복막전이를 동반한 그물막의 악성 혈관주위 상피모양세포 종양 1예

Malignant Perivascular Epithelioid Cell Tumor (PEComa) Arising in the Omentum with Metastatic Peritoneal Seeding: A Case Report

Article information

Korean J Med. 2014;86(1):96-101
Publication date (electronic) : 2014 January 1
doi : https://doi.org/10.3904/kjm.2014.86.1.96
1Departments of Internal Medicine, Dankook University College of Medicine, Cheonan, Korea
2Departments of Surgery, Dankook University College of Medicine, Cheonan, Korea
장석빈1, 서원용1, 전지현1, 박건우1, 임도형1, 남궁환2, 이순일1
1단국대학교 의과대학 내과학교실
2단국대학교 의과대학 외과학교실
Correspondence to Soon Il Lee, M.D. Department of Internal Medicine, Dankook University College of Medicine, 201 Manghyang-ro, Dongnam-gu, Cheonan 330-715, Korea Tel: +82-41-550-3922, Fax: +82-41-556-3256, E-mail: avnrt@hanmail.net
Received 2013 May 7; Revised 2013 May 23; Accepted 2013 July 11.

Abstract

혈관주위 상피모양세포 종양은 조직학적으로 HMB-45에 강한 양성을 보이는 상피 모양세포를 가지는 중간엽 종양의 한 범주를 총칭한다. 대개 양성경과를 보이며 진단 당시 전이성 병변을 가지는 예는 흔치 않아 수술적 절제술이 일반적인 치료로 선택된다. 그러나 양성과 악성의 조직학적 명확한 경계가 없으며 재발에 대한 예측에 제한점이 많아 다양한 치료 시도들이 지속되고 있다. 저자들은 좌상복부 거대종괴 소견을 보인 환자를 대상으로 종괴제거 수술을 시행하였고 복벽에 다수의 파종성 결절을 확인하였으며 절제된 종괴 및 결절조직의 면역 조직화학염색검사에서 HMB-45 강한 양성을 보여 복강으로 전이된 그물막의 악성 혈관주위 상피모양세포 종양을 확진하였다. 환자는 더 이상의 추가적 치료를 원하지 않았으며 이후 7개월 만에 다발성 전이로 악화된 1예를 경험하였기에 문헌고찰과 함께 보고하는 바이다.

Trans Abstract

The World Health Organization (WHO) defines a perivascular epithelioid cell tumor (PEComa) as a mesenchymal neoplasia composed of perivascular epithelioid cells with characteristic morphological and immunohistochemical features. They are rarely malignant. Indeed, only a few cases have been reported in the English literature, and this is the first case of PEComa reported in Korea. A 64-year-old man presented with an abdominal mass and peritoneal seeding. The patient underwent mass excision with descending colon resection and anastomosis. The primary mass and peritoneal seeding was diagnosed as a PEComa histopathologically. Seven months later, he developed liver metastasis and aggravated peritoneal seeding. Here, we report a case of malignant PEComa of the omentum. (Korean J Med 2014;86:96-101)

서 론

혈관주위 상피모양세포 종양(perivascular epithelioid cell tumor, PEComa)은 림프관평활근종증(lymphangioleiomyomatosis), 폐의 투명세포당종양(clear cell ‘sugar’ tumor of the lung), 혈관근육지방종(angiomyolipoma)을 포함하는 중간엽 기원종양의 한 범주로 1992년 처음 Bonetti 등[1]에 의해 명명되었다. 최근 면역조직화학 검사의 발달로 HMB-45에 강한 양성 염색을 보이는 상피모양세포를 통해 혈관주위 상피모양 세포 종양을 여러 장기에서 발견할 수 있게 되었으나 현재까지 전 세계적으로 약 240예 내외가 보고되었을 뿐이다[2,3]. 국내 보고에서는 약 10예가 있으며 모두 진단 당시 전이가 없는 양성 혈관주위 상피모양세포 종양이었고 외과적 절제 이후 추적관찰에서도 재발하지 않았다[4,5].

저자들은 복강 내 거대 종괴를 가진 환자에서 수술 당시 복벽에 다수의 파종성 결절을 동반하였고 면역조직화학검사를 통해 그물막의 악성 혈관주위 상피모양세포 종양을 진단한 1예를 국내 처음으로 경험하였기에 이를 문헌고찰과 함께 보고하는 바이다.

