폐정맥 폐색을 동반한 원발성 심장 골육종 1예

A Case of Primary Cardiac Osteosarcoma with Pulmonary Vein Obstruction

Article information

Korean J Med. 2015;89(2):233-237
Publication date (electronic) : 2015 August 1
doi : https://doi.org/10.3904/kjm.2015.89.2.233
Division of Hematology/Oncology, Department of Internal Medicine, Korea University College of Medicine, Seoul, Korea
유은상, 강은주, 김홍준, 강가원, 송지영, 전지호, 김준석,
고려대학교 의과대학 내과학교실 혈액종양내과
Correspondence to Jun Suk Kim, M.D. Division of Hematology/Oncology, Department of Internal Medicine, Korea University Guro Hospital, Korea University College of Medicine, 148 Gurodong-ro, Guro-gu, Seoul 152-703, Korea Tel: +82-2-818-6651, Fax: +82-2-862-4453, E-mail: kjs6651@kumc.or.kr
Received 2014 September 17; Revised 2014 October 13; Accepted 2014 October 16.

Abstract

본 증례의 경우 기저 질환이 없었던 건강한 여성으로, 폐정맥의 완전 폐색을 동반한 좌심방 원발성 심장 골육종을 진단받았으나, 증상 발생 1개월 이내에 적극적인 근치적 절제를 시행하였고 수술 이후 회복이 순조로워 곧이어 추가적인 항암 치료를 시행할 수 있었던 점, 진단 당시 원격 전이가 없었으며 경도의 승모판 부전 이외 심장의 다른 구조물에 이상이 없었던 점, 그리고 이전과 비교하여 월등히 발달한 심장수술 기술 또한 양호한 예후의 이유로 고려할 수 있을 것으로 생각된다. 환자는 항암 치료 종료 후 3년째 재발 없는 상태를 유지 중으로 같은 위치에 발생하여 동일하게 폐정맥 침범을 보인 여타 원발성 심장 골육종 증례와 비교하여 단연 양호한 결과를 보이고 있어, 근치적 절제의 적극적 시행 및 추가 항암 요법의 중요성을 강조하기에 바람직한 증례로 이에 보고하는 바이다.

Trans Abstract

Primary cardiac osteosarcoma is extremely rare. We herein report a case involving a 31-year-old woman with a 2-week history of left upper trunk pain and hemoptysis. She was diagnosed with primary cardiac osteosarcoma with pulmonary vein obstruction and successfully treated via surgical resection and chemotherapy.

서 론

대부분의 심장 종양은 전이성 종양으로, 그 유병률은 원발성 심장 종양의 20배에서 40배에 달한다. 원발성 심장 종양의 대부분은 양성 종양이며, 그중에서도 가장 흔한 질환은 심방성 점액종(myxoma)이다[1,2]. 점액종을 제외한 원발성 심장 종양은 0.002-0.33%의 빈도로 나타나는 매우 희귀한 질환으로 이 중 악성 종양은 25% 이하이다[3]. 악성 종양 중 33%는 혈관 육종(angiosarcoma), 20%는 횡문근육종(rhabdomyosarcoma), 15%는 중피종(mesothelioma), 10%는 섬유종(fibroma)이다. 심장에 발생하는 원발성 골육종(osteosarcoma)은 더욱 빈도가 낮아 전체 심장 종양의 1.1% 정도에 지나지 않는다. 골육종은 공격적인 성향의 종양으로 재발과 원격 전이의 빈도가 높다. 진단 시 종괴의 완전 절제가 가능한 경우가 많지 않으며, 완전 절제를 시행하더라도 장기적인 예후는 좋지 않다[4]. 본 증례에서는 폐정맥의 완전 폐색이 동반된 원발성 심장 골육종을 진단받았으나, 종양 절제 및 보조 항암 치료 시행 후 3년째 재발 없는 상태를 유지하고 있는 31세 여성 환자를 보고하고자 한다.

