서 론
흉부 대동맥확장증에 대한 수술은 오랜 역사를 가진 표준적인 치료 방법이나 수술 관련 사망은 4-21%로 여전히 높게 보고되고 있다[1]. 증상을 동반하지 않는 흉부 대동맥확장증의 특성상 질환의 조기 발견이 어려운데 특히 파열된 흉부 대동맥확장증으로 응급수술을 받는 경우 병원 내 사망률은 50% 이상으로 매우 높다[2]. 흉부 대동맥확장증 치료 방법으로 스텐트 그라프트를 이용한 중재적 치료는 수술이 필요하나 동반된 질환이나 나이 등으로 수술이 어려운 환자에서 덜 침습적인 방법으로 치료하고자 도입되었고 기구와 시술 방법의 발전하면서 현재 주요한 치료법으로 많이 시행되고 있다. 흉부 대동맥확장증에 대한 중재적 치료 초기에는 시술과 기구와 관련된 합병증이 많았으나 시술 경험이 쌓이고 한층 향상된 기구들이 선보이면서 점차 좋은 결과들을 보여주고 있다. 현재까지의 많은 연구결과들은 수술에 비해 중재적 치료가 시술 시간과 중환자실 입원 기간이 짧고 전체 입원기간이 단축되며 시술관련 합병증 및 사망률이 적은 것으로 보고하고 있다[1,3].
본 론
적응증
흉부대동맥확장증은 가장 흔한 흉부대동맥 중재적 치료의 적응증으로, 파열의 위험성이 수술로 인한 위험성보다 큰 경우 치료의 적응증이 된다. 대부분의 흉부대동맥확장증은 증상이 동반되지 않기 때문에 시술을 결정할 때는 환자의 동반된 질환이나 삶의 질을 고려하여 결정하여야 한다. 증상이 없는 경우 일반적인 중재적 치료의 적응증은 직경이 6 cm 이상인 경우이다. 통증이 동반된 경우는 파열에 임박하거나 파열로 진행되는 것을 의미하기 때문에 크기에 관계없이 중재적 치료의 적응증이 된다. 크기가 6 cm 이하인 경우에는 정기적으로 추적 관찰하면서 크기가 6 cm 이상이 되거나 1년에 1 cm 이상 커지는 경우 파열의 위험성이 높으므로 시술의 적응증이 된다(Fig. 1) [1,4].
금기증
유일한 절대적 금기증은 기구의 재질에 과민반응이 있는 경우이다. 상대적 금기증은 시술을 위한 대퇴동맥 등 접근 혈관의 크기가 작거나 석회화가 심해 스텐트 그라프트 삽입이 어려운 경우, 봉인부위(sealing zone)의 길이가 충분하지 않는 경우 그리고 환자가 전신적 감염증이 있는 경우이다. 대퇴동맥을 이용한 시술이 여의치 않은 경우 다른 경로, 즉 경동맥이나 좌심실을 통한 시술이 이루어지기도 한다[5].
시술
스텐트 그라프트
중재적 치료에 쓰이는 스텐트 그라프트는 수술적 치료에 이용되는 그라프트에서 착안하여 만들어진 것으로 대동맥확장증의 근위부와 원위부에 그라프트가 달린 스텐트가 복원력(radial force)을 이용하여 밀착되게 함으로써 병변을 치료할 수 있게 제작되었고 현재는 초기의 제품들의 단점을 보완한 기구들이 개발되어 사용되고 있다. 스텐트 그라프트 근위부에는 시술 후 스텐트 그라프트가 혈압에 의해 원위부로 밀리는 것을 방지하기 위해 제품을 생산하는 회사마다 특징적인 갈고리(barb 혹은 hook)가 달려 있거나 근위부에 스텐트가 추가적으로 달려 있기도 하다. 복부대동맥에 비해 흉부대동맥은 대동맥궁 부분에 굴곡이 있고 혈압으로 인한 저항을 많이 받으며 대동맥벽의 탄력성이 높고 시술 중 역행적 대동맥 박리증의 위험성이 크다는 특징이 있다. 굴곡된 대동맥궁에 스텐트 그라프트를 시술할 때 특징적으로 나타나는 새부리모양(bird beaking) 현상을 줄이기 위해 스텐트 그라프트의 근위부 스텐트 부분을 없애거나 스텐트를 좀 더 촘촘하게 만들고 미리 대동맥궁의 굴곡에 맞게 약간은 구부러진 형태로 제작하거나 굴곡에 좀 더 잘 적응하는 재질로 만드는 등 다양한 방법으로 최적화된 기구를 만들려고 노력하고 있다. 이외에도 경동맥 등 주요 분지혈관에도 시술할 수 있게 만들어진 특수한 스텐트 그라프트(fenestrated stent graft, branched stent graft) 등도 개발되어 현재 일부에서 사용되고 있다.