증 례

환 자: 남자, 64세

주 소: 피로감, 좌측 상복부 종괴

현병력: 환자는 내원 3개월 전부터 피로감과 복부 불편감이 있었으며 3개월간 12 kg의 체중감소를 보였다. 이에 외부 병원에서 복부초음파를 실시하였고 좌측상복부에 국한된 거대종괴 소견이 확인되어 본원으로 전원되었다.

과거력: 25년 전 오른쪽 서혜부 탈장으로 수술을 받았으며 그 외 당뇨, 고혈압, 결핵, 간염 등의 다른 병력은 없었다.

사회력: 3갑년의 흡연력이 있었으며 최근 중단한 상태였다.

가족력: 특이사항 없었다.

신체검사 소견: 내원 당시 혈압은 107/71 mmHg, 맥박 66회/분, 호흡 수 20회/분, 체온 36.4℃였고 의식은 명료하였다. 기침, 가래, 호흡곤란 등의 호흡기증상은 없었으며 흉부 청진, 심음은 정상이었다. 복부검진상 좌측 상복부의 대부분을 차지하는 종괴가 촉진되었으며 크기는 15-20 cm 정도로 깊이와 경계가 불명확하였다. 종괴는 탄력성이 있고 하부의 근육과 피부에 고정되지 않았으며 압통 및 반발통은 없었다. 그 밖에 이학적 검사에서 특이 소견은 없었다.

검사실 소견: 말초혈액검사에서 백혈구 7,780/mm3, 혈색소 11.6 g/dL, 혈소판 417,000/mm3였으며 C-반응단백은 3.00 mg/dL였다. 혈청생화학검사에서는 AST 26 IU/L, ALT 7 IU/L, 혈중 요소 질소 16.3 mg/dL, 크레아티닌 0.66 mg/dL이었으며 기타 생화학 검사 및 소변검사는 정상범위 내에 있었다. 종양표지자 검사를 시행하였으며 혈청 CEA 0.3 ng/mL, 알파태아단백질 1.0 ng/mL, CA 19-9 7.5 U/mL였다.

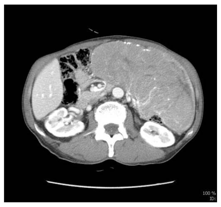
방사선 소견: 입원 후 시행한 흉부 단순 촬영은 정상이었고 복부 전산화단층촬영(Fig. 1)에서 좌측 상복부 그물막에서 조영 증강되는 거대한 종괴가 확인되며 주변으로 풍부한 혈관분포가 관찰되었다. 주변으로 장폐쇄, 림프절의 비대 및 전이소견은 보이지 않았으나 소량의 복수가 확인되었다. 전신 양전자방출단층촬영 검사에서 복부 전산화 단층 촬영에서 보였던 종괴와 같은 위치로 F-18 fluorodeoxyglucose 섭취가 증가된 거대 종괴가 관찰되었다.

Figure 1.

Bulky delayed-enhancing mass in the omentum of the left upper to mid abdomen, with a high supply of blood from the surrounding dilated mesenteric omental arteries.

대장 내시경 소견: 대장 내시경 검사에서 항문피부선으로부터 35 cm에서 30 cm에 걸쳐 대장 외부로부터 장관내부로 압박하는 소견과 대장 점막의 발달된 혈관 구조를 관찰하였으나 대장으로 침윤된 소견은 보이지 않았다.

수술 및 조직학적 소견: 이에 정확한 진단 및 치료를 위하여 종괴 적출술 및 하행결장절제를 시행하였다. 절제된 종괴의 크기는 21 × 21 × 7.5 cm였으며 비교적 경계가 잘 지워지는 거대한 결절성 종괴(Fig. 2)로 표면은 분홍빛이었으며 내부에는 출혈성 괴사가 관찰되었다. 종괴는 그물막에서 기시한 것으로 보이며 하행결장의 일부가 종괴와 유착되어 하행결장을 부분 절제하였다. 복벽으로 전이가 의심되는 파종성 결절들이 관찰되었으며 최대 크기는 1 cm으로 약 10개의 결절을 제거하였다. 조직학적으로 다양한 모양의 상피모양세포들이 가는 혈관을 따라 둥지모양으로 배열해 있었으며 림프절 전이 소견은 없었다. 타 질환과의 감별진단을 위해 면역조직화학염색(Fig. 3)을 시행하였으며 HMB-45, Melan-A, SMA, vimentin에 양성 소견을 보였고 C-kit, CD34, S-100 단백에는 음성을 보였다. 상기소견을 통해 원발종괴를 혈관주위 상피모양세포 종양으로 확인하였으며 복벽의 파종성 결절에서도 원발종양과 같은 조직병리검사 소견의 혈관주위 상피모양세포 종양이 확인되어 최종적으로 복강 내로 전이된 그물막의 악성 혈관주위 상피모양세포 종양을 확진하였다.

