흉막염과 심장막염으로 발현한 류마티스성 진폐증 1예

A Case of Rheumatoid Pneumoconiosis Presenting with Pleuritis and Pericarditis

Article information

Korean J Med. 2013;84(3):428-432
Publication date (electronic) : 2013 March 1
doi : https://doi.org/10.3904/kjm.2013.84.3.428
Department of Internal Medicine, Kangdong Sacred Heart Hospital, Hallym University College of Medicine, Seoul, Korea
박명수, 강대길, 정은주, 오기종, 심종섭, 김은정, 김창환
한림대학교 의과대학 내과학교실, 강동성심병원 내과
Correspondence to Changhwan Kim, M.D.   Department of Internal Medicine, Hallym University Kangdong Sacred Heart Hospital, 150 Seonan-ro, Gangdong-gu, Seoul 134-701, Korea   Tel: +82-2-2224-2561, Fax: +82-2-478-6925, E-mail: masque@hallym.or.kr
Received 2012 July 28; Revised 2012 August 24; Accepted 2012 September 4.

Abstract

Caplan 증후군이 발표되면서 류마티스관절염과 진폐증의 관련성이 알려지기 시작하였다. Caplan 증후군은 전형적으로 류마토이드인자 양성인 류마티스관절염이 나타나는 진폐증 환자에서 진단할 수 있다. 류마티스관절염 환자에서 흉막 질환은 드물지 않게 나타나는 합병증으로, 흉막 삼출액에서 류마토이드 인자가 양성으로 나타나는 특징적인 양상을 보인다. 일부에서는 흉막 삼출이 류마티스관절염의 첫 증상으로 발현되기도 하며, 관절증상이 나타나지 않는 경우도 있다. 저자들은 흉막과 심장막 삼출이 동반된 규폐증 환자의 혈청과 삼출액에서 류마티스 인자의 증가를 확인하고 스테로이드 치료 후 호전을 경험한 증례가 있어, 이를 장막염으로 발현한 Caplan 증후군의 비전형적인 형태로 판단하여 보고하는 바이다.

Trans Abstract

Caplan’s syndrome is characterized by multiple small distinct nodules with progressive massive fibrosis and rheumatic arthritis in pneumoconiosis. Although pleural effusions occur infrequently as an extra-articular manifestation, pleuritis can develop without joint involvement in patients with rheumatoid arthritis. We treated an 81-year-old man who had been diagnosed with silicosis with progressive massive fibrosis. He suffered from progressive dyspnea, and chest computed tomography (CT) and echocardiography revealed pleural and pericardial effusions. We speculated that the multiple serositis was related to a rheumatic disorder because the rheumatic factor was elevated in both the pleural and pericardial effusions. After corticosteroid treatment, the serositis improved. We suggest that this case is an atypical pattern of Caplan’s syndrome presenting as serositis without arthritis. Rheumatoid serositis should be considered as the cause of pleural or pericardial effusions in patients with pneumoconiosis. (Korean J Med 2013;84:428-432)

서 론

1953년 Caplan이 일부 광부들에서 류마티스관절염과 진폐증이 동반한 사례가 있음을 처음으로 보고하였고, 이는 Caplan 증후군으로 명명되었다[1]. Caplan 증후군(또는 류마티스성 진폐증)은 진폐증과 함께 혈청 류마티스 인자가 양성인 류마티스관절염 환자에서 진단될 수 있으며, 결핵 및 악성 종양은 배제되어야 한다[1]. 환자들은 대부분 다발성 관절통을 호소하고, 흉부에서 류마티스 결절 및 진행성 종괴성 섬유화(progressive massive fibrosis)와 구분되는 작은 크기의 다발성 결절이 나타나는 것이 특징이며, 흉막염이나 심장막염은 드물다[2]. 이와 같은 형태의 증후군은 탄광 광부들 이외에도 석면이나 규소에 노출되었던 다양한 진폐증 환자에서도 나타날 수 있다[3].