시술 전 계획
성공적인 시술을 위해 시술 전 명확한 영상 자료를 기반으로 정확한 계획을 짜는 것이 중요하다. 일반적으로 조영제 증강 전산화단층혈관촬영이나 자기공명혈관촬영을 이용하여 목에서부터 대퇴골 경부까지의 영상을 얻는다. 근위부 봉인 부위를 확보하기 위해 좌쇄골하동맥을 막을 필요가 있는 경우에는 뇌혈관이나 척추동맥의 협착이나 폐쇄 여부를 알아보기 위해 추가적으로 두경부 전산화단층혈관촬영이 필요하다. 경우에 따라 이러한 영상을 기반으로 3차원 영상이나 굽어진 혈관을 펼침으로써 정확한 해부학적 위치 혹은 길이를 평가할 수 있는 프로그램이 필요할 수 있다(예, TeraRecan). 이러한 프로그램을 통해 대동맥과 각 분지혈관의 정확한 크기 및 위치를 파악할 수 있고, 스텐트 그라프트의 직경과 길이를 정할 때 중요한 정보를 얻을 수 있다. 전산화단층혈관촬영은 대동맥뿐만 아니라 장골동맥 및 대퇴동맥까지 포함하여 찍어야 하는데 이는 시술할 때 접근 혈관에 대한 정보를 얻는 것이 중요하기 때문이다.
접근혈관 평가
일반적으로 양쪽 대퇴동맥을 이용하여 시술하게 되는데 한 쪽은 스텐트 그라프트 전달시스템, 다른 한쪽은 진단용 카테터를 넣기 위해 사용된다. 대퇴동맥, 장골동맥의 크기, 동맥경화증의 정도, 혈관의 굴곡성 등을 영상을 이용하여 사전에 평가한 후 결정하게 된다. 대개 크기가 크면서 석회화가 적고 굴곡이 적은 혈관을 따라 스텐트 그라프트를 넣게 된다. 혈관의 직경이 충분하고 석회화가 없다면 혈관절개(cut-down) 없이 혈관지혈기구(preclose technique)를 이용하여 시술을 할 수 있다[6]. 만약 양쪽 대퇴동맥의 크기가 충분치 않다면 인조혈관을 이용한 우회혈관을 만들어 시술할 수 있다. 심한 석회화를 동반한 협착이 있는 경우 시술이 불가능할 수 있고 무리할 경우 혈관 천공의 가능성이 있어 주의해야 한다.
봉인부위 길이
근위부, 원위부 봉인부위가 적절한지를 평가하는 것이 시술의 성패를 좌우한다. 근위부 봉인부위는 좌쇄골하동맥 끝에서 흉부대동맥확장증의 시작점이 된다. 이 길이가 15 mm 이하라면 좌쇄골하동맥을 넘어서 시술할 수도 있다. 이때 좌쇄골하동맥을 재관류할 것인가에 대해서는 아직 논란이 많으나[7] 어쩔 수 없이 좌쇄골하동맥을 막아야 한다면 주요 신경학적 합병증을 예방하기 위해 두경부 혈관에 대한 충분한 검사를 시행하여야 한다. 일반적으로 뇌혈관의 후방순환이 충분하지 않은 경우, 왼쪽 척추동맥이 큰 경우, 오른쪽 척추동맥에 협착이 있거나 막혀 있는 경우, 전에 내흉동맥을 이용하여 관동맥우회술을 한 경우, 우쇄골하동맥이 선천적으로 작은 경우 시술 전 재관류를 해주는 것이 좋다고 알려져 있다. 또한 긴 스텐트 그라프트 시술을 계획하는 경우 허혈성 척수 손상의 가능성이 높으므로 재관류를 해주는 것이 좋은데 특히 전에 복부대동맥 수술을 받은 경우 측부 혈류가 감소되어 있으므로 재관류를 해주는 것이 좋다. 원위부 봉인부위의 길이는 흉부대동맥확장증의 끝에서부터 복강동맥(celiac artery)까지이다. 복강동맥 역시 필요에 따라 막을 수는 있지만 이 역시 시술 전 측부 혈류가 충분한지 확인하는 것이 중요하다. 상장간동맥(superior mesenteric artery)에 협착이 없는 경우 복강동맥이 막혀도 별 문제가 없는 것으로 보고되고 있다[8].