증 례

환 자: 31세 여성

주 소: 내원 2주 전부터 시작된 왼쪽 어깨, 등, 가슴의 통증과 객혈

현병력: 상기 주소로 타원에서 시행한 흉부 전산화 단층 촬영에서 좌심방 종물 소견을 보여 본원으로 내원하였다.

과거력: 특이병력 없음.

사회력 및 가족력: 특이소견 없음.

신체 검진: 분당 72회의 규칙적인 심박동을 보였으며 혈압은 100/70 mmHg이었고 체온은 37.8℃였다. 심음 청진상 째깍음(click) 또는 마찰음(rub)은 저명하지 않았으나 제2심음이 분리되어 청진되었다.

검사실 소견: 혈액 검사, 생화학 검사, 심근 효소 검사에서 특이 소견은 없었으며, N-terminal-pro-B-type natriuretic peptide 308.8 pg/mL이었다.

심전도 소견: 정상 동리듬을 보였다.

흉부 X-선 검사 소견: 좌상엽에 반점형 혼탁(patchy opacity) 소견이 있었다.

객담 및 혈액 배양 검사: 배양된 균은 없었다.

심초음파 소견: 좌심방 후벽 거의 전체를 뿌리로 하여 좌상부 폐정맥까지 자라난 직경 54 mm의 고에코상 종괴가 발견되었다. 종괴로 인해 발생한 경도의 승모판 역류(grade 2)와 좌상부 폐정맥의 완전 폐색이 동반되어 있었다(Fig. 1).

Figure 1.

(A) Transthoracic and (B) transesophageal echocardiograms demonstrating a large, immobile left atrial mass extending from the LA posterior wall to the left pulmonary vein with LUPV occlusion. Left, parasternal long-axis view. Ao, aorta; LA, left atrium; LV, left ventricle; RV, right ventricle; LUPV, left upper pulmonary vein.

흉부 전산화 단층 촬영 소견: 좌심방 내에 위치한 아령 모양의 저음영 종괴가 관찰되었고, 이 종괴는 좌상부 폐정맥 입구에 맞닿아 있었다. 폐 좌상엽에 폐정맥 폐색으로 인한 울혈 소견으로 추정되는 반점형 젖빛유리 음영과 소엽간 중격 비후 및 좌측 흉막 삼출액이 동반되어 있었다(Fig. 2).

Figure 2.

Contrast-enhanced computed tomography of the heart in the (A) mediastinal and (B) lung windows. A large mass (arrows) was observed extending into the ostium of the left superior pulmonary vein, showing a peripheral wedge-shaped ground-glass opacity. Interlobular septal thickening was observed in the left upper lobe (arrowheads), suggesting pulmonary congestion due to venous blockage.

심장 자기공명영상(magnetic resonance imaging) 소견: 좌심방 종괴는 T2 weighted 영상에서는 고신호 강도(high signal intensity), T1 weighted 영상에서는 동신호 강도(Iso-signal intensity)로 나타났으며, 균일하지 않은 조영 증강을 보였다(Fig. 3).

Figure 3.

Contrast-enhanced magnetic resonance imaging of the heart in (A) T1-weighted and (B) T2-weighted views. A well-circumscribed, dumbbell-shaped lesion was observed, which showed high-signal intensity in the T2-weighted image and iso-signal intensity in the T1-weighted image (arrows).

양전자 단층 촬영 소견: 심장 종괴 부위의 불소화 포도당(fluorodeoxyglucose, FDG) 섭취율이 높게 나타났으며 다른 부위에는 FDG 섭취가 뚜렷하지 않았다.

뼈 스캔 검사: 골 종양과 다른 골 전이 여부를 확인하기 위해 시행하였으며, 특이 소견은 관찰되지 않았다.

