Adenosine Deaminase 수치가 높은 골수종 흉수 1예

Myelomatous Pleural Effusion with Elevated ADA Activity

Article information

Korean J Med. 2016;91(3):316-320
Publication date (electronic) : 2016 December 1
doi : https://doi.org/10.3904/kjm.2016.91.3.316
1Department of Internal Medicine, Korea Cancer Center Hospital, Korea Institute of Radiological and Medical Sciences, Seoul, Korea
2Department of Pathology, Korea Cancer Center Hospital, Korea Institute of Radiological and Medical Sciences, Seoul, Korea
문한주1, 신동엽1, 김혜련1, 박연원1, 우승민1, 차진훈1, 한강희2
1한국원자력의학원 원자력병원 내과
2한국원자력의학원 원자력병원 병리과
Correspondence to Dong-Yeop Shin, M.D., Ph.D.  Department of Internal Medicine, Korea Cancer Center Hospital, 75 Nowon-ro, Nowon-gu, Seoul 01812, Korea  Tel: +82-2-970-1246, Fax: +82-2-970-2410, E-mail: baramg@hanmail.net
*

Current affiliation: Division of Hematology and Medical Oncology, Department of Internal Medicine, Seoul National University Hospita

Received 2016 February 22; Revised 2016 May 23; Accepted 2016 July 11.

Abstract

다발성 골수종은 주로 골수와 골격계로 발생하는 질환이다. 다발성 골수종 환자에서 흉수의 발생은 6% 정도이며 주된 원인은 심부전, 결핵이나 폐렴, 폐색전증, 신부전, 저알부민혈증 등이고, 다발성 골수종이 직접적으로 흉수의 원인이 되는 경우는 1% 내로 매우 드문 것으로 알려져 있다.흉수 검사에서 ADA 수치가 50 IU/L 이상일 경우 결핵성 흉수 진단에 중요한 생체지표가 된다. 때문에 일반적으로 흉수로 인한 호흡곤란을 호소하여 내원한 환자의 흉수 검사에서 림프구성 삼출액으로 ADA 수치가 높을 경우 결핵성 흉수를 우선적으로 고려해야 한다.저자들은 다발성 골수종으로 항암 치료를 받는 47세 여자가 2달 동안 좌측과 우측으로 독립적인 흉수 증가가 있었고 우측 흉수는 림프구성 삼출액으로 ADA 수치가 100 IU/L 이상 상승하여 결핵성 흉수에 대해 감별 검사를 해야 했으나 흉수의 AFB 염색 및 배양과 TB-PCR 결과가 음성으로 확인되었고 세포병리에서 형질세포종이 포함되어 최종적으로 골수종 흉수로 진단한 1예를 경험하였기에 ADA 수치가 상승된 골수종 흉수에 대한 문헌고찰과 함께 증례를 보고하는 바이다.

Trans Abstract

Multiple myeloma is a plasma cell neoplasm mainly involving the bone marrow and skeletal system. Myelomatous pleural effusion is rare, accounting for less than 1%. In cases with high adenosine deaminase (ADA) activity, with lymphocytic exudate in the pleural fluid, tuberculous pleural effusion should be differentiated first. We report herein a rare case of a unilateral pleural effusion in a patient who was undergoing chemotherapy for multiple myeloma, with an ADA level of > 100 IU/L and lymphocytic exudate in the pleural fluid. An acid fast bacillus stain and polymerase chain reaction test for tuberculosis were negative. Consequently, the patient was diagnosed with myelomatous pleural effusion with elevated ADA activity.

서 론

다발성 골수종(multiple myeloma)은 단일 클론에서 유래하는 형질세포의 악성 증식성 질환으로 고칼슘혈증, 신부전, 빈혈, 골병변 등의 증상을 특징으로 하는 혈액암이다[1]. 다발성 골수종은 주로 골수와 골격계를 침범하며, 흉수의 발생은 드문 것으로 알려져 있다. 흉수의 원인은 심부전, 결핵이나 폐렴, 폐색전증, 신부전, 저알부민혈증 등으로 알려져 있으며, 직접적으로 다발성 골수종이 원인이 되는 경우는 1% 내로 매우 드문 것으로 알려져 있다[2,3].

