후천면역결핍증후군 환자의 Mycobacterium avium Complex 복막염 1예
- 정혜진, 김윤정, 신승환, 이상아, 김민정, 장현하, 김신우
Mycobacterium avium Complex Peritonitis in an Acquired Immune Deficiency Syndrome Patient
- Hyejin Jung, Yoon Jung Kim, Seunghwan Shin, Sang Ah Lee, Min Jung Kim, Hyun-Ha Chang, Shin-Woo Kim
- Received April 4, 2016; Revised July 25, 2016; Accepted July 30, 2016;
- Abstract
-
41세 여자 AIDS 환자의 파종 MAC 감염이 복막염으로 진단된 사례를 경험하였다. AIDS 환자에서 MAC 복막염은 매우 드문 예이나 CD4 세포 수가 감소하고 HAART 순응도가 낮은 환자에게서 감별 진단으로 MAC 감염을 고려해야 할 것이다.
- Abstract
-
Mycobacterium avium complex (MAC) is an opportunistic bacterium that primarily infects acquired immune deficiency syndrome (AIDS) patients with low CD4+ T cell counts; however, peritonitis caused by MAC in AIDS patients is rare. Here, we report the first case of peritonitis caused by MAC in AIDS patients in Korea. A 41-year-old female with poor adherence to antiretroviral therapy was admitted to hospital with nonspecific symptoms; an abdominal computed tomography (CT) scan revealed substantial ascites, splenomegaly, and lymphadenopathy. Based on the CT scan and ascitic fluid cultures, MAC peritonitis was diagnosed. In addition to antiretroviral therapy, clarithromycin, rifabutin, and ethambutol were administered to treat the MAC infection, and the patient’s symptoms improved.
- 서 론
- 서 론
Mycobacterium avium complex (MAC) 감염증은 후천면역결핍증후군(acquired immune deficiency syndrome, AIDS) 환자의 후기 합병증으로 흔하며[1] CD4+ T세포 수가 50 개/μL 미만일 때 파종감염으로 종종 나타나지만 복막염까지 발생하는 경우는 드물다[2]. 고강도 항레트로바이러스요법(highly active antiretroviral therapy, HAART) 시대가 도래한 이후에도 치료 순응도가 낮거나 HAART를 접할 수 없는 환자 혹은 약제 내성으로 HAART에 실패한 환자들에서 MAC 감염이 발생한다[3]. 따라서 여전히 MAC 감염이 감별 진단으로 중요한 의미를 가질 수 있다.본 증례는 41세 여자 AIDS 환자가 불규칙한 HAART 복용으로 인한 CD4+ T세포 수 감소 후 오한, 발열, 전신 쇠약 및 식욕저하와 같은 비특이적인 증상으로 입원과 퇴원을 반복하며 항생제 및 보존적인 치료를 하였으나 추후 MAC 복막염으로 진단된 예를 경험하여 국내에서 처음으로 보고하는 바이다.
