![]() |
![]() |
| Korean J Med > Volume 101(1); 2026 > Article |
|
AUTHOR CONTRIBUTIONS
Kyung Hoon Kim contributed to the conceptualization, literature search, drafting, and revision of the manuscript.
Jin Woo Song supervised the study, provided conceptual guidance, critically revised the manuscript for important intellectual content, and approved the final version of the manuscript.
| Morphologic patterns by pathology and imaging |
Major clinical-radiologic-pathologic diagnoses |
|
|---|---|---|
| Secondarya | Primary/idiopathic | |
| Interstitial patterns | ||
| Usual interstitial pneumonia (UIP) | Secondary UIP (e.g., CTD, HP, medications) | Idiopathic pulmonary fibrosis (Idiopathic UIP) |
| Nonspecific interstitial pneumonia (NSIP) | Secondary NSIP (e.g., CTD >>> HP, medications) | Idiopathic NSIP |
| Bronchiolocentric interstitial pneumonia (BIP) | Secondary BIP (e.g., HP >>> CTD, aspiration, inhalational exposures, medications) | Idiopathic BIP (provisional diagnosis) |
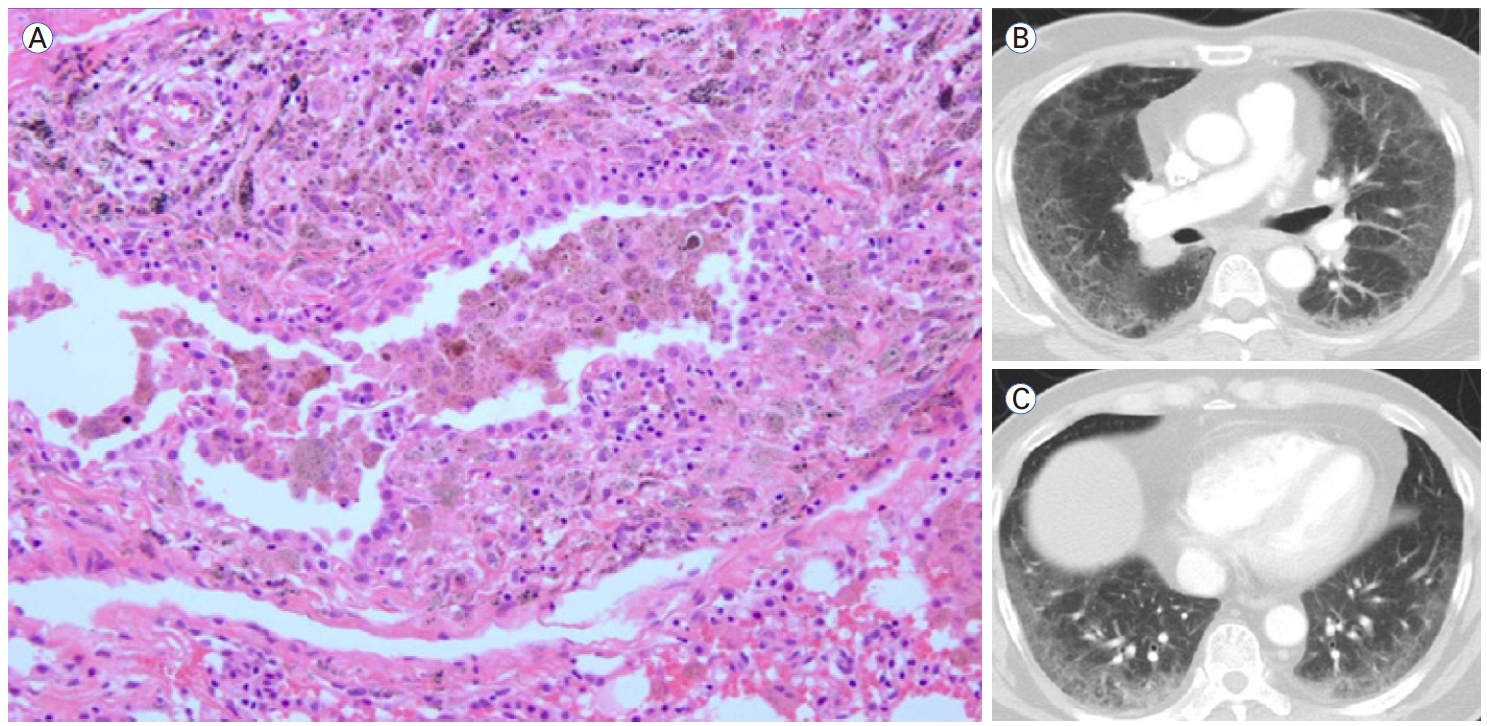
| Diffuse alveolar damage (DAD) | Secondary DAD (multiple causes) | Idiopathic DAD (acute interstitial pneumonia) |
| Pleuroparenchymal fibroelastosis (PPFE) | Secondary PPFE (e.g., IPF, CTD, HP, medications, radiation, transplant [restrictive allograft syndrome], pulmonary infection [post-tuberculosis], occupational) | Idiopathic PPFE |
| Lymphoid interstitial pneumonia (LIP) | Secondary LIP (e.g., CTD, immune deficiency) | Idiopathic LIP |
| Alveolar filling patterns | ||
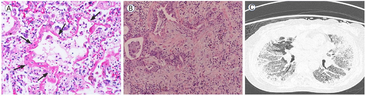
| Organizing pneumonia (OP) | Secondary OP (e.g., CTD, post-infectious, medications, aspiration) | Cryptogenic OP (idiopathic OP) |
| Respiratory bronchiolitis-ILD (RB-ILD) | Secondary RB-ILD (e.g., smoking >>> CTD, medications, aspiration, hereditary) | Idiopathic RB-ILD |
| Alveolar macrophage pneumonia (AMP) | Secondary AMP (e.g., smoking >>> CTD, medications, aspiration, hereditary) | Idiopathic AMP |
| Rare alveolar filling disorders | Acute & chronic eosinophilic pneumonia, pulmonary alveolar proteinosis, lipoid pneumonia | |
| Others | ||