저자들은 규폐증으로 치료받던 도중 흉수 및 심장막액이 발생하여 호흡곤란이 악화된 환자를 보게 되었다. 흉수와 심장막액에서 류마티스 인자가 상승되어 있고 감염 등 이외의 원인들이 배제되어 류마티스성 장막염을 원인으로 판단하였고, 전신 스테로이드 치료 후 증상과 장막염의 호전을 보였다. 본 증례는 장막염으로 발현한 비전형적인 Caplan 증후군으로 추정되며, 규폐증을 포함한 진폐증 환자에서 흉수나 심장막액이 병발할 경우 류마티스성 장막염을 원인으로 고려해야 함을 시사하여 보고하는 바이다.

증 례

81세 남자 환자가 호흡곤란을 주소로 외래에 내원하였다. 환자는 20대 후반부터 10년간 석재를 분쇄하는 직업에 종사하였고, 30대 후반부터 약 30년 동안 페인트 공으로 일하였다. 30년 전 폐결핵을 진단받고 치료받은 과거력이 있었다. 4년 전 타 병원에서 규폐증과 진행성 종괴성 섬유화를 진단받았고, 이후 마른 기침이 지속적으로 있었으며 빨리 걷거나 경사진 길을 오를 때 호흡곤란이 있어 왔다. 약 20일 전부터 기침이 동반되면서 호흡곤란이 악화되었다. 발열감은 호소하지 않았고 객담의 증가나 화농성 변화는 없었으며 객혈도 없었다. 활력징후는 혈압 136/72 mmHg, 맥박수 88/분, 호흡수 20/분, 체온 36.8℃였고, 산소포화도는 96%였다. 흉부 청진에서 양측 폐하엽에 수포음이 들렸으며 심음은 규칙적이었고 심잡음도 들리지 않았다. 관절의 부종 및 압통은 없었다. 백혈구는 5,300/mm3, 혈색소는 13.7 g/dL, 혈소판은 186,000/mm3였고 간기능과 신기능, C-반응성 단백 수치도 정상이었다. 흉부방사선 사진에는 불규칙한 침윤이 양측 폐의 전반에 걸쳐 관찰되며 양측 상엽으로 종괴성 병변도 보이나 4년 전과 비교하여 큰 변화가 없었고, 규폐증과 이에 동반한 진행성종괴성섬유화 및 과거의 결핵 감염으로 인한 병변으로 판단되었다. 이와 달리 양측 갈비가로막각의 둔화는 새롭게 발생한 소견이었고, 측와위 영상에서 흉수가 확인되어 우측에서 흉수 천자를 시행하였다. 흉수의 pH는 7.0, 백혈구는 952/mm3였다. 백혈구는 호중구 3%, 림프구 30%, 대식세포 66%의 분획을 보였다. 흉수의 젖산탈수소효소(lactate dehydrogenase)는 506 IU/L, 알부민은 2.6 g/dL로 삼출액 소견이었고, 포도당은 119 mg/dL, 콜레스테롤은 19 mg/dL였으며, 암배아항원(carcinoembryonic antigen)도 2.52 ng/mL로 상승하지 않았다. 흉수의 아데노신탈아미노효소(adenosine deaminase)는 33 IU/L, 항산균 도말검사는 음성, 세균 배양검사에서 동정되는 미생물은 없었다.

일주일 뒤 환자는 호흡곤란이 더욱 악화되었는데, 흉부방사선 사진에서 둔해진 양측 갈비가로막각은 그대로였고, 심장의 왼쪽 경계는 이전과 비교하여 볼록해졌다(Fig. 1A). 흉부 전산화단층촬영을 시행하였다. 우측으로 더 많은 양의 흉수가 관찰되었고, 심장막액도 관찰되었다. 우측 하엽으로 망상형의 불규칙한 병변이 보이는데, 이전에도 우하엽의 병변은 관찰되고 있었으나 병변의 범위와 정도가 더 악화되었다(Fig. 2A). 이어 시행한 심장 초음파 검사에서 중등도 이상의 심장막액을 확인하였고, 심장눌림증의 소견은 보이지 않았으나 진단 및 치료의 목적으로 심장막 천자를 시행하였다. 추가 검사를 위해 흉수 천자와 말초혈액 채취도 다시 시행하였다. 환자의 혈청 류마티스인자가 119 IU/mL으로 상승하였으며, 흉수에서는 130 IU/mL 이상, 심낭액에서도 31 IU/mL으로 상승해 있었다(Table 1). 혈청과 흉수의 항핵항체(anti-nuclear antibody)는 1:40이었고, 이외에 혈청 항중성구세포질항체(anti-neutrophil cytoplamic antibody), 항Ro항체(anti-Ro antibody), 항La항체(anti-La antibody), Anti Scl 70 antibody도 음성이었다. 흉수와 심장막액은 모두 삼출성 성분이었고, 결핵이나 악성종양의 증거는 없었다. 기관지내시경을 통한 세척액 검사에서도 결핵균이나 이상 세포는 관찰되지 않았다.