저자들은 다발성 골수종으로 항암 치료 중이던 47세 여자가 좌측 흉수가 발생하여 흉수천자를 시행하였고 골수종 흉수(myelomatous pleural effusion)로 진단되어 항암요법 변경 후 증상이 호전되었으나 2달 뒤 우측 흉수가 새로 발생하여 흉수천자 검사를 시행하였고, 좌측 흉수와 다르게 림프구성 삼출액이며 adenosine deaminase (ADA)가 100.3 IU/L로 높게 상승되어 결핵성 흉수(tuberculosis pleural effusion)를 고려하였으나 이후 mycobacterium tuberculosis polymerase chain reaction (TB-PCR)과 acid fast bacillus (AFB) 염색 및 배양 결과 모두 음성이었고 흉수의 세포병리에서 형질세포종(plasmacytoma)이 관찰되어 골수종 흉수로 진단하였다. 이에 ADA가 상승되어 결핵성 늑막염과 감별해야 했던 골수종 흉수 1예를 보고하는 바이다.

증 례

환자: 47세 여자

주소: 호흡곤란

현병력: 다발성 골수종으로 2013년 진단되어 복합화학요법 및 자가조혈모세포이식을 시행받은 환자로 2달 전 좌측 골수종 흉수로 인한 호흡곤란 소견으로 입원하여 4차 항암요법으로 dexamethasone, cyclophosphamide, etoposide, cisplatin (DCEP) 복합화학요법 시행 후 호전되어 퇴원했던 병력이 있으며 2일 전부터 일상생활이 힘든 정도의 호흡곤란이 새로이 발생하여 내원하였다.

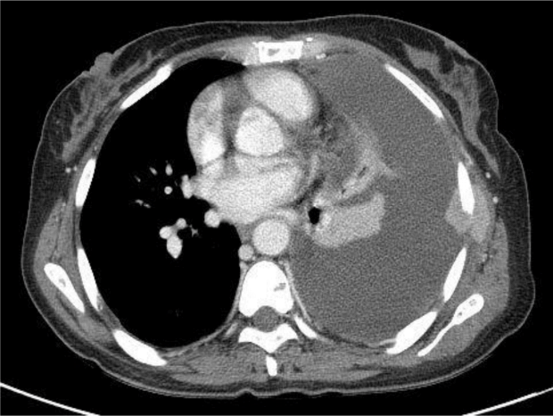
과거력: 2013년 4월 4일 혈청면역전기영동(immunofixation electrophoresis) 검사에서 음성이었고, 혈청단백전기영동(protein electrophoresis) 검사에서 M-peak 소견은 보이지 않았으며, serum free light chain Kappa/Lambda ratio (sFLC)에서 0.035, 골수 조직검사에서 형질세포(plasma cells)가 2.2% 포함되어 free lambda 아형의 다발성 골수종이 진단되었다. 2013년 4월부터 8월까지 vincristine, adriamycin, dexamethasone (VAD) 관해유도요법 4주기 시행 후 2013년 9월 말초혈액조혈모세포이식을 시행하였고, 2015년 1월 재발하여 1월부터 2월까지 velcade, dexamethasone (VD) 복합화학요법 2주기를 시행하였으며 이후 불응 소견으로 2015년 3월부터 5월까지 cyclophosphamide, lenalidomide, dexamethaxone (CRD) 복합화학요법 3주기를 시행하였다. 2015년 6월 2일 좌측 흉수로 인한 호흡곤란을 호소하여 입원하였고, 흉부 전산화단층촬영에서 다량의 좌측 흉수가 보이며 좌측 흉벽에서 체외뼈 형질세포종(extraosseous plasmacytomas)의 크기가 증가하였다(Fig. 1). 흉수 천자 검사에서 fluid pH 7.22, fluid cell count white blood cell (WBC) 130개/μL, red blood cell (RBC) 90,000개/μL (poly 2%, lympho 10%, macro 10%, others 78%), ADA 43.6 IU/L, lactate dehydrogenase (LDH) 676 U/L, total protein 3.5 g/dL, albumin 2.5 g/dL, glucose 70 mg/dL이며 흉수의 세포병리 검사에서 일부의 형질세포종이 의심되는 비정형세포들(atypical cells)이 관찰되었고 sFLC 수치는 2015년 4월 27일 0.316 (kappa/lambda = 10.24 mg/L/32.38 mg/L)에서 0.077 (7.63 mg/L/98.69 mg/L)로 감소하여 골수종 흉수로 진단하였다. 2015년 6월 5일부터 7월 29일까지 DCEP 복합화학요법으로 변경하여 2주기를 시행하였고 sFLC 수치는 0.557 (4.91 mg/L/8.81 mg/L)로 상승하며 환자는 호흡곤란 증상이 호전되어 퇴원하였다.

Figure 1.

Chest computed tomography scan. Left pleural effusion of large volume was detected, and extraosseous plasmacytomas in the left chest wall was increased in size.

가족력: 특이 사항이 없었다.