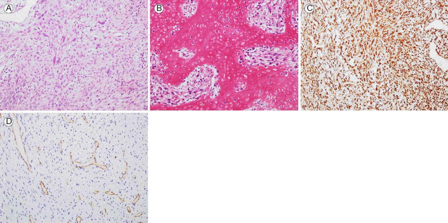
치료 및 임상경과: 환자는 진단 및 치료를 위해 심장 종괴 절제술을 시행하였으며, 수술장에서 확인한 육안 소견 및 동결 절편 소견상 육종으로 보였다. 이에 종괴의 완전 절제 및 육종 기시부인 좌심방 후상벽 대부분을 완전 절제한 후 재건 및 삼첨판 수복술을 시행하였다. 육안상 절제한 종괴는 4.5 cm × 3.5 cm × 3.5 cm 크기의 분홍색 구 형태였으며, 조직 검사상 대부분이 방추 세포(Spindle cell)로 구성되어 있었으나 일부에서 악성 조골 세포(Osteoblast)가 관찰되었다. 10 high power field당 유사분열 세포는 10-15개로 관찰되었으며 괴사 소견은 20% 정도로 상기 소견을 종합하였을 때 French Fédération Nationale des Centres de Lutte Contre le Cancer 등급에서 총 8점으로 grade 3에 해당하였다. 파라핀 고정 후 시행한 면역 염색 검사에서 악성 세포는 vimentin 항체에 양성 반응을 보였고 cytokeratin, desmin, CD34, S-100 단백 항체에는 음성으로 골육종으로 진단되었다(Fig. 4).

Figure 4.

Histopathological findings of a tumor specimen. The greater part of the mass comprised spindle cells (A, ×40 magnification, hematoxylin-eosin staining), but one portion of the mass showed bone tissue and malignant osteoblasts (B, ×200 magnification, hematoxylin-eosin staining). Immunohistological staining revealed that the tumor tissue was positive for vimentin (C, ×200 magnification) and negative for CD34 (D, ×200 magnification).

환자는 조직 검사 최종 보고에서 절제면에 악성 세포 침습이 동반되어 있었기 때문에 수술 후 추가적 항암 치료를 시행하였다. 환자는 시스플라틴(cisplatin)과 아드리아마이신(adriamycin) 항암 치료를 총 4회 시행 받았고, 항암 치료 종료 후 시행한 심장 초음파 및 양전자 단층 촬영상 잔여 종괴나 재발 소견은 관찰되지 않았다. 현재 환자는 항암 치료 종료 후 3년째이며 재발 없이 외래를 통해 경과관찰 중이다.

고 찰

원발성 심장 골육종은 매우 드문 질환으로, 심장뿐 아니라 심장 주변 장기를 침범하여 관련 증상을 유발함으로써 심혈관 질환과 매우 흡사한 양상을 보이며, 심장 폐색, 심부전, 흉통, 실신, 폐 고혈압, 부정맥으로 인한 급사에 이르기까지 모든 증상을 나타낼 수 있다[3].

증례의 환자는 왼쪽 어깨부터 시작된 좌측 상반신의 통증 및 객혈을 주소로 내원하였다. 객혈은 좌심방 후벽에서 기시한 커다란 종괴로 인해 좌상부 폐정맥이 막히면서 생긴 폐정맥 울혈로 인해 발생하였다. 원발성 심장 골육종은 흔히 좌심방과 승모판을 침범하는데, 좌심방과 바로 연결되어 있는 장기인 폐정맥의 경우 골육종 침범이 수차례 보고된 바 있으나, 대개 원격 전이 또는 급사와 동반되어 보고된 증례 대부분의 예후가 좋지 않았던 것으로 알려져 있다[1,5].

골육종을 포함하여 심장 종괴는 진단 시 다른 심장 질환의 감별 및 혈역학적 이상을 평가하기 위해 심장 초음파 검사가 필요하다. 심장 초음파상 심장 종양이 의심될 경우, 수술 전 심장 종양의 악성 가능성을 평가하는 것은 결과에 따라 보다 광범위한 절제를 고려해야 할 수 있다는 점에서 매우 중요하다[4]. 따라서 추가적으로 전산화 단층 촬영이나 자기 공명 영상을 시행하여 종양의 크기 및 모양과 원발 위치, 그리고 조성에 대한 중요한 정보를 얻을 수 있다[3]. 원발성 심장 골육종은 매우 빈도가 낮지만 좌심방에 호발하기 때문에, 이와 마찬가지로 좌심방에 호발하는 종양인 점액종과 감별이 필요하다. 영상 소견으로 점액종과 골육종을, 그리고 전이성 골육종과 원발성 골육종을 구분하기 위한 기준으로 종괴의 형태 및 운동 정도, 석회화 유무 등 다양한 소견이 제시되었으나 소견 자체의 모호성이나 환자의 개인차 등의 문제로 아직까지는 영상의학적 검사만으로 확실한 감별 진단을 하기는 어렵다[3,6]. 따라서 골육종의 확진은 병리 및 면역병리 검사를 통해 이루어진다[7].