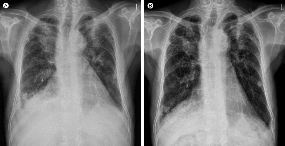
Figure 1.

The chest X-ray before treatment shows (A) diffuse, irregular infiltrations in the lung parenchyma bilaterally, and tumor-like lesions in both upper lobes. These findings were seen in previous chest films and had not changed. The pleura effusions at the costophrenic angles were new and the left cardiac border was bulging slightly. (B) After 4 weeks of steroid therapy, the costophrenic angle blunting had improved bilaterally and the cardiac border was slender.

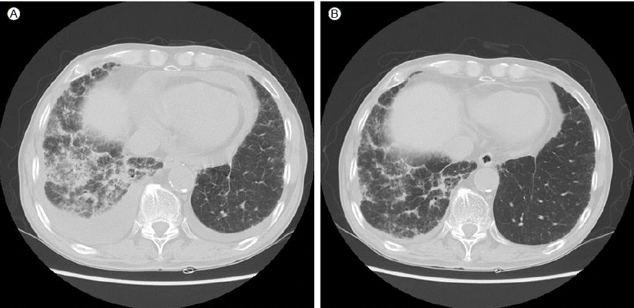
Figure 2.

Chest CT before treatment shows (A) a right dominant pleural effusion and a pericardial effusion. Irregular infiltration in the right lower lobe is noted. (B) At follow-up, both the pleural and pericardial effusions had resolved as had the infiltration in the right lower lobe.

Laboratory findings of the serum, pleural fluid, and pericardial fluid

류마티스성 흉막염과 심장막염이 발생하여 환자의 호흡곤란이 악화된 것으로 판단하고 프레드니솔론 0.5 mg/kg을 하루 한번 투여하기 시작하였다. 치료 시작 일주일 후 환자는 호흡곤란이 호전되었고, 프레드니솔론을 유지하면서 퇴원하였다. 4주 후 시행한 흉부방사선 사진에서는 치료 전과 비교하여 흉수가 감소한 소견을 보였고(Fig. 1B), 2개월 후 추적검사한 흉부 방사선단층촬영에서도 양측의 흉수가 거의 소실되고, 심장막액도 감소한 모습이 관찰되었다. 더불어 우하엽의 병변도 치료 전보다 호전되었다(Fig. 2B). 환자는 이후 6개월 동안 증상악화 없이 스테로이드 감량하며 경과관찰 중이다.

고 찰

이 증례는 규폐증 환자에서 흉막염 및 심장막염 형태로 류마티스질환이 병발할 수 있음을 보여주고 있다. 규폐증을 비롯한 진폐증과 류마티스관절염의 연관성은 Caplan 증후군을 통해 잘 알려져 있다. Caplan 증후군은 드문 질환으로 Caplan은 그 빈도를 진폐증 환자 중 약 0.4%로 보고하였다[1]. 국내의 발생 빈도에 대해서는 연구가 없으며, 아직 증례 보고의 수준이다[3-5]. 규폐증 환자에서 Caplan 증후군이 발생하는 경우도 알려져 있는데, 국내 보고에서도 이러한 사례가 있었다[5]. 류마티스관절염과 진폐증이 연관되는 기전에 대해서는 아직 정확히 알려지지 않았다[2]. 동물 실험에서 규소 분진을 흡입하였을 때 류마토이드 인자와 유사한 면역 글로불린의 생성이 촉진된다는 연구와[6], 인체에 침투한 유리규소가 류마티스인자를 포함한 여러 자가항체를 생성할 수 있다는 보고를 바탕으로 규소 등의 분진에 노출되면 자가면역 반응이 유발되는 기전이 있을 것으로 추측할 수 있다[7].