스텐트 그라프트의 직경
혈관벽과의 밀착력을 강화시키기 위해 혈관 직경보다 10-15% 이상 큰 스텐트 그라프트를 선택하게 된다[9]. 가능하다면 수축기 때 대동맥의 외경을 기준으로 스텐트 그라프트를 선택한다. 봉인부위의 동맥 모양이 원형이 아니라면 장경과 단경의 평균을 구한 후 이를 기준으로 선택하게 된다. 현재 가용한 스텐트 그라프트의 최대 직경이 46 mm이므로 봉인부위의 직경이 40-42 mm 이하인 혈관에서 정하는 것이 좋다. 근위부 봉인부위와 원위부 봉인부위의 직경이 차이가 심할 경우 근위부와 원위부의 직경이 다른 직경감소형 스텐트 그라프트를 사용할 수 있다.
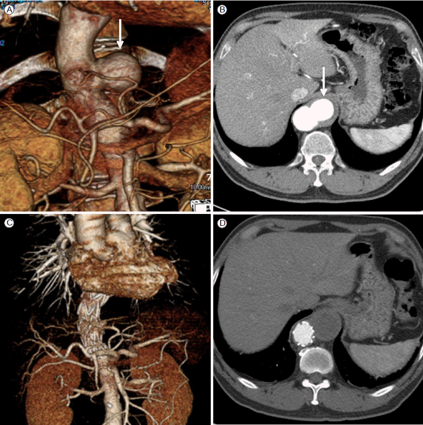
대동맥궁을 침범하는 흉부대동맥확장증
경우에 따라서 근위부 봉인부위의 길이가 충분하지 않을 경우 좌쇄골하동맥을 넘어서 스텐트 그라프트를 시술할 수도 있는데 이때 주요 분지혈관의 우회술이 필요할 수도 있다(Fig. 2). Ishimaru [10]는 근위부 봉인부위의 위치에 따라 5개의 구역으로 나눠 구분하였다(Fig. 2A).
만약 zone 0/1에 스텐트 그라프트를 시술한다면 시술 전 완두동맥이나 좌총경동맥을 좀 더 근위부 쪽으로 우회술하여 근위부 봉인부위를 충분히 확보한 후 스텐트 그라프트를 시술하게 된다(Fig. 3). 우회술 없이 좌쇄골하동맥을 막는 것에 대해서는 아직 논란이 여지가 있는데 일반적으로 시술 전 두경부 혈관들을 충분히 검사한 후 재관류 여부를 결정하게 된다. 수술적 방법은 다양하다.
합병증
1. 흉부대동맥 병변에 대한 중재적 치료와 관련된 사망률은 5-6% 정도 보고되고 있는데[1,11] 이는 대동맥 질환에 따라 다양하게 나타난다. 파열되지 않은 흉부 대동맥확장증의 중재적 시술의 단기(30일 이내) 사망률은 2%인 반면 파열된 흉부 대동맥확장증의 치료 단기 사망률은 23%에 이른다[12]. 추적 기간에 따라서도 다르게 나타나는데 1, 2, 3년 사망률이 각각 5.8, 16, 28%로 보고되고 있다[1]. 수술적 치료에 비해 중재적 시술이 단기 사망률을 감소시키기는 했으나 이러한 효과는 1년이 지나면서 상쇄되는 것으로 알려져 있다[13].
