의 출혈 가능성을 고려해야 하겠다.


PDF Links
PubReader
ePub Link
Full text via DOI
Download Citation
Print