한편, 다양한 자가면역성 질환에서 흉막 삼출을 동반할 수 있다[8]. 류마티스관절염에서도 흉막 삼출은 환자의 약 20%에서 나타나 비교적 흔한 소견이며[8], 일부에서는 심장막액과 동반되기도 한다[9]. 흉막 삼출은 류마티스관절염의 유병 기간이 길고, 류마토이드인자의 항체 역가가 높으며, 류마티스 결절이 있는 중년 남성에서 비교적 흔하게 발생하지만, 환자의 약 25% 정도는 흉막 삼출이 관절 증상보다 선행하거나 동시에 나타나기도 한다[8]. 드물게는 관절염 없이 발생한 류마티스성 흉수가 보고되기도 하였다[10]. 류마티스성 흉수의 검사소견은 보통 pH가 7.20 이하, 포도당이 50 mg/dL 이하로 낮고, LDH가 정상 혈청 수치의 2배 이상을 보이며, 콜레스테롤이 1,000 mg/dL 이상으로 매우 상승하는 경우가 있다[8]. 류마토이드인자의 경우 혈청 검사 수치와 유사하거나 높은 양상을 보이며[8], 흉막 삼출 내의 류마토이드인자의 상승은 류마티스관절염에 의한 흉막 삼출의 가능성을 강하게 시사한다[9]. 임상 증상과 흉수의 검사 소견이 전형적이며 흉수의 배양 검사에서 세균 감염의 증거가 없다면 확진을 위해 흉막 생검을 반드시 시행할 필요는 없다[8]. 대부분은 치료를 요하지 않으나, 증상을 유발한다면 항 류마티스 제제를 투여하며 일부에서는 스테로이드 투여를 고려할 수 있다[8]. 본 증례에서 보인 흉수의 소견 중 낮은 pH와 상승된 LDH, 류마티스 인자는 류마티스관절염에 동반하는 흉막 삼출 소견에 부합하였으나, 포도당은 낮지 않았다. 류마티스관절염에 동반하는 흉막 삼출에서 포도당이 낮게 측정되는 것이 전형적인 소견이지만, 초기에는 정상 수준의 포도당 값이 측정 될 수도 있다[9]. 포도당 저하의 기전은 명확하지 않지만, 흉막의 염증반응으로 인해 포도당의 소모가 증가하고 두터워진 흉막을 통한 포도당의 이동에 선택적인 제한이 발생한다는 사실이 부분적으로 밝혀져 있으며, 초기에 포도당 저하 소견이 없는 것도 이러한 맥락에서 이해할 수 있다[9]. 본 증례에서 흉수로 시행한 항산균 도말검사와 배양 검사가 세 차례 음성었고, 아데노신탈아미노효소 수치도 낮았다. 흉수의 세포병리 소견과 기관지폐포세척액검사를 통한 세포병리 소견에서 악성 종양의 근거를 찾을 수 없었고, 흉수와 혈청의 암배아항원 수치도 정상 범위인 점으로 결핵과 악성 종양의 가능성은 배제할 수 있었다. 또한, 발열 및 백혈구 증가증, C-반응 단백의 상승이 없었고 흉수로 시행한 세균 배양 검사에서 미생물이 분리되지 않아 감염에 의한 흉수일 가능성도 배제할 수 있었다. 이러한 소견들과 스테로이드 투여로 흉막염과 심장막염이 빠르게 호전되었던 점을 종합하여 볼 때, 이번 증례의 장막염은 관절통이 나타나기 전의 류마티스관절염에 의한 관절외 증상의 발현일 가능성이 높을 것으로 판단할 수 있다.