신체 검사 소견: 2015년 8월 17일 내원시 혈압 110/70 mmHg, 체온 36.5℃, 맥박수 96회/분, 호흡수 22회/분이었고 의식은 명료하였으며. 결막 및 공막은 정상이었고 두경부 진찰에서 특이 증상은 없었다. 흉부 청진에서 우측 폐부위로 호흡음이 감소되었고 타진에서 탁음이 들렸으며 심잡음은 청진되지 않았다. 복부 검사에서 압통은 없었고 장음도 정상이었으며 사지에 함요 부종 및 압통은 없었다. 피부발진이나 관절의 특이 소견도 보이지 않았다.

검사실 소견: 일반 혈액 검사에서 백혈구 수 1.940/mm3 (호중구 66.0%), 혈색소 10.4 g/dL, 혈소판수 38,000/mm3였다. AST/ALT 29/23 IU/L, ALP 200 IU/L, LDH 649 U/L, total protein 6.2 g/dL, albumin 4.1 g/dL, calcium 9.6 mg/dL, blood urea nitrogen/creatinine 10.1/0.6 mg/dL, prothrombin time 14.4초(11.5-14.8초), partial thromboplastin time 43.4초(29-42초)였다. B형 간염 항원은 음성이었고 항체는 양성이었다. C형 간염 및 human immunodeficiency virus (HIV), venereal disease research laboratory (VDRL) 항체 전부 음성이었다.

우측 흉수 천자 검사에서 fluid pH 7.59, specific gravity 1.024, fluid cell count WBC 1,000개/μL, RBC 2,250개/μL (poly 2%, lympho 46%, macro 34%, others 18%), ADA 100.3 IU/L, LDH 628 U/L, total protein 2.7g/dL, albumin 1.9 g/dL, glucose 146 mg/dL였다.

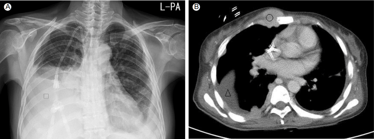
방사선학적 소견: 2015년 8월 17일 시행한 흉부 X선 촬영에서 다량의 우측 흉수 소견을 보였다(Fig. 2A). 2015년 8월 24일 시행한 흉부 전산화단층촬영에서 6월 2일 영상 소견에 비해 대부분의 흉벽내 체외뼈 형질세포종이 감소 소견을 보였으나 우측 흉수와 함께 우측 전 흉벽 부위로 체외뼈 형질세포종이 새로 발생하였다(Fig. 2B).

Figure 2.

Chest X-ray and chest computed tomography (CT) scan. (A) Right pleural effusion of large volume was detected (□). (B) Extraosseous plasmacytomas in the right anterior chest wall was increased in size (○), and the right pleural effusion was of lesser volume (△) than that noted in the CT scan 2 months previously.

병리학적 소견: 2015년 8월 18일 흉수의 세포병리에서 세포질(cytoplasm)이 풍부하고 한 쪽으로 치우친(eccentrically) 핵을 가지고 있으며 수레바퀴 모양(cartwheel arrangement)의 특징적인 모습이 관찰되었다(Fig. 3A). 면역조직화학염색에서 CD138에 대해 양성 반응을 보여 골수종 흉수 진단에 도움이 되었다(Fig. 3B).

Figure 3.

Histological and immunohistochemical findings of the aspirated specimen. (A) Examination at higher magnification (×600) revealed cells with abundant cytoplasm and eccentrically one-sided nuclei. The nuclei of cells in the right 2/3 spot exhibit a coarsely clumped chromatin pattern (circle), which is known as a “cartwheel arrangement”. These findings are consistent with those of plasmacytoma. (B) Immunohistochemistry confirmed the diagnosis of plasmacytoma, as evidenced by immunoreactivity for CD138 (Immunohistochemistry, ×400).

치료 및 경과: 2015년 8월 17일 환자는 호중구감소증(neutropenia) 소견이 있었으나 호흡곤란 이외에 체중 감소, 기침, 가래, 발열 등 다른 증상은 호소하지 않았고 새롭게 나타난 우측 흉수에 대해서 우측 경피적 도관배액술(percutaneous catheter drainage) 시행 후 호흡곤란은 호전되었다. 흉수에 대한 검사 결과에서 림프구성 삼출액으로 ADA 100.3 IU/L까지 상승되어 있어 결핵성 흉수를 의심하였으나 흉수의 TB-PCR과 AFB 염색 및 배양 검사에서 모두 음성이었고 2015년 8월 24일 시행한 흉부 전산화단층촬영에서 이전에 비해 대부분의 흉벽내 체외뼈 형질세포종이 감소 소견을 보였으나 우측 전 흉벽의 체외뼈 형질세포종이 새로 발생하였으며 흉수의 세포병리 검사에서 형질세포종이 포함되어 있어 골수종 흉수로 최종 진단하였다. 진단 후 2015년 8월 26일 시행한 sFLC 수치 또한 0.01 (1.36 mg/L/482.80 mg/L) 미만으로 감소한 것을 확인하였으나 환자의 상태를 고려하여 항암요법 변경 및 투약을 중단하며 보존적 치료로 전환하였고, 환자는 1개월 뒤 질병의 진행으로 사망하였다.