원발성 심장 골육종 종괴의 대부분은 섬유육종(fibrosarcoma) 또는 악성 섬유성 조직구육종(fibrous histiosarcoma)으로 구성되어 있으며 종괴의 일부분에서만 골육종 또는 연골육종(chondrosarcoma) 소견이 나타난다[3]. 이처럼 심장 골육종은 여러 종류의 세포로 불균일하게 구성된 종양이기 때문에 특이적인 단일 면역 염색 표지자가 없다. 먼저 중간엽 종양(mesenchymal tumor)의 공통 표지자인 vimentin 면역 염색에 양성 반응을 보이면서 CK 및 desmin, CD34, CD45 및 S100에 음성이라면 흑색종 및 신경 수초 종양, 혈관종, 림프종 등을 배제할 수 있으며, 상기 소견에 더하여 조직에서 악성 조골 세포가 확인되면 골육종을 진단할 수 있다. 추가적으로 유잉육종(Ewing’s sarcoma)이나 신경 외배엽 종양에서 양성을 보이는 CD99 (MIC-2)의 음성을 확인함으로써 감별 진단에 도움을 받을 수 있다[7].

본 증례는 진단 당시 폐정맥의 완전 폐색이 동반되었던 좌심방 골육종 증례임에도 수술 후 추가적인 항암 치료까지 환자가 특별한 합병증 없이 회복하여 매우 양호한 경과를 보였다는 점에서 다른 증례와 차별성을 갖는다. 실제로 폐정맥 침범이 동반되었던 증례들을 살펴보면, 1991년 Burke 등[1]이 보고한 9명의 원발성 심장 골육종 환자 중 본 증례와 같이 폐정맥 침범은 있었으나 원발 전이는 없었던 57세 여성과 24세 여성은 모두 수술 후 사망하였다. 1998년 발열 및 호흡 곤란, 기침으로 내원한 32세 남성은 마찬가지로 전이 없이 폐정맥 침범만 동반된 좌심방의 골육종을 진단받았으나 종괴 기시부가 너무 넓어 수술적 절제 시행이 불가능하였고 경과관찰 중 원격 전이가 새롭게 발생하여 진행하면서 진단 5개월 뒤 사망하였다[5].

상기 환자들은 모두 2000년대 이전의 증례로 오늘날의 심장 수술 환경과 당시의 환경을 동일하다고 간주하기는 어렵지만, 개흉 및 전신 마취가 요구되는 심장 수술은 오늘날에도 어려운 치료라는 것은 변함이 없다. 그러나 종양의 완전 절제는 원발성 심장 골육종의 가장 효과적인 치료이기 때문에 가장 우선적인 치료로 고려되어야 한다. 종괴를 제거하지 않을 경우 심장 내부 구조 및 주변 조직에 폐색, 침습 및 색전을 유발하여 급사 등의 치명적인 경과로 진행할 수 있으므로 완전 절제를 기대할 수 없는 상황이더라도 가능하면 수술을 시행할 필요가 있다. Fujino 등[8]은 2년 전 원발성 심장 골육종의 근치적 절제 수술을 시행한 41세 남성의 양쪽 심방에 재발한 종괴에 대해 2차 절제 수술 및 수술 후 방사선, 항암 병합 치료를 시행하여 첫 수술 후 61개월 이상 생존한 증례를 보고하였다. 최근에는 심장 내 종괴가 절제하기 어려운 위치에 있을 경우, 심장을 적출하여 환자의 체외에서 종괴 절제 및 재건을 시행하고 다시 자가 심장 이식을 시행하는 방법도 보고되고 있다[9]. 수술 이후의 치료에 대해서 현재까지 정립된 표준 치료는 없으나, 골육종은 수술적 절제 이후에도 재발 및 전이 발생률이 높은 질환이기 때문에[3] 수술 후 생존기간의 연장을 목표로 추가적인 항암 요법이나 방사선 치료를 고려할 수 있다[10].