- 증 례
- 증 례
41세 여자가 입원 5개월 및 3개월 전에도 열, 오한, 근육통의 비특이적인 증상을 주소로 입원하였다. 환자는 13년 전 사람면역결핍바이러스(human immunodeficiency virus, HIV) 감염을 진단받고 감염내과 외래 추적 관찰 초기부터 약물 치료를 임의로 거부하면서 불규칙적으로 항레트로바이러스제를 복용하였다. 2회 입원시 시행한 대장내시경에서 궤양 소견이 있었으나 생검으로 항산 염색 및 결핵균 중합효소연쇄반응 검사는 시행되지 않았다. 8개월 전부터 1년간 임의로 중단되었던 항레트로바이러스제를 재복용하였고 당시 CD4+ T세포 수 1개/μL, HIV RNA 673,280 copies/mL였다. 항레트로바이러스제 복용 3개월 후인 5개월 전 CD4+ T세포 수 8개/μL, HIV RNA 3,284,109 copies/mL였고, 3개월 전 CD4+ T세포 수 155개/μL, HIV RNA 10,579 copies/mL로 면역재구성증후군(immune reconstitution inflammatory syndrome, IRIS) 및 장염 소견으로 항생제 투여 후 호전되어 퇴원하였다. 퇴원 후 항생제를 복용하였으나 매일 밤마다 열이 지속되어 1주 만에 다시 입원하였다. 혈액 검사에서 백혈구 11010/μL, 혈색소 9.0 g/dL, 혈소판 335000/μL, 적혈구 침강 속도 135 mm/h, 알카리인산분해효소 293 U/L, C-반응단백질 12.79 mg/dL로 측정되었다. 복부 컴퓨터단층촬영에서 비장종대 및 복강동맥 주위와 대동맥 주위 림프절 비대 소견, 소장 장간막에도 다발성 림프절 비대가 관찰되었고 흉부 컴퓨터단층촬영에서 특이 소견이 없었다. 장염 소견으로 항생제를 투여하며 열은 호전되었으나 추적 C-반응단백질은 큰 호전 소견이 없었으며 입원 이후 설사가 발생하였다. 림프종을 배제하기 위해 시행한 골수 생검에서 골수세포 증가 이외에 특이 소견이 관찰되지 않았다. 대장내시경 검사에서 만성 장염 소견이 관찰되었고, 임의 생검에서 거대세포바이러스 및 결핵균 중합효소연쇄반응 모두 음성 소견이었다. 복강경으로 대동맥 주위 및 장간막림프절 생검 결과(Fig. 1), 대식 세포의 침착과 대식 세포내 항산균이 관찰되었으며 결핵균 중합효소연쇄반응 음성 소견이었다. 결핵림프절염 소견으로 isoniazid, rifampin, ethambutol, pyrazinamide를 복용하였고 약물 상호작용을 고려하여 항레트로바이러스제는 tenofovir/emtricitabine, raltegravir로 변경하여 투약하였다.항결핵제 복용 후 호전되어 퇴원하였으나 식욕저하 및 전신 쇠약의 비특이적인 증상이 발생하여 재입원하였다. 활력 징후 혈압 97/61 mmHg, 심박수 126회/분, 체온 36.8℃였고 혈액 검사에서 CD4+ T세포 수 0개/μL, HIV RNA 2,303,128 copies/mL로 측정되었다. 복부 컴퓨터단층촬영에서 대동맥 주위 및 소장 장간막림프절 비대는 이전과 차이가 없었으나 복강 내 소량의 복수가 새롭게 관찰되었다. 항생제를 투여하였으나 증상 호전이 없어 clarithromycin 단독 투여를 고려하였으나 오심, 구토로 약 복용을 거의 하지 못하였다. 입원 이후 복부 팽만 및 복통이 발생하였으며 신체 검진에서 복부 전반의 압통, 반동 압통이 관찰되었다. 복부 컴퓨터단층촬영 추적 검사(Fig. 2)에서 복수 증가가 관찰되어 진단적인 복수 천자를 시행하였다. 복수 천자 양상은 장액성, 복수 세포 수 650개/μL, 호중구 96%, 림프구 4%, 포도당 111 mg/dL, 총 단백 1.4 g/dL, 젖산탈수소효소 371 U/L, 알부민 0.3 g/L, 혈청 복수 알부민 차(serum ascites albumin gradient) 0.7 (< 1.1 g/dL), 아데노신 탈아미노효소 18.8 IU/L, 비결핵 항산 염색 1+, 비결핵 항산균 중합효소연쇄반응 양성 소견이 있었다. 복수 항산균 액체 및 고체 배양에서 모두 비결핵 항산균이 배양되었다. 배양 균주 식별 검사는 대한결핵협회에서 시행하였고 Mycobacteria 유전자 부위의 염기서열을 대상으로 특이적인 ITS 길잡이(ITS primer)를 사용하여 중합효소연쇄반응으로 증폭 후 line probe assay (LPA) 방법으로 약 23종의 NTM 균종을 구분할 수 있는 검사 방법을 사용하였다. 