고 찰

다발성 골수종 환자들이 5% 미만에서 임상적으로 분명한 체외뼈 증상들을 보이는 것으로 알려져 있는데, 주된 임상적인 증상은 빈혈, 감염의 재발, 출혈, 골 소실(bone loss), 고칼슘혈증, 신부전(renal failure) 등이다[1,4]. 다발성 골수종 환자에서 다양한 원인으로 인한 흉수가 약 6% 정도에서 생길 수 있는 것으로 알려져 있으며, 주된 원인은 심부전, 결핵이나 폐렴, 폐색전증, 신부전, 저알부민혈증 등의 다발성 골수종의 흉막침범 이외의 기전이다[2,3]. 직접적으로 다발성 골수종이 흉수에 관여하게 되는 것은 1% 내로 알려져 있으며 형질세포종의 흉벽내 확장, 흉막으로 골수종의 직접적인 연루, 이차적인 림프절 침범에 의한 림프폐색(lymphatic obstruction) 등에 의한 것으로 생각된다[2,3]. 골수종 흉수는 주로 IgG, IgA 골수종 환자에서 발생하고 출혈성 흉수(hemorrhagic pleural effusion)도 자주 관찰된다. 대부분의 골수종 흉수는 세포병리 검사를 통해 진단할 수 있으며 흉수의 양이 적을 경우 흉막 생검(pleural biopsy)을 고려해볼 수 있고 혈액 검사를 통해 beta-2 microglobulin, LDH, C-reactive protein 상승 소견을 확인해볼 수 있다. 골수종 흉수가 발생한 환자의 예후는 좋지 않으며 중앙 생존 기간(median survival time)은 4개월 미만으로 보고된다[4].

ADA는 아데노신(adenosine)과 디옥시아데노신(deoxyadenosine)을 이노신(inosine)과 디옥시이노신(deoxyinosine)으로 탈아미노화하는 것을 촉매하는 효소로 T-림프구(T-lymphocyte)와 대식세포(macrophage)로부터 생성되며 세포면역을 반영하는 지표이다[5]. 흉수에서 ADA 수치는 50 IU/L 이상일 경우 결핵성 흉수 진단에 중요한 생체지표(biomarker)가 되며 전체적으로 민감도(sensitivity)와 특이도(specificity)를 각각 86%와 88% 정도 가진다는 최근 메타분석(meta-analysis) 보고가 있으며[6], 일본에서 시행한 1995년부터 2008년 동안 435명의 환자에 대한 코호트(cohort) 연구에서 ADA는 결핵성 흉수에 대한 85%의 민감도를 가지며 결핵성 흉수의 ADA 평균 값은 70.8 IU/L로 악성 종양에 의한 흉수(malignant pleural effusion)의 ADA 평균 값 19.0 IU/L와 큰 차이를 보인다는 보고가 있다[7]. 또한 결핵성 흉수 이외에 비호즈킨성림프종(non-Hodgkin’s lymphoma) 환자의 흉수에서도 ADA 수치가 증가된 경우가 보고되나 63명의 환자에 대한 회고분석(retrospective analysis)을 통해 ADA 수치가 40 IU/L 이상 올라가는 경우는 오직 27.5%에 불과하다고 하는 보고도 있다[8].

ADA는 T-림프구의 활동과 관련된 효소로 흉수에서 높게 관찰된다면 활동성 국소 염증반응의 지표가 되기 때문에 ADA 수치 증가는 면역 체계(immune system)의 활성(activity) 또는 변화(alteration)를 나타내며 대부분의 ADA가 증가된 골수종 흉수를 가진 환자에서 특히 종격동(mediastinum) 주변부 림프절 증가가 있는 것을 설명할 수 있다는 주장도 있다[9]. 본 증례에서는 종격동 림프절의 증가는 없었으나 우측 전 흉벽 체외뼈 형질세포종이 관찰되었다.