References

1. Burke AP, Cowan D, Virmani R. Primary sarcomas of the heart. Cancer 1992;69:387–395.
2. Kim JS, Cho BJ, Rhee MS, Yang YK. A case of secondary osteogenic sarcoma of the heart. Korean J Med 1967;10:131–134.
3. Nowrangi SK, Ammash NM, Edwards WD, Breen JF, Edmonson JH. Calcified left ventricular mass: unusual clinical, echocardiographic, and computed tomographic findings of primary cardiac osteosarcoma. Mayo Clin Proc 2000;75:743–747.
4. Aguilar CA, Donet JA, Galarreta CI, Yabar A. A primary cardiac osteosarcoma: Case report and review of the literature. J Cardiol Cases 2013;7:e29–e33.
5. Zanella M, Falconieri G, Bussani R, Sinagra G, Della Libera D. Polypoid osteosarcoma of the left atrium: report of a new case with autopsy confirmation and review of the literature. Ann Diagn Pathol 1998;2:167–172.
6. Bae JH, Hong GR, Lee SH, et al. Primary Cardiac Osteosarcoma. Korean Circ J 2006;36:764–766.
7. Bahrami A, Truong LD, Ro JY. Undifferentiated tumor: true identity by immunohistochemistry. Arch Pathol Lab Med 2008;132:326–348.
8. Fujino S, Miyoshi N, Ohue M, et al. Primary osteosarcoma of the heart with long-term survival: A case report of laparoscopic resection of a metastatic sarcoma in the intestine. Oncol Lett 2014;8:1599–1602.
9. Reardon MJ, Malaisrie SC, Walkes JC, et al. Cardiac autotransplantation for primary cardiac tumors. Ann Thorac Surg 2006;82:645–650.
10. Zhang PJ, Brooks JS, Goldblum JR, et al. Primary cardiac sarcomas: a clinicopathologic analysis of a series with follow-up information in 17 patients and emphasis on long-term survival. Hum Pathol 2008;39:1385–1395.

Article information Continued

Figure 1.

(A) Transthoracic and (B) transesophageal echocardiograms demonstrating a large, immobile left atrial mass extending from the LA posterior wall to the left pulmonary vein with LUPV occlusion. Left, parasternal long-axis view. Ao, aorta; LA, left atrium; LV, left ventricle; RV, right ventricle; LUPV, left upper pulmonary vein.

Figure 2.

Contrast-enhanced computed tomography of the heart in the (A) mediastinal and (B) lung windows. A large mass (arrows) was observed extending into the ostium of the left superior pulmonary vein, showing a peripheral wedge-shaped ground-glass opacity. Interlobular septal thickening was observed in the left upper lobe (arrowheads), suggesting pulmonary congestion due to venous blockage.

Figure 3.

Contrast-enhanced magnetic resonance imaging of the heart in (A) T1-weighted and (B) T2-weighted views. A well-circumscribed, dumbbell-shaped lesion was observed, which showed high-signal intensity in the T2-weighted image and iso-signal intensity in the T1-weighted image (arrows).

Figure 4.

Histopathological findings of a tumor specimen. The greater part of the mass comprised spindle cells (A, ×40 magnification, hematoxylin-eosin staining), but one portion of the mass showed bone tissue and malignant osteoblasts (B, ×200 magnification, hematoxylin-eosin staining). Immunohistological staining revealed that the tumor tissue was positive for vimentin (C, ×200 magnification) and negative for CD34 (D, ×200 magnification).