증례 환자의 복수 배양 검체로 line probe assay 시행시 hybridization control을 나타내는 1번째 line과 amplification control을 나타내는 2번째 line, Mycobacteria genus positive control을 나타내는 3번째 line 및 Mycobacterium avium을 나타내는 6번째 line과 일치하고 Mycobacteria genus negative control을 나타내는 line은 나타나지 않아 Mycobacterium avium으로 진단되었다.입원 후 시행한 소변 및 가래 배양 검사에서 비결핵 항산균이 배양되었다. MAC 복막염 소견으로 기존 clarithromycin을 유지하며 rifabutin, ethambutol을 추가로 투약하였고 항레트로바이러스제는 raltegravir 및 abacavir/lamivudine으로 복용하였다. 투약 2주 후 시행한 복부 컴퓨터단층촬영(Fig. 3)에서 복수가 호전되었고 이후 전신 쇠약 및 식이가 호전되어 입원 3개월 후 퇴원하였다. 이후 환자는 악화 없이 규칙적으로 투약 유지하며 경과 관찰 중이다.
- 고 찰
- 고 찰
복막염은 파종 MAC 감염의 후기 증상으로 나타나며 복막염 진단 당시 다른 부위에도 감염이 있거나 다른 부위에 감염이 선행하는 것으로 알려져 있다[2]. AIDS 환자에서의 MAC 복막염은 매우 드문 예로 현재까지 국내에서는 보고된 적이 없으며 국외에서도 약 27예로 드물다[4-7].Hosamirudsari 등[8]의 증례에서는 42세 AIDS 남자 환자가 3일간의 급성 복통, 변비 및 열을 주소로 입원하여 시행한 신체 검진상 복부 압통, 복막 자극 징후 및 장음 감소가 있었고 X선상 횡격막하 유리 공기(free air)가 관찰되었다. 수술 소견으로 천공과 동반된 맹장 종괴, 회장과 맹장의 가스 괴저, 복강내 다수의 림프절 비대 및 복강내 고름이 관찰되었다. 조직 생검으로 시행한 항산 염색상 항산균이 관찰되었고 이후 조직 생검에서 MAC이 배양되었다. 환자는 세균혈증 쇼크로 치료하였으나 사망하였다. 본 연구의 증례 환자와는 달리 이 증례의 경우 경과 기간이 짧고 소화기 증상을 주소로 입원한 점이 차이가 있었다. Rollhauser와 Borum [9]의 증례에는 42세 AIDS 남자 환자가 복부 팽만감, 하지 부종, 열로 입원하였다. 이전 입원시 시행한 혈액 및 대변에서 MAC 배양되었다. 복수 천자 검사에서 암죽 복수가 관찰되고 항산염색 양성 소견이 있었다. 이전 배양 검사를 참고하여 MAC 치료를 시작하였고 이후 복수 배양에서 MAC가 동정되었다. 이 경우에도 입원 초기 복부 팽만감의 소화기 증상이 있었고 이전 배양 검사 결과로 진단과 치료가 초기에 시행된 점이 본 증례와 차이가 있다. Wu 등[2]의 연구에서는 5명의 증례보고와 2008년까지 발표된 문헌상의 11 증례를 검토하였다. 이들의 HIV RNA 수치는 다양한데 비하여 대부분의 CD4+ T세포 수는 50개/μL 이하였다. 복수 이외에 9명 환자의 혈액 배양과 3명의 골수 배양에서 MAC가 배양되었다. 복수 천자에서 림프구의 비율이 더 우세하였다. 본 증례의 환자의 경우 항산균 혈액 배양은 시행되지 않았고 복수 천자에서 호중구 비율이 우세했다는 점이 차이가 있다. Ishikane와 Tanuma [10]의 증례에서는 1개월간의 열과 설사를 주소로 내원한 39세 남자 환자의 상부위장관 내시경에서 십이지장의 산발적인 황백색의 결절이 관찰되었고 생검에서 MAC이 배양되었다. 본 증례 환자의 경우도 내시경 생검을 시행하였으나 당시 균 증명은 되지 못하였다. AIDS 환자에서는 위장관에서 MAC 감염이 증례의 환자와 같이 초기 발현으로 나타날 수 있으므로 내시경상의 위장관 MAC 감염을 초기에 인식하는 것이 중요하다[10].본 증례에서는 비특이적인 증상을 주소로 입퇴원을 반복한 AIDS 환자가 MAC 복막염으로 진단된 사례를 국내에서 처음 보고하게 되었다. 추후 CD4+ T세포 수가 감소된 AIDS 환자의 복막염에서 MAC 감염을 중요 감별 진단으로 고려해야 할 것으로 사료된다.