Figure 2.

The specimen consists of a huge nodular mass and attached portion of colon. On section, it has a whitish fish-flesh appearance with a large area of hemorrhagic necrosis.

Figure 3.

Microscopically, there are polygonal epithelioid tumor cells arranged in packets or nests along thin blood vessels (H&E, × 200) (A). Mitotic figures are frequent (H&E, × 400) (B). Tumor cells show positive immunoreactivity to HMB-45 (HMB-45, × 200) (C) and focal positive immunoreactivity to smooth muscle actin (Actin, × 200) (D).

경과: 수술 이후 복벽의 전이성 병변이 확인되어 고식적 항암화학요법 또는 일부 증례보고에서 효과를 보고한 m-TOR 억제제 투여에 대하여 설명하였으나 환자가 더 이상의 치료를 거부하여 시행하지 못하였다. 환자는 7개월 후 전신쇠약, 복부불편감 및 통증으로 내원하였으며 전산화단층촬영검사 상복막 암종증의 악화와 새로운 간 전이를 확인하였다(Fig. 4). 환자의 전신상태와 전이의 진행을 고려하여 m-TOR 억제제 투여를 권유하였으나 환자는 적극적인 치료를 거부하여 보존적 치료 후 퇴원하였다.

Figure 4.

Multiple hematogenously spread hepatic metastases ranging in size from a few mm up to 2.5 cm in segment VII (A). Recurrent tumor as peritoneal carcinomatosis with multiple nodular masses of various sizes scattered in the omentum and mesentery from the perihepatic and left subphrenic space extending into the rectovesical space (B).

고 찰

혈관주위 상피모양세포 종양은 매우 드문 질환으로 멜라닌 세포 표지자인 HMB-45에 염색되는 특징이 있으며 본 증례에서는 그물막에서 발생하였으나 이외 신장, 폐, 췌장, 유방, 전립선, 방광, 위장관, 자궁 등 여러 신체 장기에서 발생 가능한 것으로 보고되고 있다[1-3,6]. 혈관주위 상피모양세포종양은 전 연령대에 걸쳐 발병할 수 있는 데 중간연령은 43세이며 남성과 여성의 비율이 1:4 정도로 여성에서 빈번하게 발생하는 것으로 알려져 있다[3].

조직학적인 특징으로 혈관주위 상피모양세포 종양은 투명세포질 또는 호산구 세포질을 가진 상피 세포로 구성되어있고 세포 내부에 과립 물질이 존재하며 평활근 및 멜라닌 세포의 분화를 동시에 보여 면역 조직화학염색에서 HMB-45에 강한 양성을 나타내고 평활근 액틴에도 다양한 형태의 염색 반응이 나타난다[1,2]. 가장 민감한 멜라닌 세포 표지자로 HMB-45, Melan-A, microphthalmia transcription factor가 있으며 일부 연구기관에서는 HMB-45는 약한 양성을 보이는 경우가 있는 반면 Melan-A는 지속적으로 강한 양성을 보이므로 적어도 세 가지 표지자를 기본적으로 검사하기도 한다[2]. 한편, S-100 단백에는 음성을 보여 악성 흑색종과 감별할 수 있으며 CD117 (c-kit), desmin, cytokeratin, EMA, CD34, CD68, CD99 및 신경미세섬유 단백에도 음성을 보인다[2].

조직학적인 소견만으로 악성도를 결정하는 것에는 제한점이 많아 다양한 임상적 특징들을 바탕으로 악성과 양성을 구분하려는 시도들이 있었다[3]. 대표적으로 Folpe 등[7]은 종괴의 크기, 침습의 정도, 핵 등급, 세포충실성, 유사분열지수, 괴사여부, 혈관 침습을 고위험 요소로 설정하고 종양의 크기가 5 cm 보다 작으면서 고위험 요소가 없을 때를 양성, 다른 위험요소가 없이 종양의 크기가 5 cm 이상이거나 심한 핵 다형성을 보일 시 미확정 악성종양으로, 고위험 요소가 2개 이상일 때를 악성으로 규정하였다.