| Combined pattern | Multiple combinations (e.g., NSIP + OP, UIP + PPFE) | |
| Unclassifiable pattern | Unclassifiable ILD (multiple undefined patterns) | |
UIP, usual interstitial pneumonia; IPF, idiopathic pulmonary fibrosis; NSIP, nonspecific interstitial pneumonia; CTD, connective tissue disease; GGO, ground glass opacity; BIP, bronchiolocentric interstitial pneumonia; HP, hypersensitivity pneumonitis; DAD, diffuse alveolar damage; CTD-ILD, connective tissue disease-associated interstitial lung disease; PPFE, pleuroparenchymal fibroelastosis; LIP, lymphoid interstitial pneumonia; OP, organizing pneumonia; COP, cryptogenic organizing pneumonia; RB-ILD, respiratory bronchiolitis-interstitial lung disease; AMP, alveolar macrophage pneumonia.
|
Radiological-histological patterns |
Common differential diagnosis | |
|---|---|---|
| Dominant | Co-existinga | |
| UIP | NSIP | IPF, CTD-ILD, HP |
| BIP | HP, CTD-ILD, coexistent airway injury of other cause | |
| PPFE | Combined IPF and PPFE, CTD-ILD | |
| DAD | Acute exacerbation of IPF or other secondary UIP (e.g., CTD-ILD) | |
| AMP | IPF + smoking-related ILD | |
| NSIP | UIP | IPF, CTD-ILD, HP |
| OP | CTD-ILD, post-DAD, inhalation injury, HP, drug reaction | |
| BIP | HP, CTD-ILD | |
| LIP | CTD-ILD, drug-induced, post-viral (HIV, EBV) | |
| PPFE | Idiopathic PPFE, CTD-ILD | |
| BIP | OP | CTD-ILD, HP |
| UIP | HP | |
| NSIP | HP, CTD-ILD | |
| LIP | CTD-ILD | |
| PPFE | Idiopathic PPFE | |
| OP | NSIP | Post-infection, CTD-ILD, inhalation injury, HP, drug reaction |
| UIP | CTD-ILD, acute exacerbation of IPF | |
| BIP | HP, CTD-ILD | |
UIP, usual interstitial pneumonia; NSIP, nonspecific interstitial pneumonia; IPF, idiopathic pulmonary fibrosis; CTD-ILD, connective tissue disease-associated interstitial lung disease; HP, hypersensitivity pneumonitis; BIP, bronchiolocentric interstitial pneumonia; PPFE, pleuroparenchymal fibroelastosis; DAD, diffuse alveolar damage; AMP, alveolar macrophage pneumonia; ILD, interstitial lung disease; OP, organizing pneumonia; LIP, lymphoid interstitial pneumonia; HIV, human immunodeficiency virus; EBV, Epstein-Barr virus.

![]() |
![]() |