2. 대동맥 수술 후 생기는 신경학적 합병증은 치명적으로 환자의 사망, 질환, 삶의 질과 밀접한 연관이 있다. 중재적 시술 후 생기는 뇌혈관 질환은 3-5%로 일반적인 심장수술의 그것도 비슷하다[1,4]. 대동맥 중재적 시술이 심폐우회를 피하고 뇌혈관의 허혈과 미세혈전색전증을 줄이기는 했으나 여전히 높은 수치이다. 중재술과 관련된 뇌혈관 질환의 대부분은 색전증에 의한 것으로 주로 시술할 때 사용하는 철선이나 스텐트 그라프트의 조작과정에서 발생한다. 향후에는 이러한 기구들이 병이 있는 대동맥과 접촉을 최소화하는 방법으로 접근하거나 스텐트 그라그라프 설치할 때 일시적으로 뇌혈관을 가는 동맥을 차단하는 방법 혹은 필터 등을 이용하여 혈전이 날라가는 것을 방지하는 시술법들이 도움이 될 것으로 보인다.
3. 중재적 시술과 관련된 척수손상은 과거의 5-7%보다 줄어 최근에는 2-3% 정도 보고되고 있다[14]. 가장 중요한 요소는 중재적 시술로 인해 척수로 가는 동맥이 얼마나 광범위하게 막히냐 하는 것이다. 척수로 공급되는 혈액의 대부분은 척추동맥에서 기원하는 전척수동맥과 후척수동맥을 통해 공급된다. 이들이 흉부, 요추, 천골동맥 그리고 하복동맥(hypogastric artery)과 연결되어 척수에 혈액을 공급하게 된다. 이렇게 거미줄처럼 엮여 있는 조그만 혈관들이 중재적 시술로 인해 일부 혈관이 막히게 되면 혈액의 흐름이 변하면서 시술 후 며칠 동안 적응기간을 거치면서 척수에 혈액을 공급하게 된다. 일반적으로 흉부대동맥에 스텐트 그라프트를 시술하는 경우 이러한 혈관들이 연결되어 있어 시술로 인한 척수 손상이 생기는 경우는 매우 드물고 다만 이전에 대동맥 수술을 받았거나 혈관이 손상된 경우, 동맥 경화증이 아주 심한 경우 척수 손상의 가능성은 커지게 된다. 그 외의 위험인자로는 시술 중 혈압이 낮게 유지되거나 신손상이 동반된 경우이다. 대동맥 확장증에서 중재적 시술은 수술적 치료에 비해 척수손상으로 인한 마비의 위험성이 적은 편이다. 이는 수술적 치료 시 대동맥을 일시 차단(clamping)함으로써 척수의 허혈과 부종을 유발하고 척수강내 압력을 올리기 때문이다. 척수액 배액이 이러한 척수 손상을 줄일 수 있는 방법 중의 하나이다. 이와 더불어 혈압을 올리고 심박출량을 증가시키며 중심정맥압을 떨어뜨리고 아울러 빈혈과 저산소증을 같이 교정하는 것이 중요하다. 또 하나 간과해서 안될 점은 척수액 배액 자체가 상당한 합병증이 동반될 수 있는 시술이라는 점을 항상 염두에 두고 꼭 필요한 경우에 하는 것이 좋다. 흉부 대동맥확장증의 중재적 치료에 있어 또 다른 논점 중에 하나가 시술 중 좌쇄골하동맥의 폐쇄에 관한 것이다. 아직 증거가 충분하지 않지만 현재의 표준 치료 지침은 대동맥 스텐트 그라프트 시술 전 필요한 경우 좌쇄골하동맥을 우회술을 통해 재건하는 것이다. 연구에 따라 다른 결과를 보이고 있지만 최근 메타분석 자료를 보면 예방적 좌쇄골하동맥 우회술을 하지 않는 경우 뇌졸중과 척수 손상이 높다는 보고가 있었다. 좌내흉동맥을 이용한 관동맥 우회술을 받았거나 좌측팔을 이용하여 혈액 투석을 받는 경우, 경동맥이나 척추동맥에 동맥경화로 인해 협착이 있는 경우에는 좌쇄골하동맥 재건술을 할 것을 권고하고 있다.