혈관주위 상피모양세포 종양은 대부분 양성 경과를 보여 수술적 절제술로 치료가 가능하였으며 국내에서 보고된 약 10예의 증례에서도 진단 당시 원발종괴 이외의 전이소견과 수술 이후 재발은 없었다[3,7].

본 증례에서는 거대 복강 내 종양과 복강 내 다수의 파종성 결절들이 관찰되었으며 면역화학조직검사에서 혈관주위 상피모양세포 종양을 확인하였다. 복강에 다수의 파종성 결절을 동반하였기에 악성으로 분류가 되었지만 종양 자체에 대해서도 Folpe 등[7] 제안한 분류기준으로 살펴보면 종양의 크기가 21 cm로 5 cm보다 크며 유사분열이 흔히 관찰되고 심한 세포 이형성 및 괴사가 동반되어 악성으로 분류할 수 있었다.

234건의 혈관주위 상피모양세포 종양 증례를 대상으로 진행된 수술적인 절제술 후 재발에 영향을 미치는 인자에 대한 연구에서 재발한 예는 38건이었고 진단 후 재발까지의 기간은 1-180개월로 다양하였으며 중앙값은 23개월이었다. 원발 부위에서 재발한 경우가 15건으로 가장 많았으며 폐, 간, 중추 신경계, 골 전이가 뒤를 이었다[3]. Folpe 등[7]이 제시한 여섯 가지 고위험 요소 중에서는 종양의 크기가 5 cm이상일 때와 높은(1/50 HPF) 유사분열 지수의 정도를 재발의 가장 중요한 예측인자로 규정하였다[3].

혈관주위 상피모양세포 종양은 국소적인 재발이나 단일전이 병변일 경우 외과적인 절제술 시행이 도움이 된다는 보고가 있다. 하지만 발생빈도가 적고 추적 기간이 짧아 재발에 대한 예측인자가 명확하지 않은 상태이기 때문에 악성도가 높은 일부 고위험 군에 대하여 항암보조화학요법 및 방사선 치료가 시도되었으나 그 효과에 대해서는 아직 규명되어야 할 부분이 많다[3].

전이성, 재발성 혈관주위 상피모양세포 종양에서는 고식적 항암화학요법과 최근에 대두되는 m-TOR 억제제가 치료법으로 알려져 있다. 고식적 항암요법은 효과가 크지 않은 것으로 알려졌으나 혈관주위 상피모양세포 종양이 연부조직 육종의 범주에 포함되기에 연부조직 육종에서 효과가 입증된 doxorubicin과 ifosfamide를 투여하여 효과를 나타낸 결과가 보고되었다. Scheppach 등[8]은 혈관주위 상피모양세포 종양의 수술적 절제 후에 재발한 경우에서 doxorubicin과 ifosfamide를 투여한 결과 9개월간의 질병 무진행을 보고하였다.

혈관주위 상피모양세포 종양에서 m-TOR 신호전달경로의 과발현을 억제하는 암 억제 유전자의 일종인 Tuberous sclerosis complex (TSC)1이나 TSC2 유전자의 돌연변이가 확인되었으며 이로 인해 m-TOR 신호전달경로의 과발현이 혈관주위 상피모양세포 종양 발생에 관여한다는 연구 결과가 발표되었다[7]. 이를 근거로 Shitara 등[9]은 좌측 신절제술 후 비장 및 골반에 전이가 된 환자에서 everolimus를 매일 10 mg 씩 투여한 뒤 2개월 후 복부 전산화단층촬영에서 종양의 감소를 확인하였으며 7개월간의 추적관찰에서도 진행되지 않음을 보고하였다. 이러한 증례보고 이후 Diskson 등[10]이 발표한 자료에 따르면 전 세계적으로 약 11명의 혈관주위 상피모양세포 종양 환자들에게 m-TOR 억제제가 투여되었다. 11명의 환자 중 TSC1과 TSC2 유전자 돌연변이 검사를 시행한 환자는 7명이었으며 6명에서 돌연변이 양성이 확인되었다. 6명의 유전자 이상이 확인된 증례들에서 m-TOR 억제제 치료에 대한 효과는 4명의 완전관해, 1명의 부분관해, 1명의 안정병변 상태를 나타냈으며 TSC1과 TSC2 유전자 돌연변이 음성인 환자의 경우 진행병변을 나타냈다[10]. 증례보고와 문헌고찰을 종합해 치료원칙을 세운다면 전이성, 재발성 혈관주위 상피모양세포 종양으로 확인된 경우에서 우선적으로 TSC1 또는 TSC2 돌연변이 검사를 시행해야 할 것이다. TSC1 또는 TSC2 돌연변이가 양성이면 m-TOR 억제제를 투여하고 음성인 경우에 환자의 활동도가 고식적 항암화학요법에 견딜 수 있다면 doxorubicin과 ifosamide의 병합투여를 고려할 것으로 사료된다. 고식적 항암화학요법에 실패한 경우와 환자의 활동도가 저하된 TSC1 또는 TSC2 돌연변이 음성인 경우에는 m-TOR 억제제 투여의 시도를 고려할 수 있으나 그 효과에 대해서는 추가적인 연구가 필요할 것이다.