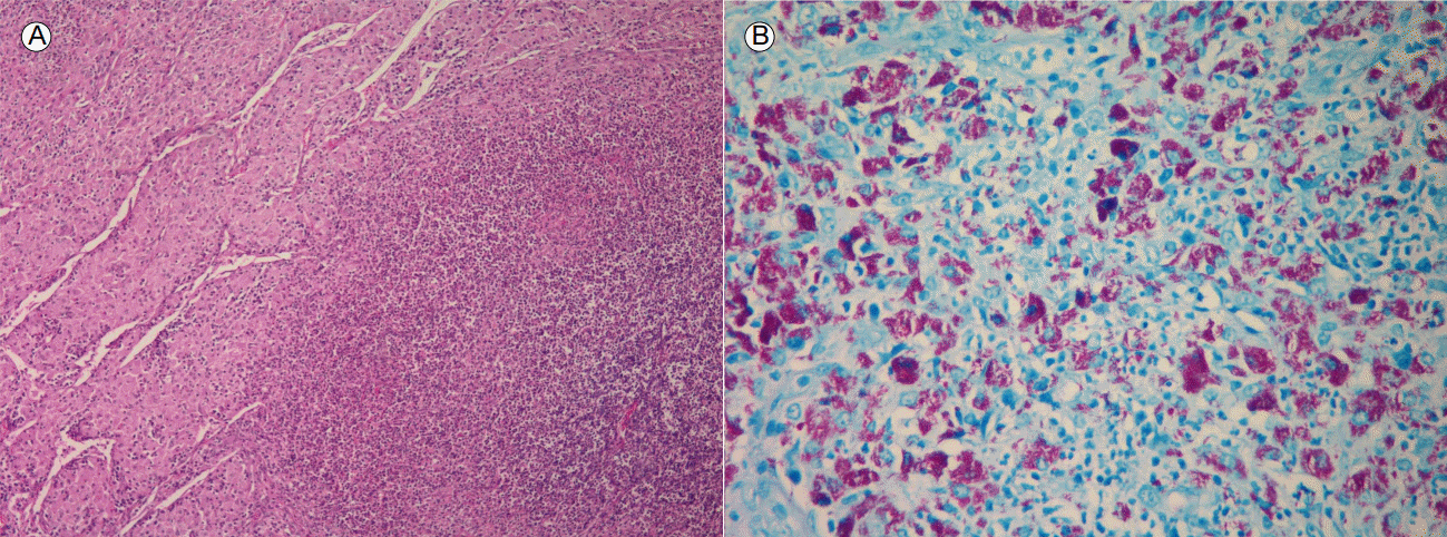
Figure 1.
(A) Hematoxylin and eosin staining (×100) of a laparoscopic excision of the paraaortic lymph node. Shown is the dense neutrophilic aggregation. (B) Ziehl-Neelsen staining (×400) of acid fast bacilli within macrophages of the patient’s paraaortic lymph node.