4. 혈관 손상: 특히 혈관의 굴곡이 심하거나 기존의 협착 병변이 있는 경우에는 큰 직경의 도입관이나 스텐트 그라프트 전달시스템의 사용으로 인하여 혈관의 박리 또는 파열 등이 나타날 수 있다. 그 밖에 강직형 가이드 와이어의 잘못된 사용으로 대동맥의 분지로 삽입된 경우에는 혈관 손상으로 인한 심한 합병증이 나타날 수 있다.
5. 색전증: 스텐트 그라프트, 가이드 와이어 또는 풍선도자 등의 사용으로 인하여 대동맥 내 또는 대동맥확장증 내 존재하는 죽상경화반의 일부나 또는 혈전들이 원위부나 대동맥 분지로 색전될 수 있다.
6. 대동맥분지의 폐쇄: 스텐트 그라프트의 삽입으로 인하여 대동맥 분지의 기시부가 폐쇄되어 장기의 허혈이 나타날 수 있다.
7. 시술 후 증후군(post-implant syndrome): 일반적으로 40℃ 이하의 열이나 처짐, 등통이 동반하는 증상으로 시술 후 10일까지 지속될 수 있다. 보고에 따라서는 50% 정도까지 나타난다고 한다.
8. 혈관 내 누수(endoleak): 시술 후 생길 수 있는 혈관 내 누수는 주요한 합병증 중의 하나로 종류에 따라 흉부대동맥 확장증의 진행을 억제하기 위해 치료가 필요하다. 1형 혈관 내 누수는 스텐트 그라프트가 밀착되는 봉인 부위에 발생하는 것으로 반드시 치료를 요한다. 2형 혈관 내 누수는 흉부 대동맥확장증과 연결된 분지 혈관을 통해 혈류가 역류하여 확장증내로 들어오는 것으로 일반적으로 치료가 필요치 않으나 추적 검사에서 이로 인해 확장증이 커지면 추가적인 치료가 필요할 수 있다. 3형 혈관 내 누수는 병변이 길어 2개 이상의 스텐트 그라프를 시술하는 경우 서로 겹치는 부위에서 누수가 발생하는 것으로 이 또한 발생 당시 치료가 필요하다. 4형 혈관 내 누수는 스텐트 그라프트 재질 자체의 문제로 발생하는 것으로 일반적으로 치료가 필요하지 않으나 흉부 대동맥확장증이 커지는 양상이면 치료가 추가적인 치료가 필요할 수 있다. 5형 혈관 내 누수는 뚜렷한 혈관 내 누수가 관찰되지 않으면서 흉부 대동맥확장증이 커지는 경우 의심해볼 수 있는데 이는 스텐트 그라프트 내 압력이 흉부 대동맥확장증에 전달되면서 커지는 것으로 생각하고 있는데 흉부 대동맥확장증이 커지는 양상이면 역시 추가적인 치료가 필요하다.
해결해야 할 과제
젊은 환자에서의 중재적 시술
역사적으로 중재적 치료는 수술의 고위험군인 고령의 환자들을 위해 도입되어 발전되어 왔다. 하지만 수술이 가능한 젊은 환자들도 수술에 비해 덜 침습적인 중재적 치료를 선호함으로써 중재적 치료의 적응증에 대해 재정립할 필요가 있다. 고령의 환자에 비해 젊은 환자들은 봉인지역의 대동맥의 크기가 작고 접근혈관이 작으며 대동맥궁의 굴곡이 심하다. 병변이 없는 정상대동맥은 시간이 지나면서 점점 커지는 것으로 알려져 있는데 젊은 환자들에서 스텐트 그라프트를 시술하는 경우 스텐트 그라프트가 커지는 대동맥을 따라가지 못함으로써 지연된 혈관 내 누수가 생길 가능성이 높다. 또 다른 문제점은 중재적 치료 후 일정 간격으로 추적 검사를 시행하게 되는데 주로 전산화단층혈관촬영을 이용하게 되고 이 경우 지속적인 방사선 노출에 따른 위험성이 있다. 따라서 젊은 환자들에서는 이러한 점들을 고려하여 중재적 치료 여부를 신중하게 결정하여야 하고 가능하다면 수술적 치료를 하는 것도 좋은 방법이다.


PDF Links
PubReader
ePub Link
Full text via DOI
Download Citation
Print