전이성, 재발성 혈관주위 상피모양세포 종양에 대하여 많은 증례연구와 장시간의 추적관찰이 필요한 상태로 향후 악성화 및 재발 위험성의 예측인자 규명과 효과적인 치료방법에 대한 다양한 노력이 필요할 것으로 사료된다.

References

1. Bonetti F, Pea M, Martignoni G, Zamboni G. PEC and sugar. Am J Surg Pathol 1992;16:307–308.
2. Vang R, Kempson RL. Perivascular epithelioid cell tumor('PEComa') of the uterus: a subset of HMB-45-positive epithelioid mesenchymal neoplasms with an uncertain relationship to pure smooth muscle tumors. Am J Surg Pathol 2002;26:1–13.
3. Bleeker JS, Quevedo JF, Folpe AL. "Malignant" perivascular epithelioid cell neoplasm: risk stratification and treatment strategies. Sarcoma 2012;2012:541626.
4. Kim KH, Jang BI, Kim TN, et al. A case of perivascular epithelioid cell tumor (PEComa) arising in the colon. Korean J Med 2007;72:540–545.
5. Cho YW, Kim KJ, Ye BD, et al. A case of a perivascular epithelioid cell tumor mimicking colon cancer. Korean J Gastroenterol 2012;60:377–381.
6. Prasad ML, Keating JP, Teoh HH, et al. Pleomorphic angiomyolipoma of digestive tract: a heretofore unrecognized entity. Int J Surg Pathol 2000;8:67–72.
7. Folpe AL, Kwiatkowski DJ. Perivascular epithelioid cell neoplasms: pathology and pathogenesis. Hum Pathol 2010;41:1–15.
8. Scheppach W, Reissmann N, Sprinz T, Schippers E, Schoettker B, Mueller JG. PEComa of the colon resistant to sirolimus but responsive to doxorubicin/ifosfamide. World J Gastroenterol 2013;19:1657–1660.
9. Shitara K, Yatabe Y, Mizota A, Sano T, Nimura Y, Muro K. Dramatic tumor response to everolimus for malignant epithelioid angiomyolipoma. Jpn J Clin Oncol 2011;41:814–816.
10. Dickson MA, Schwartz GK, Antonescu CR, Kwiatkowski DJ, Malinowska IA. Extrarenal perivascular epithelioid cell tumors (PEComas) respond to mTOR inhibition: clinical and molecular correlates. Int J Cancer 2013;132:1711–1717.

Article information Continued

Figure 1.

Bulky delayed-enhancing mass in the omentum of the left upper to mid abdomen, with a high supply of blood from the surrounding dilated mesenteric omental arteries.

Figure 2.

The specimen consists of a huge nodular mass and attached portion of colon. On section, it has a whitish fish-flesh appearance with a large area of hemorrhagic necrosis.

Figure 3.

Microscopically, there are polygonal epithelioid tumor cells arranged in packets or nests along thin blood vessels (H&E, × 200) (A). Mitotic figures are frequent (H&E, × 400) (B). Tumor cells show positive immunoreactivity to HMB-45 (HMB-45, × 200) (C) and focal positive immunoreactivity to smooth muscle actin (Actin, × 200) (D).

Figure 4.

Multiple hematogenously spread hepatic metastases ranging in size from a few mm up to 2.5 cm in segment VII (A). Recurrent tumor as peritoneal carcinomatosis with multiple nodular masses of various sizes scattered in the omentum and mesentery from the perihepatic and left subphrenic space extending into the rectovesical space (B).