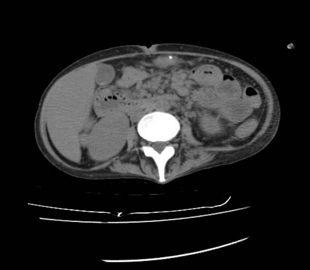
Figure 2.
Abdominal computed tomography (CT) scan revealing ascites, as well as paraaortic and mesenteric lymph node enlargement.
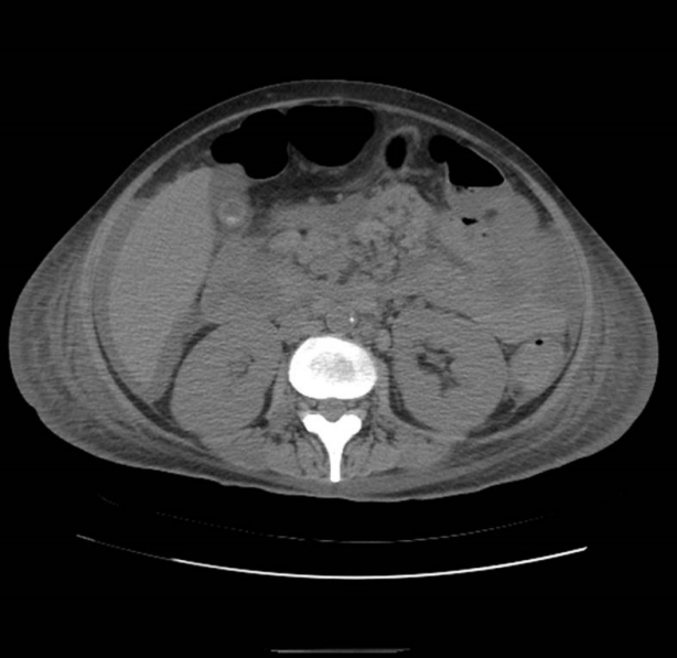
Figure 3.
Abdominal CT scan showing the improved ascites following MAC treatment. Notably, no change in the paraaortic and mesenteric lymph node enlargement was observed. CT, computed tomography; MAC, Mycobacterium avium complex.
- References
- References
REFERENCES
1. Nightingale SD, Byrd LT, Southern PM, Jockusch JD, Cal SX, Wynne BA. Incidence of Mycobacterium avium-intracellulare complex bacteremia in human immunodeficiency virus-positive patients. J Infect Dis 1992;165:1082–1085.
[Article] [PubMed]2. Wu UI, Chen MY, Hu RH, et al. Peritonitis due to Mycobacterium avium complex in patients with AIDS: report of five cases and review of the literature. Int J Infect Dis 2009;13:285–290.
[Article] [PubMed]3. Karakousis PC, Moore RD, Chaisson RE. Mycobacterium avium complex in patients with HIV infection in the era of highly active antiretroviral therapy. Lancet Infect Dis 2004;4:557–565.
[Article] [PubMed]4. Negatu Y, Mekonen E. A case report of mycobacterium avium complex peritonitis in an AIDS patient. Case Rep Infect Dis 2013;2013:590478.
[Article] [PubMed] [PMC]5. Huh JJ, Panther LA. Mycobacterium avium complex peritonitis in an AIDS patient. Scand J Infect Dis 2001;33:936–938.
[Article] [PubMed]6. Perazella M, Eisen T, Brown E. Peritonitis associated with disseminated Mycobacterium avium complex in an acquired immunodeficiency syndrome patient on chronic ambulatory peritoneal dialysis. Am J Kidney Dis 1993;21:319–321.
[Article] [PubMed]7. Saab S, Rickman LS, Lyche KD. Ascites and the Acquired Immunodeficiency Syndrome: Report of 54 Cases. Medicine (Baltimore) 1996;75:131–141.
[Article] [PubMed]8. Hosamirudsari H, Shahnavaz H, Mahooti N. Multiple spontaneous perforation of small bowel by Mycobacterium avium complex infection in an AIDS patient. HIV and AIDS Review 2016;15:51–53.
[Article]