류마티스성 흉막 삼출과 심장막액은 Caplan 증후군의 흔한 증상이 아니다[10]. 또한 일부 Caplan 증후군의 경우 관절 증상이 뒤늦게 나타나는 경우도 있다[10]. 본 증례에서는 외래 추적하는 6개월 기간 동안에는 관절 증상이 새로이 나타나지 않았고, 스테로이드 치료가 관절증상의 발현을 억제하였을 가능성이 높을 것으로 생각하나 지속적인 추적관찰이 필요할 것으로 보인다. 본 증례는 전형적이지는 않지만 장막염으로 발현한 Caplan 증후군으로 판단된다. 규폐증을 포함하는 진폐증 환자에서 호흡곤란을 호소하는 경우 흉막 삼출이나 심장막액 삼출이 있는지 확인하고, 그 원인이 류마티스성 장막염일 가능성을 고려해 관절 증상이 없더라도 혈청과 삼출액에서 류마토이드인자를 측정하는 것이 필요함을 시사한다.

References

1. Caplan A. Certain unusual radiological appearances in the chest of coal-miners suffering from rheumatoid arthritis. Thorax 1953;8:29–37.
2. Schreiber J, Koschel D, Kekow J, Waldburg N, Goette A, Merget R. Rheumatoid pneumoconiosis (Caplan's syndrome). Eur J Intern Med 2010;21:168–172.
3. Lee SK, Lee SH, Kim SY, et al. Caplan's syndrome presenting as multiple pulmonary nodules. Tuberc Respir Dis 2011;70:150–154.
4. Ryu HH, Chang SH, Kim HW, et al. A case of Caplan's syndrome presenting as acute onset polyarthritis. J Rheum Dis 2011;18:36–40.
5. Myong JP, Kim KY, Lim Y. A case of Caplan’s syndrome with silicosis. Korean J Occup Environ Med 2008;20:160–164.
6. Verhaeghe A, Voisin C, Grailles M, Delcambre B, Bouscatie F. Developmental aspects of Caplan's syndrome. Rev Rhum Mal Osteoartic 1969;36:109–123.
7. Darke C, Wagner MM, Nuki G, Dyer PA. HLA-A, B and DR antigens and properdin factor B allotypes in Caplan's syndrome. Br J Dis Chest 1983;77:235–242.
8. Lee JH, Kim TH. Pleural effusion in connective tissue diseases. Korean J Med 2011;81:154–160.
9. Balbir-Gurman A, Yigla M, Nahir AM, Braun-Moscovici Y. Rheumatoid pleural effusion. Semin Arthritis Rheum 2006;35:368–378.
10. Allan JS, Donahue DM, Garrity JM. Rheumatoid pleural effusion in the absence of arthritic disease. Ann Thorac Surg 2005;80:1519–1521.

Article information Continued

Figure 1.

The chest X-ray before treatment shows (A) diffuse, irregular infiltrations in the lung parenchyma bilaterally, and tumor-like lesions in both upper lobes. These findings were seen in previous chest films and had not changed. The pleura effusions at the costophrenic angles were new and the left cardiac border was bulging slightly. (B) After 4 weeks of steroid therapy, the costophrenic angle blunting had improved bilaterally and the cardiac border was slender.

Figure 2.

Chest CT before treatment shows (A) a right dominant pleural effusion and a pericardial effusion. Irregular infiltration in the right lower lobe is noted. (B) At follow-up, both the pleural and pericardial effusions had resolved as had the infiltration in the right lower lobe.

Table 1.

Laboratory findings of the serum, pleural fluid, and pericardial fluid

WBC (PMN) pH Protein (g/dL) Albumin (g/dL) LDH (U/L) Glucose (mg/dL) RF (IU/mL) ADA (IU/L)
Serum 5,300 (61%) 7.4 5.8 3.1 524 98 119 -
Pleural fluid 952 (3%) 7.0 3.4 2.6 506 119 > 130 31
Pericardial fluid 80 (1%) 7.5 4.6 2.8 328 104 31 16