저자들은 다발성 골수종으로 항암 치료 중인 환자에서 좌측 흉수와 함께 좌측 흉벽내 형질세포종이 관찰되었고 세포병리 검사에서 형질세포종으로 의심되는 비정형세포들이 관찰되었으며 흉수의 cell count에서 WBC 130개/μL, RBC 90,000개/μL (poly 2%, lympho 10%, macro 10%, others 78%), ADA 43.6 IU/L로 골수종 흉수를 진단하여 항암요법 변경 후 흉수량이 감소하는 것을 확인하였다. 그러나 2달 뒤 우측 흉수가 좌측과 독립적으로 새로 발생하였고 흉수 검사에서 좌측 흉수 검사 결과와 다르게 ADA 100.3 IU/L, 림프구 우세 삼출액(poly 2%, lympho 46%, macro 34%, others 18%) 소견을 보여 결핵성 흉수 고려하였으나 이후 확인한 흉수의 TB-PCR과 AFB 염색 및 배양 결과 모두 음성이었고 흉수의 세포병리에서 형질세포종이 포함되어 있으며 흉부 전산화단층촬영에서 우측 전 흉벽으로 체외뼈 형질세포종이 새롭게 발생한 것을 확인하여 골수종 흉수로 진단하였다.

본 증례는 극히 낮은 확률의 골수종 흉수가 좌측과 우측에서 독립적으로 나타났으며 좌측 흉수와 다르게 나중에 발생한 우측 흉수 검사에서 ADA 수치가 100 IU/L 이상 높고 림프구 우세 삼출액으로 결핵성 흉수와 감별해야 했던 골수종 흉수 환자로 일반적으로 흉수로 인한 호흡곤란을 호소하여 내원한 환자의 흉수 검사에서 림프구 우세 삼출성 흉수에서 ADA 수치가 증가하였을 때 결핵성 흉수를 먼저 고려해야 하나 골수종 흉수의 가능성도 생각해볼 수 있다는 점에서 의미 있는 보고라 하겠다.

References

1. Kyle RA, Rajkumar SV. Multiple myeloma. N Engl J Med 2004;351:1860–1873.
2. Kintzer JS Jr, Rosenow EC 3rd, Kyle RA. Thoracic and pulmonary abnormalities in multiple myeloma. A review of 958 cases. Arch Intern Med 1978;138:727–730.
3. Elloumi M, Frikha M, Masmoudi H, et al. Plasmocytic pleural effusion disclosing multiple myeloma. Rev Mal Respir 2000;17:495–497.
4. Kamble R, Wilson CS, Fassas A, et al. Malignant pleural effusion of multiple myeloma: prognostic factors and outcome. Leuk Lymphoma 2005;46:1137–1142.
5. Light RW. Update on tuberculous pleural effusion. Respirology 2010;15:451–458.
6. Gui X, Xiao H. Diagnosis of tuberculosis pleurisy with adenosine deaminase (ADA): a systematic review and meta-analysis. Int J Clin Exp Med 2014;7:3126–3135.
7. Ogata Y, Aoe K, Hiraki A, et al. Is adenosine deaminase in pleural fluid a useful marker for differentiating tuberculosis from lung cancer or mesothelioma in Japan, a country with intermediate incidence of tuberculosis? Acta Med Okayama 2011;65:259–263.
8. Yao CW, Wu BR, Huang KY, Chen HJ. Adenosine deaminase activity in pleural effusions of lymphoma patients. QJM 2014;107:887–893.
9. Zhang LL, Li YY, Hu CP, Yang HP. Myelomatous pleural effusion as an initial sign of multiple myeloma-a case report and review of literature. J Thorac Dis 2014;6:E152–E159.

Article information Continued

Figure 1.

Chest computed tomography scan. Left pleural effusion of large volume was detected, and extraosseous plasmacytomas in the left chest wall was increased in size.

Figure 2.

Chest X-ray and chest computed tomography (CT) scan. (A) Right pleural effusion of large volume was detected (□). (B) Extraosseous plasmacytomas in the right anterior chest wall was increased in size (○), and the right pleural effusion was of lesser volume (△) than that noted in the CT scan 2 months previously.

Figure 3.

Histological and immunohistochemical findings of the aspirated specimen. (A) Examination at higher magnification (×600) revealed cells with abundant cytoplasm and eccentrically one-sided nuclei. The nuclei of cells in the right 2/3 spot exhibit a coarsely clumped chromatin pattern (circle), which is known as a “cartwheel arrangement”. These findings are consistent with those of plasmacytoma. (B) Immunohistochemistry confirmed the diagnosis of plasmacytoma, as evidenced by immunoreactivity for CD138 (Immunohistochemistry, ×400).